前言
“国际肝病-肝脏血管病专栏”是北部战区总医院消化内科祁兴顺医生应《国际肝病》编辑部邀请联合发起的学术专栏,定期收集整理肝脏血管病领域的研究进展,每两周(周三)挑选一篇重要文献进行精读讨论,希望能帮助读者知其然知其所以然,启迪临床科研思维、学以致用。
文章简述非肝硬化非肿瘤性门静脉血栓形成(NCNT-PVT)是罕见的血栓性疾病(Camerlo S, et al. Int J Mol Sci 2023;24(3):2262),指的是门静脉和肝内门静脉分支存在血栓,可延伸至肠系膜上静脉(SMV)和脾静脉(SV)(Northup PG, et al. Hepatology 2021;73(1):366-413),可以是部分阻塞或者完全阻塞(Turon F, et al. J Hepatol 2021;75(6):1367-76),可分为新发(以前称为急性PVT)或者慢性(持续六个月以上或出现门静脉海绵样变性)(Hernández-Gea V, et al. J Hepatol 2019;71(1):175-99)。NCNT-PVT是一种发病率较低的疾病,但存在发展为门脉高压(PH)并发症的风险,对患者的预后有显著影响。在无肝硬化的前提下,必须排除其他慢性肝病、局部因素及促凝状态,因此应进行全面检查。对于急性血栓,抗凝是防止血栓进展和肠缺血的主要治疗方法。然而,对于慢性血栓,密切随访对防治PH并发症至关重要。对于难治性PH并发症,血管内再通技术效果良好。
Gastroenterologia y Hepatologia杂志于2025年5月在线发表了一篇题为《非肝硬化门静脉血栓形成:临床诊断和治疗方法》的综述。在此,我们选取了NCNT-PVT的治疗策略、预后方面的内容作一摘译。
04 NCNT-PVT的治疗NCNT-PVT治疗旨在预防血栓复发及PH相关并发症的进展(Galante A, et al. Acta Gastro Enterol Belg 2021;84(2):327-32)。此外,若存在基础疾病及易栓症,对其进行有效控制至关重要(Northup PG, et al. Hepatology 2021;73(1):366-41)。
4.1
近期PVT
近期PVT极少自发性再通,确诊后建议立即启动低分子肝素抗凝治疗,条件允许时转为口服抗凝药(Galante A, et al. Acta Gastro Enterol Belg 2021;84(2):327-32;de Franchis R, et al. J Hepatol 2022;76(4):959-74)。无抗磷脂综合征或肠缺血患者可首选直接口服抗凝药(DOACs),但相关数据有限。这是因为其再通率与其他抗凝药相当,且大出血风险更低(Elkrief L, et al. Lancet Gastroenterol Hepatol 2024;9(9):859-83;Plessier A, et al. NEJM Evid 2022;1(12))。
抗凝治疗后,门静脉再通多在6个月内,SMV或SV再通可能需要12个月(European Association for the Study of the Liver. J Hepatol 2016;64(1):179-202;Plessier A, et al. Hepatology 2010;51(1):210-8)。因此,抗凝治疗至少要维持6-12个月。对于存在基础易栓症、既往血栓史、个人/家族深静脉血栓史或首发表现为严重症状(如肠缺血)患者,应终身抗凝治疗(Baiges A, et al. J Hepatol 2023;78(1):114-22)。其他情况下为预防血栓复发进行终身抗凝治疗的风险大于收益,故不支持继续用药。
抗凝治疗的血管再通率为40%-45%(Elkrief L, et al. Lancet Gastroenterol Hepatol 2024;9(9):859-83)。闭塞性/完全性血栓、血栓累及多支血管或已延伸至SV、抗凝启动延迟或诊断时存在腹水(含影像学检出)均与较低的再通率相关(Berzigotti A, et al. Nat Rev Gastroenterol Hepatol 2014;11(5):308-16;Hall TC, et al. World J Surg 2011;35(11):2510-20)。为指导治疗决策,BavenoVII共识推荐了VALDIG PVT分型标准(图2)。

图2. VALDIG PVT分类法(图源自文献)
该分型标准将PVT分为四类:完全再通、改善、稳定和进展(Elkrief L, et al. Lancet Gastroenterol Hepatol 2024;9(9):859-83)。
血管内治疗
通过单独或联合应用血管内治疗方法可实现血管再通,包括经导管直接溶栓术(CDT)、经颈静脉肝内门体分流术(TIPS)、机械取栓术(MT)。一项采用了不同治疗方案及操作技术的小样本、回顾性研究表明,血管内治疗可预防肠缺血并实现血管再通(Cheng Q, et al. J Gastrointest Surg 2021;25(6):1579-90)。然而,目前尚无随机对照试验比较抗凝治疗与血管内治疗。一项纳入了65例近期NCNT-PVT患者的临床研究对比了接受抗凝治疗与血管内治疗的两组患者,结果表明,两种治疗方案下需行切除术的肠缺血发生率相近(Rössle M, et al. Aliment Pharmacol Ther 2020;52(2):329-39)。此外,血管内治疗组中的血管再通率为54%,而抗凝治疗组仅为30%,但血管内治疗组存在更高的出血并发症发生率及一例死亡病例(Rössle M, et al. Aliment Pharmacol Ther 2020;52(2):329-39)。
4.2
慢性NCNT-PVT
慢性血栓确诊后,抗凝的目标不再是实现血管再通,而是在血栓复发风险高的患者中预防血栓复发。此类高危因素包括基础易栓状态、既往血栓史或急性期有肠缺血表现。对于无常规危险因素的血栓复发患者,常规抗凝治疗获益的证据不足。然而,即使既往风险因素已消除,血栓复发仍常见(Baiges A, et al. J Hepatol 2023;78(1):114-22)。已有多种方法用于识别可能从长期抗凝中获益的高危患者。其中一种方法是在停用抗凝药一个月后检测D-二聚体水平,如果D-二聚体水平<500ng/ml,血栓复发风险极低,可以安全停药(de Franchis R, et al. J Hepatol 2022;76(4):959-74)。此外,即使无其他易栓因素,凝血因子Ⅷ水平>150IU/L也与血栓复发风险显著相关,临床需考虑终身抗凝。然而,D-二聚体和凝血因子Ⅷ评估血栓风险的价值仍需验证。有研究显示,理论上血栓复发风险低的人群,若高通量测序(NGS)检测提示患者携带与疾病高风险相关基因变异,则血栓复发风险也可能更高(Magaz M, et al. J Hepatol 2021;74(1):89-95)。
PH相关并发症
对于PVT患者,食管胃静脉曲张(GEV)可能在PVT发生时即出现,并在第一年内进展,故诊断时需进行内镜筛查(Elkrief L, et al. JHEP Rep 2023;5(4):100667;Elkrief L, et al. Lancet Gastroenterol Hepatol 2024;9(9):859-83)。胃肠道出血是慢性PVT最常见的PH相关并发症,但因肝功能未受明显影响,其死亡率低于肝硬化患者(European Association for the Study of the Liver. J Hepatol 2016;64(1):179-202)。门静脉胆管病(PCH)是指门静脉海绵样变性患者的胆道系统及胆囊壁异常。若NCNT-PVT患者主动进行影像学检查,超过80%的患者会检出PCH,但多数患者无明显症状或仅表现为胆汁淤积性酶学指标轻度升高(Llop E, et al. Gut 2011;60(6):853-60)。
血管内治疗
血管内治疗可再通闭塞血管,恢复向肝血流并减轻内脏系统压力,已经成为难治性PH相关并发症或经保守治疗无效的症状性PCH患者的一种可行、安全且有效的选择(Klinger C, et al. Z Für Gastroenterol 2018;56(03):221-37;Artru F, et al. JHEP Rep 2022;4(8):100511;Marot A, et al. Diagn Interv Imaging 2019;100(3):147-56;Knight GM, et al. Hepatology 2021;74(5):2735-44)。
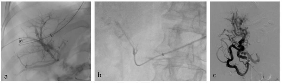
内脏系统可通过经颈静脉或其他经皮穿刺途径(包括经肝、经脾或经肠系膜路径)进行介入治疗,其中经肠系膜路径也可通过小切口开腹手术完成(图3)。

图3. 内脏系统的入路途径(图源自文献)
这些方法联合应用可提高手术成功率。导管超选至闭塞段后,首先进行血管成形术。若未充分开通,则可置入支架以维持静脉血流。若采用经肝或经脾途径,必须对穿刺道进行栓塞,以避免出血并发症。
患者筛选和手术规划推荐采用Marot分型(图4)来指导(Elkrief L, et al. Lancet Gastroenterol Hepatol 2024;9(9):859-83;Marot A, et al. Diagn Interv Imaging 2019;100(3):147-56)。

图4. Marot分型(图源自文献)
然而,该分型未考虑MV或SV肝外受累情况,可能影响入路选择和整体治疗策略。
门静脉再通(PVR):是否需要经颈静脉肝内门体分流术(TIPS)?
早期,PVR常包括TIPS,这是因为最初的再通研究是基于肝硬化患者开展的,这类患者必须通过TIPS来降低肝窦阻力、改善静脉回流并维持内脏区域的长期通畅性。然而,非肝硬化患者采用TIPS的临床获益仍存在争议。支持者认为,易栓症和/或慢性PVT患者血管闭塞复杂,可造成持续性肝损伤,且血栓复发风险显著增高;若还存在肝内门静脉远端梗阻,向肝血流也可能会受到影响(Knight GM, et al. Hepatology 2021;74(5):2735-44)。在此种情况下,TIPS可通过改善静脉回流,降低血栓复发风险,维持门静脉通畅性,并为后续必要的再次介入治疗创造条件(Knight GM, et al. Hepatology 2021;74(5):2735-44)。
另一方面,对于肝内门静脉血流正常(即无明显肝纤维化)患者,PVR后可能无需常规联合TIPS。仅当门静脉造影证实静脉回流不足,或再通术后门静脉压力梯度持续升高,才考虑TIPS(Artru F, et al. JHEP Rep 2022;4(8):100511)(图5)。

图5. 经脾途径门静脉再通术:影像学表现及长期预后(图源自文献)
此外,Artru等发现,某些因素(如慢性腹痛和Marot 3分型)与再通术后原发性通畅率降低相关。这时将PVR与TIPS联合使用可能会优化治疗效果。
侧支血管的处理:栓塞术的适应证
目前,缺乏PVR是否应进行静脉曲张栓塞的相关数据。PVR术后,部分侧支血管可能通过降低门静脉系统压力而消失,但仍有部分血管可能持续存在。有学者认为,栓塞这些残留的侧支血管不仅能够预防静脉曲张破裂出血,还可能通过将血流重新导向再通后的门静脉,进而增加入肝血流,并降低血栓复发风险(Knight GM, et al. Hepatology 2021;74(5):2735-44)。
05 预后PVT的预后取决于病因和基础疾病,总体预后良好,5年生存率达96%(Northup PG, et al. Hepatology 2021;73(1):366-413)。死亡率多与疾病严重程度有关,而非NCNT-PVT并发症。
06 总结展望NCNT-PVT是一种罕见疾病,若血栓新发且范围广泛,未及时采取有效治疗,则可引发危及生命的肠缺血。抗凝治疗多可有效预防肠缺血,但部分患者仍需血管内介入治疗。然而,超过半数患者无法实现门静脉的完全再通,最终发展为慢性PVT并伴随具有临床意义的PH。多数情况下,该病急性期往往未被识别,慢性PVT多在体检时偶然发现或因PH相关并发症而首次确诊。全面的病因学检查至关重要,超过50%的患者可发现遗传性或获得性易栓症。多数患者需要长期抗凝治疗以预防血栓复发。目前,转诊中心的介入放射技术专业性不断提升,为难治性并发症患者的管理带来了希望。
多中心研究合作单位招募
项目(一)肝硬化门静脉血栓患病率的多中心回顾性研究单位招募
门静脉血栓(PVT),尤其是完全阻塞性PVT,可增加肝硬化患者门静脉压力,进而增加腹水、食管胃静脉曲张破裂出血的风险。当前,妥善处理肝硬化门静脉血栓仍是棘手的临床问题。另外,肝硬化PVT的患病率也尚不明确,国内更是缺乏大型流行病学研究阐明这一问题。为此,北部战区总医院消化内科牵头开展了一项全国多中心回顾性研究,基于增强CT检查结果以明确肝硬化患者PVT的患病率,并进一步回顾性分析相关危险因素。现诚挚邀请消化科、肝病科、感染科和放射科等相关专业医生参与。
项目(二)内镜时机对肝硬化伴急性静脉曲张出血患者预后影响的多中心随机对照试验研究单位招募
肝硬化患者中,急性静脉曲张出血发病率为25%-40%,6周死亡率为10%-20%。内镜检查属于有创操作,且内镜下静脉曲张治疗对操作者的技术要求高。尽管内镜检查是肝硬化伴急性静脉曲张出血的重要选择,但内镜时机对肝硬化急性静脉曲张出血患者结局的影响仍存在争议。为此,北部战区总医院消化内科牵头开展了一项国际多中心随机对照试验,现诚挚邀请具备内镜下食管胃静脉曲张出血治疗条件的相关科室医生参与。
项目(三)肝硬化显性肝性脑病输注人血白蛋白的疗效的多中心随机对照试验研究单位招募
肝硬化是慢性肝病的终末期阶段,肝硬化患者肝性脑病发生率为30-40%,且肝性脑病的一年生存率低于50%,三年生存率低于25%。其不仅严重影响肝硬化患者的预后,并且给医疗系统带来沉重的负担。输注人血白蛋白可能适用于肝硬化肝性脑病的治疗,既往研究和荟萃分析已经证明了其临床益处。然而,人血白蛋白的成本极大地影响了其在临床实践中的全面应用,临床医师常以相对较小的剂量(10-20g/d)开具人血白蛋白处方。为此,北部战区总医院消化内科牵头开展了一项多中心随机对照试验,探索是否可以通过增加人血白蛋白的输注剂量,进一步改善肝硬化肝性脑病患者的结局。现诚挚邀请消化科、肝病科、和感染科等相关专业医生参与。
项目(四)糖皮质激素治疗急性药物性肝损伤伴高胆红素血症的疗效的多中心随机对照试验研究单位招募
药物性肝损伤是指由药品、中药材、天然药物、保健品、膳食补充剂或其代谢产物、辅料、污染物、杂质等所导致的肝损伤。轻度药物性肝损伤患者可仅表现出非特异性胃肠道症状,而伴有严重高胆红素血症的患者可发展至急性肝衰竭,表现为肝功能明显恶化、黄疸、凝血功能障碍,甚至死亡。糖皮质激素可能是一种治疗的潜在手段,但其疗效及在临床实践指南的推荐价值尚存争议。为此,北部战区总医院消化内科牵头开展了一项多中心随机对照试验,以探讨糖皮质激素治疗急性药物性肝损伤伴高胆红素血症的疗效,有助于为优化药物性肝损伤的治疗方案提供高质。现诚挚邀请消化科、肝病科、和感染科等相关专业医生参与。
若您对以上任一研究项目感兴趣,可与我们联系,以获得更详细的研究信息。

译文作者
刘娟,北部战区总医院消化内科,沈阳药科大学研究生院。

《国际肝病-肝脏血管病》专栏发起人及校审
祁兴顺,北部战区总医院消化内科主任,中国医科大学、沈阳药科大学、大连医科大学、锦州医科大学及辽宁中医药大学兼职硕士生导师,东北大学及中国医科大学兼职博士生导师,北部战区总医院博士后科研工作站博士后合作导师。中国科协十大代表、辽宁科协十大常委。中国抗癌协会中西整合癌前病变专委会副主任委员,中华医学会消化病学分会第十二届委员会青年学组副组长、肝胆疾病学组委员、消化血管病协作组委员,中华医学会肝病学分会肝病相关消化病协作组委员,辽宁省医学会消化病学分会第十一届委员会常委。现任BMC Gastroenterology杂志Senior Editorial Board Member、Therapeutic Advances in Gastroenterology杂志Editorial Board Member、Canadian Journal of Gastroenterology and Hepatology杂志Academic Editor、Journal of Clinical and Translational Hepatology杂志Academic Editor。2016年全军优秀博士论文获得者。入选2019年第十二届辽宁省青年科技奖十大英才、爱思唯尔2021-2024中国高被引用学者名单、2022年联勤保障部队学科中坚人才、2022年度军队高层次科技创新人才工程青年科技英才、2022年度“兴辽英才计划”青年拔尖人才。据Scopus统计,H-index为55。