打着爱的教育旗号,以心理矫正为噱头,福建泉州四维成长基地竟对14岁男孩小武实施28天持续虐待,导致小武重伤二级。校长及3名教官被以故意伤害罪、虐待被监护、看护人罪起诉。

大家好,我是周兆成,今天我们就聊聊叛逆少年矫正行业的黑幕。
首先,为何是故意伤害罪、虐待被监护、看护人罪,两罪叠加而非单一指控?
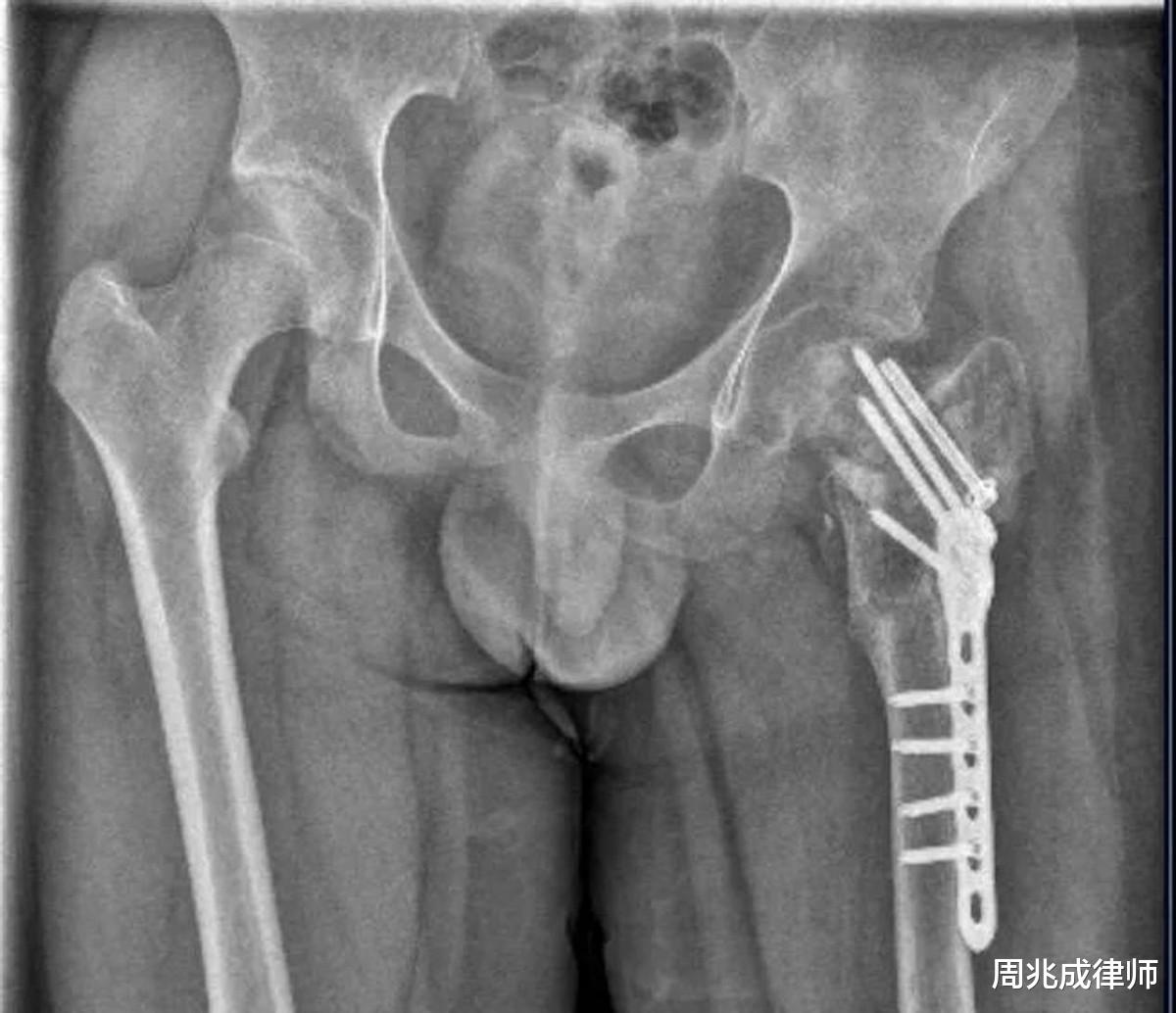
虐待被监护、看护人罪,是指对未成年人、老年人等负有监护看护职责的人员,虐待被监护看护的人。而本案中,校长向某胜、教官与小武之间的关系就是因教育形成的看护关系,其通宵罚站、关小黑屋、跪举水盆等持续虐待行为,符合该罪的构成要件,且针对未成年人属法定加重情节。而且,小武左髋部重伤二级需植入钢针钢板,伤情是骨折后遭反复踢踹、延误治疗导致,已超出虐待的范畴,构成独立的故意伤害罪。校长向某胜作为主谋,对骨折后仍施暴的行为负主要责任,所以被数罪并罚,而3名教官未参与重伤级伤害,仅以虐待被监护、看护人罪起诉。两罪的区分关键在于虐待罪侧重持续性、经常性的精神与肉体折磨,故意伤害罪侧重单次或多次叠加造成的明确伤害后果,本案中两种行为独立存在且均达定罪标准,所以需分别评价后数罪并罚。

那么,就有网友问,多重加重情节下,处罚力度如何?
先看校长向某胜两罪并罚,虐待被监护、看护人罪最高刑期3年,故意伤害罪重伤二级对应的量刑区间为3-10年,结合他冒充公益组织办学、持续虐待28天、骨折后仍施暴、拒绝及时救治等加重情节,最终刑期会在3年以上。那3名教官呢?他们作为直接施暴者,虽未涉故意伤害罪,但参与全程虐待,且机构无资质、针对未成年人作案,量刑将向3年法定上限靠拢。值得注意的是,现行《刑法》中虐待被监护、看护人罪最高刑期仅3年,与“重伤二级”的严重后果存在适配差距,这也是舆论呼吁增设虐童罪的原因。
那么,后续受害者家属可主张哪些合法权益?
小武家属的维权路径是可通过民事、刑事附带民事诉讼进行追责。刑事附带民事诉讼方面,要求向某胜及3名教官赔偿医疗费、护理费、残疾赔偿金、后续康复费等直接经济损失,法院将结合施暴情节、过错程度确定赔偿金额。民事侵权赔偿方面,根据《民法典》第1182条、1183条,还可主张精神损害抚慰金。尽管涉事运营公司已注销,但校长向某胜作为实际控制人,教官作为直接侵权人,需承担连带赔偿责任。
