2026年1月16日,国家药品监督管理局药品审评中心(CDE)公示了一条重磅消息:中硼(厦门)生物申请的注射用硼[10B]法仑拟纳入突破性治疗,用于既往治疗失败的晚期头颈部恶性肿瘤(不包含鼻咽癌和颅内肿瘤)。

这标志着中国在硼中子俘获疗法(BNCT)领域取得了重要进展,为那些传统治疗手段已无能为力的患者带来了新的曙光。
关于硼中子俘获疗法
硼中子俘获疗法(BNCT)是一种旨在选择性地治疗肿瘤细胞的技术,正逐渐成为治疗癌症的有希望的工具。

该疗法通过将含硼化合物选择性富集于肿瘤细胞中,再利用中子束照射肿瘤部位,从而实现对癌细胞的精准杀伤。该疗法基于稳定同位素硼-10在低能热中子照射下发生的核反应,产生高线性能量转移的α粒子(氦-4核)和反冲锂-7核,这些粒子在约单个细胞直径(<10微米)的极短距离内释放能量,这种特性使得高LET粒子能够精准破坏肿瘤细胞,同时最大程度保护周边正常组织。
与传统放疗相比,BNCT通常只需1-2次照射,每次约30-50分钟,大大减轻了患者的治疗负担。
目前BNCT在多种癌症治疗中展现出令人鼓舞的疗效。
头颈部肿瘤
对于头颈部肿瘤,日本2020年已批准BNCT用于临床。日本一项研究显示,BNCT治疗的客观缓解率达80.5%,其中部分患者达到完全缓解。复发性头颈癌患者1年总生存率和无进展生存率分别为75.4%和42.2%。
脑胶质瘤
对于恶性脑胶质瘤,尤其是胶质母细胞瘤,BNCT同样表现出色。日本研究显示,患者接受BNCT治疗后1年生存率达到79.2%,中位生存期为18.9个月,优于传统治疗方法。
中国力量:从引进到创新,BNCT技术跻身全球前列
我国BNCT技术发展虽起步较晚,但进步迅速。
晚期乳腺癌治疗案例展示显著潜力
1月16日,台湾研究人员在《Advances in Radiation Oncology》分享了BNCT复发乳腺癌及脑转移中的应用,4名晚期乳腺癌患者在接受BNCT治疗后肿瘤显著消退,症状明显改善。
病例1
一名49岁女性,患有左乳腺癌,并伴有脑转移。她此前接受过伽马刀放射手术和局部脑放射治疗,但病情仍然进展。2019年8月接受了BNCT,2020年7月的随访MRI显示坏死转化部分缓解,步态障碍有所改善。

病例2
一名68岁女性,患有三阴性浸润性小叶及导管乳腺癌(左乳),出现小脑转移。她此前接受过全身化疗和立体定向放射治疗(SBRT),但出现颅内进展。BNCT治疗后MRI显示肿瘤显著消退,患者疼痛和肢体无力症状改善,未出现明显毒性反应。

病例3
一名76岁女性,患有三阴性浸润性导管癌。其后出现胸壁和腋窝复发,侵犯臂丛神经并导致右臂完全瘫痪。BNCT治疗后右肩部和皮下病灶消退,仅残留小腋窝结节,2025年11月的随访胸部CT显示,患者照射部位保持部分缓解,局部控制得到改善。

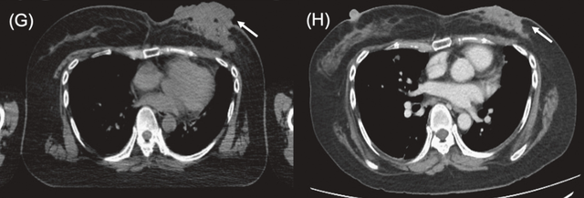
病例4
一名43岁女性,患左侧三阴性乳腺癌,因骨转移导致脊髓压迫,并接受了姑息性椎板切除术。由于左侧乳房出现伴有皮肤侵犯的疼痛性复发灶,患者于2025年7月23日接受了BNCT治疗,2025年8月21日的随访CT显示左胸壁病灶缩小。

国产首台BNCT系统成功应用
2025年8月5日,南方医科大学第十附属医院(东莞市人民医院)成功应用国产首台直线型射频四极场BNCT系统,完成了一例复发鼻咽癌患者的全流程治疗。治疗后患者疼痛缓解明显,不再需要日服止痛药。
厦门弘爱医院的安全性研究
厦门弘爱医院BNCT治疗中心也已开启临床肿瘤患者的安全性研究。2023年初完成的12例患者照射治疗成果显著。
全链自主:加速器中子源-硼药-治疗计划系统一体化解决方案
西安交通大学—湖州中子科学实验室团队更是成功开发出BNCT加速器中子源—硼药—治疗计划系统全流程自主解决方案,标志着我国在该领域的技术实力已跻身全球前列。
随着技术的不断进步,BNCT的应用前景十分广阔。
适应症不断扩大:从最初的脑瘤、头颈部肿瘤,扩展到乳腺癌、肝癌、肺癌等多个领域。
设备日趋完善:基于加速器的中子源逐渐取代核反应堆,使BNCT更易在医院环境中推广应用。
随着更多临床数据的积累和技术的完善,BNCT有望成为癌症治疗的重要选择之一。
结语
BNCT技术的进步为晚期头颈部恶性肿瘤患者带来了新的希望。随着国产硼药获突破性治疗认定,中国BNCT发展将进入快车道。它不再是遥远的概念,而是正逐步应用于临床的现实选择,为无数难治性癌症患者点亮了希望之灯。