肺癌是全球癌症相关死亡的主要原因之一,根据最新流行病学数据,我国每年新增肺癌患者高达82万,死亡人数达65万,相当于每天近1800人因肺癌离世。非小细胞肺癌约占所有肺癌病例的85%,多数患者发现时已处于晚期。
传统化疗和放疗效果有限,近年来免疫检查点抑制剂虽取得进展,但仅对部分患者有效,尤其那些对免疫检查点抑制剂无应答的 "冷肿瘤" 患者,有效治疗手段仍然有限。癌症疫苗作为免疫治疗的新形式,旨在激活患者自身的免疫系统来识别和攻击癌细胞。

图源摄图网(已授权)
Vx-001是一款以端粒酶逆转录酶(TERT)抗原为靶点的治疗性癌症疫苗,可刺激 HLA-A*0201 限制性细胞毒性 T 淋巴细胞 (CTL) 应答。TERT 是一种通用肿瘤抗原,约 80% 的各种组织学来源的肿瘤均表达 TERT。 Vx- 001刺激的 TERT 特异性 CTL 能够识别并杀伤 HLA-A*0201 阳性 NSCLC 患者中表达 TERT 的肿瘤细胞,尤其是那些 TERT 表达高且预后最差的患者。简而言之,就是大约30%的非小细胞肺癌患者中具有持久的免疫反应,这些反应者,包括那些预后不良的患者,其生存率明显长于无反应者。
1年生存率近60%,Vx-001疫苗为非小细胞肺癌患者带来新生
在一项代号为 NCT01935154 的随机双盲 IIb 期临床试验中,Vx-001 在特定非小细胞肺癌人群中展现出显著的生存获益。
该研究共纳入 221 例一线铂类化疗后未出现疾病进展的晚期非小细胞肺癌患者,按 1:1 比例随机分配至 Vx-001 治疗组(89 例)和安慰剂组(101 例),所有患者均需满足 HLA-A*0201 阳性且肿瘤表达 TERT 的条件。
研究结果显示,Vx-001 治疗组的 1 年总生存率达到 58.4%,近乎60%,较安慰剂组的 48.5% 有显著提升。更令人瞩目的是,疫苗诱导的免疫反应与临床结果呈强相关性:在 29.2% 产生 Vx-001 特异性免疫反应的患者中,中位总生存期(OS)达到 21.3 个月,而无免疫应答者仅为 13.4 个月。
亚组分析揭示了一个重要发现:从不吸烟且没有天然免疫力的患者从 Vx-001 治疗中获益最为显著。这一人群的中位 OS 在治疗组达到 16.2 个月,较安慰剂组的 8.6 个月几乎翻倍(p=0.0008)。北京大学肿瘤医院的研究团队指出,这一结果为肺癌的个体化治疗提供了清晰方向,尤其让治疗选择受限的特定患者群体看到了希望。
在疾病控制方面,Vx-001 治疗组 6 个月疾病控制率为 33.7%,高于安慰剂组的 25.7%。安全性数据显示,Vx-001 具有良好的耐受性,未发生≥3 级的治疗相关不良事件,最常见的反应为注射部位轻微红肿和短暂低热,均能自行缓解。
这项研究的主要负责人强调:"对于对免疫检查点抑制剂不敏感的患者,Vx-001 能让原本 ' 冷' 的肿瘤变得 ' 热' 起来,这不仅是非小细胞肺癌治疗的突破,也为其他实体瘤的治疗提供了新思路。"
跨癌种潜力:Vx-001让乳腺癌完全缓解,肝癌病灶显著缩小
Vx-001 的治疗潜力并非局限于非小细胞肺癌。基于 TERT 抗原在多种实体瘤中普遍表达的特性,研究人员开展了跨癌种的探索性研究,在乳腺癌和肝癌患者中观察到令人鼓舞的初步结果。
在一项发表于《ELSEVIER》期刊的 II 期研究中,1 例转移性激素耐药性乳腺癌患者在接受 Vx-001 治疗后获得了持久的完全缓解。该患者既往接受过化疗和激素治疗均失败,肝脏存在多发转移灶。在接受 6 次 Vx-001 疫苗接种后,肝脏病变完全消失;持续接种 9 次后,完全缓解状态已维持 3 年,且生活质量不受影响。这一案例生动展示了 Vx-001 在特定患者中可能实现的长期疾病控制效果。

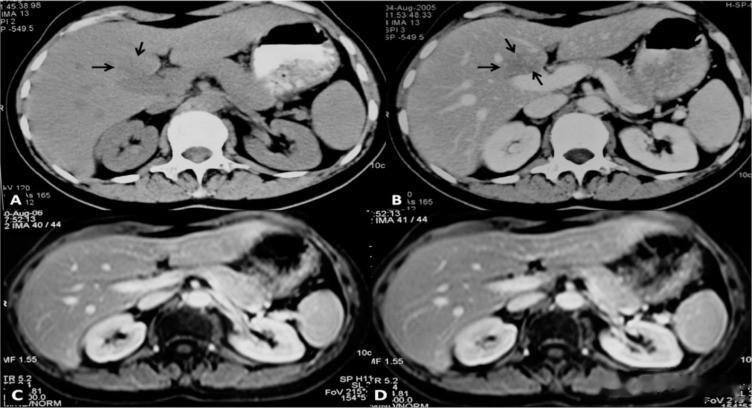
图为乳腺癌肝转移患者
接种前平扫(A)及增强扫描(B,静脉注射造影剂的门静脉期)轴向CT图像显示门静脉前方低密度病灶(箭头)。治疗后(1年后)相同解剖层面的增强T1-w磁共振连续图像(C、D)显示肝实质外观正常。
研究人员分析认为,该患者之所以能获得显著疗效,与其 HLA-A*0201 阳性且 TERT 高表达的分子特征密切相关,这也印证了生物标志物筛选在 Vx-001 治疗中的关键作用。进一步检测显示,患者体内 TERT 特异性 CD8+ T 细胞数量在治疗后增加了 12 倍,证实了疫苗的免疫激活效应。
对于肝癌这一恶性程度极高的肿瘤类型,另一例晚期肝细胞癌患者,局部淋巴结广泛受累,伴有阻塞性黄疸和肝功能衰竭临床体征(腹水、门脉高压、蜘蛛痣和肝脾肿大),拒绝任何其他治疗,在胆道支架置入后接受了Vx-001疫苗接种方案。第六次疫苗接种后,肿瘤缩小,所有肝功能不全体征消失。

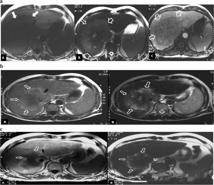
图为肝细胞癌患者
(a)接种前影像学研究。T1-w(A)、T2-w(B)和增强 T1-w(C)轴向磁共振 (MR) 图像显示肝肿瘤的初始大小(箭头)。
(b)6 个月的影像学随访研究显示 T1-w(A)和 T2-w(B)轴向 MR 图像上的病变尺寸均缩小(箭头)。
(c)10 个月的影像学随访研究显示 T1-w(A)和 T2-w(B)轴向 MR 图像上的病变尺寸进一步缩小(箭头)。
虽然Vx-001目前主要针对非小细胞肺癌,但其作用机制表明它对多种实体瘤可能都具有潜在疗效。
TERT在大多数癌症中高度表达,包括肝癌、乳腺癌、前列腺癌、结直肠癌等。理论上,任何表达TERT且患者HLA类型匹配的癌症都可能从Vx-001治疗中获益。
研究人员正在探索Vx-001在其他肿瘤类型中的应用,未来有望惠及更多癌症患者,成为泛癌种治疗的新选择。
优势人群特征:谁最适合Vx-001治疗?
研究表明,Vx-001的疗效具有明确的人群特异性。它尤其对无天然免疫力的患者可能有效,其中从不吸烟及短期吸烟的患者获益最为突出。
从分子特征来看,适合接受Vx-001治疗的患者需要满足以下条件:
HLA抗原检测必须含有HLA-A*0201型(多肽呈递的基序仅与该HLA分子匹配);TERT表达阳性;肿瘤浸润淋巴细胞(CD3/CD8 TILs)表达为阴性;这些生物标志物检测有助于识别最可能从Vx-001治疗中获益的患者群体,实现真正的精准医疗。
联合治疗潜力:未来癌症治疗的新方向
随着癌症疫苗研究的深入,联合治疗已成为未来发展趋势。临床前研究表明,Vx-001可能与免疫检查点抑制剂、化疗或其他靶向药物具有协同作用。
通过将癌症疫苗与免疫检查点抑制剂结合,可以克服肿瘤微环境的免疫抑制状态,提高免疫细胞的攻击能力。
这种联合策略可能进一步延长患者生存期,特别是对那些单一疗法效果不佳的患者群体。
癌症疫苗未来展望:免疫治疗新纪元
Vx-001 癌症疫苗的出现,代表了肿瘤免疫治疗从 "广撒网" 到 "精准打击" 的重要转变。虽然它并非对所有患者都有效,但在 HLA-A*0201 阳性且 TERT 表达的特定人群中,确实带来了显著的生存改善和生活质量提升。对于那些穷尽标准治疗仍面临疾病进展的晚期癌症患者,参与 Vx-001 的临床试验可能意味着新的生存希望。
需要强调的是,任何新疗法都存在不确定性,Vx-001 的长期疗效和安全性仍需更长时间的观察。但科学的进步正是在这样的探索中不断前行。
在抗癌的道路上,每一个新发现都可能带来转机。Vx-001 为特定患者群体点亮了一盏灯,而随着研究的深入,这束光必将照亮更多癌症患者的生命之路。