40岁的王先生洗澡的时候突然发现左侧睾丸增大了,明显的比右边大一些,他轻轻按压了一下,发现也不痛,想着可能就是体 位的原因,就没有再管它。
王先生后来洗澡的时候总是会去触摸一下,有时候上厕所的时候也会想起这件事,心里总是有个事儿堆着,他发现增大的情况并没有改变的迹象,依然是比之前要大一些的,他有点犹豫,要不要去医院看一下呢?这触摸不痛也不痒的,好像也没什么其他的症状,这应该是没什么问题的吧?
他也经常听别人说谁谁身体上某个部位突然长了个包块,去医院检查发现是癌症的事,想到这里他也有点担心,他这睾丸增大,会不会也是有肿块在里面呢?不过一点都不疼,应该也是没事的吧?

王先生终于还是按耐不住了,他才40岁,这个玩意儿还是很重要的,万一真的有问题,会不会影响以后的生活呢?
他有点忐忑不安,想去医院看看,又担心真有什么大问题,不去看又担心会不会拖成大问题,就这样他在忐忑不安中来到了医院,挂了泌尿外科专家的号,准备问问医生是怎么回事的,要不要处理之类的。
果然,医生听到他这样述说了之后,觉得这种无痛性的增大还是要考虑肿瘤的,这让王先生的心里咯噔了一下,医生安慰他说也不要紧张,先检查看看具体情况。

医生给他做了体检,发现他的左侧睾丸确实肿大了,医生用手触摸了肿大的睾丸,王先生并没有表示疼痛,医生询问他还有没有别的不舒服的情况,他说没有不舒服。
医生问他有没有发烧、盗汗之类的情况,王先生说没有,又问近期有没有出现体重减轻以及呼吸道的症状,他都说没有这些症状。
医生又问有没有尿频、尿急、尿痛这些泌尿系统感染的症状,他也表示没有这些症状,一切都跟平时一样,是正常的。
医生就给王先生开了一些化验单和检查单,让他先去做检查,做完检查,医生发现王先生胸部CT没有异常,医生又看了看骨盆磁共振,发现这个结果却显示其左侧睾丸分叶肿块,呈不均匀强化,于是再看了看肿瘤标记物检查,发现睾丸血清肿瘤标记物检测呈阴性。

医生经过认真仔细地评估后,还是考虑大概率可能是癌症,但因为没有做病理,术前没办法做病理诊断,如果手术的话只能全切了,不过也有不是癌的可能性,就目前的技术还不能判断到底是什么,是否手术,需要王先生自己决定。
王先生想到这个可不敢赌,还是保命要紧啊,万一是癌症,切除就没事了,权衡利弊之下王先生选择了做手术切除睾丸。医生于是给王先生及家属做了术前谈话,让他们充分了解手术的相关内容,并签字,按照术前准备给他进行了一系列术前需要完成的工作。
然后王先生就被推进了手术室,医生给他做了根治性腹股沟睾丸切除术,术后送病理检查。

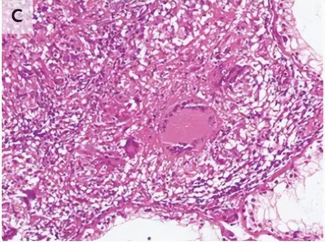
让人没有想到的是,病理检查结果出来,发现切出来的并不是癌症。王先生被切除睾丸的大体检查显示坏死结节,组织病理学检查显示肉芽肿性炎症伴甘酪样坏死和抗酸杆菌,这可是典型的结核症状啊。再看看实时聚合酶链式反应检测发现结核分枝杆菌。
根据这份病理结果,王先生最终的诊断是睾丸结核!医生结合王先生术前的胸部CT检查没有发现异常,确认王先生并没有肺结核,也就是他这单纯就是睾丸结核。
当王先生得知这个消息时,有点懵了,他不知道这算是好消息还是坏消息,好消息是终于确定不是癌症,坏消息也是不是癌症,但是他的睾丸已经被切除了。他只能默默地承受这个结果了,毕竟医生在术前也都谈到了不是癌的可能性。

王先生接下来只得按照医生的建议进行抗结核治疗了,总共进行了半年多的时间的抗结核治疗,后来康复出院,在初次就诊后1年的随访中,王先生健康状况良好。
一、结核病是什么病?为什么睾丸也会发生结核呢?结核病是结核分枝杆菌引起的慢性感染性的疾病,可侵犯全身多个脏器,肺结核最常见,典型病变为结核结节形成伴有不同程度的干酪样坏死。
睾丸发生结核的原因多由前列腺、精囊、输精管、附睾结合相互蔓延而发病,是生殖系统结核中最少见的一种,患者一般会出现全身乏力、睾丸轻微疼痛等症状。但是此例患者王先生并没有结核常见的这些症状,如长期低热、乏力、夜间盗汗等,所以很容易导致判断失误。
二、结核病要如何预防呢?1.接种疫苗。目前尚无理想的结核病疫苗,现在广泛使用的疫苗是卡介苗,新生儿出生时就接种卡介苗,有重要达到防治作用。
2.自我防护。了解结核病相关知识,在公共场所注意防护。
3.如果需要与已患结核病的患者接触时注意佩戴口罩,勤洗手等。
4.保持营养均衡,注意饮食合理搭配。
5.抵抗力低的人更容易感染结核,所以我们应保持适量运动,提高自身免疫力和抵抗力。