《病例挑战:药物过敏引发的皮疹吗??
【患者信息】:76 岁的男性
【主诉】:红斑伴盗汗8个月,新发关节炎
【现病史及既往史】:8 个月前开始出现弥漫性、水肿、红色至紫色丘疹和斑块(见图1)。
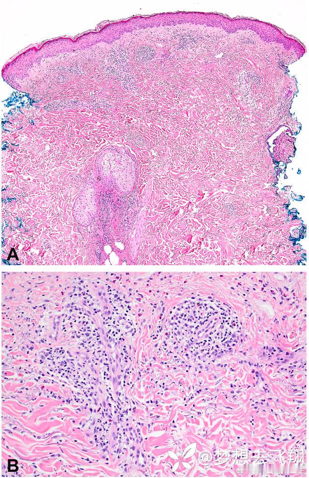
皮肤活检显示轻微海绵状,伴有浅层至深部真皮血管周围、附件周围和间质淋巴组织细胞浸润,伴有中性粒细胞和嗜酸性粒细胞的混合(见图2)。
尽管临床鉴别诊断支持 Sweet 综合征,但根据组织病理学结果,支持超敏反应。
出现皮疹后即有周期性盗汗,新近出现关节炎。
【检查】:广泛的肿瘤检查无明显异常。实验室研究显示外周嗜酸性粒细胞增多症 (24%; 标准是500 个细胞/uL),与低计数单克隆 B 细胞淋巴细胞增多一致。
对病灶进行了两次穿刺活检,显示轻度海绵状,伴有浅表至中皮血管周围、附件周围和间质淋巴组织细胞浸润,伴有频繁的嗜酸性粒细胞和中性粒细胞,最符合具有间质性肉芽肿环状背景的超敏反应(见图3)。
直接免疫荧光研究显示对 IgG、IgA、IgM、C3 或纤维蛋白原无免疫反应性。
1 个月后,正电子发射断层扫描显示纵隔和肺门淋巴结轻度虚弱,与反应性或炎症过程一致。
【临床诊断】:过敏引发的嗜酸粒细胞皮肤病
【治疗经过及结果】:
他开始服用羟氯喹 (400 毫克/天)、甲氨蝶呤 (升级至 25 毫克/周) 和间歇性泼尼松疗程 (高达 60 毫克/天),这改善了他的关节疼痛。
四个月后,患者出现持续瘀斑。右上背部穿刺活检显示轻度海绵状、局灶性状真皮水肿以及浅表至中皮血管周围、附件周围和间质混合淋巴组织细胞浸润,伴有中性粒细胞和嗜酸性粒细胞混合(见图4)。
虽然组织学发现不完全具有特异性,但在鉴别诊断中怀疑栅栏状中性粒细胞肉芽肿性皮炎。他开始服用氨苯砜 (25 mg/天) 和亚叶酸 (10 mg/周),并继续服用甲氨蝶呤 (25 mg/周)。
问题:到底是什么皮肤病?



