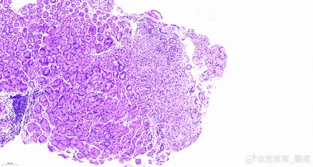
上周做的一个胃镜,40+女性。胃体大弯几毫米的很薄一片褪色,觉得可能有问题,取了一块活检(可惜不能放内镜图,不过放了你们应该也看不出来[笑哭R][笑哭R])。周一黎叔跟我联系,问我病变情况,说考虑印戒,但太小了,腺颈部少量印戒细胞,所以来跟我确认。虽然当时有怀疑,我还是吃了一惊,果然是印戒…无敌庆幸我们有早癌病理专家黎叔,佩服黎叔的超强病理诊断水平,很少的细胞也被发现。对病人来说,确实是很幸运的事,胃印戒细胞癌在如此早阶段被发现被诊断,内镜技术在发展,内镜医生和病理医生诊断水平在提高,不是谈“印戒”色变了的时代了,越早发现越好,早期阶段esd完全可以达到治愈,做内镜医生的最大成就感也在于此。
时刻提醒自己,尽可能认真地去对待每一例检查(虽然谁也不能保证永远不会漏诊),因为发现一个早癌,拯救一个家庭。


评论列表