DC娱乐网
你的牙医拔牙后给你留下的惊喜😏
2025-10-27 16:48:01
骞泽记笔记
健康
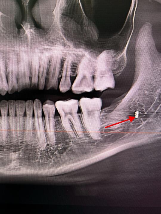
👨🏻⚕️今天有个美女过来找锤哥拔牙~ 👨🏻⚕️美女说有上次在诊所拔牙的牙片,锤哥看后说“还是在我们科重新拍一张牙片吧~” 🤣不拍不知道,一拍吓一跳,拍片后发现美女上次拔牙后,骨头里有个高密度影~ 👨🏻⚕️以锤哥多年的工作经验来看,这好像是折断在里面的「钻头」 🫣好在锤哥先复查了一个牙片,不然还真有点说不清了,话说那个诊所也是🐮B,骨头里留下这么长一根钻头,都不跟患者说,也不想办法取出来~ 👨🏻⚕️锤哥在这里奉劝大家,拔牙风险高,且拔且小心❤️啊!
热门分类
推荐
热榜
军事
NBA
体育
社会
明星八卦
娱乐
财经
科技
汽车
历史
国际
游戏
动漫
公益
搞笑
商业
互联网
数码
国际足球
房产
家居
时尚
科学探索
职场
育儿
股票
教育
影视
情感
热点
中国军情
武器
中国南海
中国足球
亚洲杯
科比
综合体育
CBA
投资
楼市
大咖秀
外汇
创业
风口
SUV
豪车
概念车
优惠
新能源
美国
欧洲
朝日韩
俄罗斯
孕期
街拍
恋爱攻略
婚姻
正能量