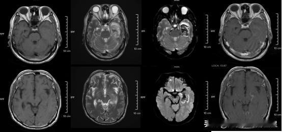
太吓人了!30岁小伙熬夜后智力一夜回到3岁,医生发现近一个月竟有8个年轻人中招,最小的才16岁! 这事就发生在宁波一家医院,这些年轻患者都是脑膜炎,平均年龄才26岁。他们有个共同点——长期熬夜,作息完全乱套。最惨的那个30岁小伙子,现在连基本生活都不能自理,智商真的退化到幼儿水平。 说真的,看到这个新闻我后背发凉。咱们年轻人现在谁不熬夜?刷短视频、打游戏、追剧,一抬头又凌晨两三点了。总觉得年轻就是资本,谁能想到熬夜的代价这么惨重? 免疫力这东西,平时感觉不到,一旦垮掉,什么病都找上门。脑膜炎真不是闹着玩的,严重起来会留下终身后遗症。 看完这条新闻,你还敢继续熬夜吗?来说说你昨晚几点睡的?现在放下手机还来得及!熬夜损伤大脑 长年熬夜后遗症 熬夜肝会怎么样


