11月22日,54岁的卢女士(化名)在贵州航天医院接受“共聚焦激光显微内镜可视化活检术”。仅用20分钟,贵州航天医院专家就为她的复杂肺部/气道疾病明确了病因。这一创新性诊断技术的开展,标志着贵州航天医院在呼吸系统疾病精准诊疗领域取得新突破,为类似的患者提供更精准、更高效的检查选择。

近两个月以来,卢女士出现反复咳嗽、咳痰,有时甚至出现咯血、发热等呼吸道症状,自行服药后病情时好时坏。3天前,她突发咯血,前往贵州航天医院呼吸与危重症医学科就诊。
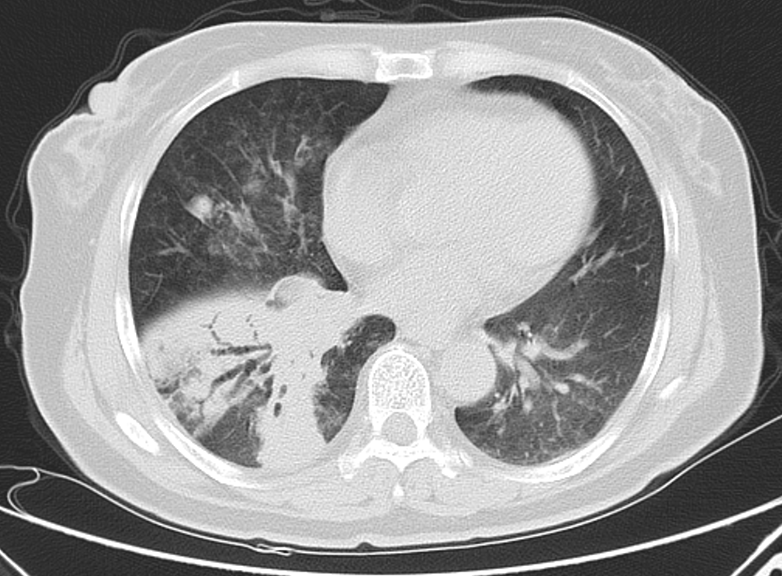
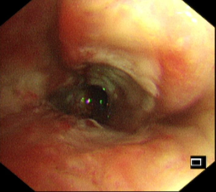
经检查,胸部CT结果显示,卢女士双肺存在多处病变,右中下肺支气管局部已经闭塞;气管镜检查看到,她右下肺的呼吸通道变得狭窄,里面的黏膜又厚又糙,还很红,能看到一些出血点。这种情况下,传统的活检风险较高,可能引发更大出血。

CT检查
“病程长、病情重,不能除外结核合并恶性肿瘤,常规活检可能会出现样本不满意或增加创伤出血的风险”贵州航天医院国务院政府特殊津贴专家、二级教授、呼吸与危重症医学科学科带头人廖江荣教授道出了诊疗难点。

经过多学科讨论,征得患者及其家属同意后,专家团队决定启用“光学活检”的新技术——共聚焦激光显微内镜可视化活检术。术中,专家团队通过激光共聚焦原理,将细胞放大1000倍,对病变组织进行精准取样活检,结合其它检验结果,排除了恶性肿瘤可能,诊断为支气管结核,直接为卢女士实施了气道内冷冻治疗。



共聚焦显微镜下见到大量炎性细胞
廖江荣教授介绍:“共聚焦激光显微内镜可视化活检术让我们能在患者体内实时观察细胞层的变化,将传统的‘经验取样’提升到‘可视化精准靶向取样’,显著提高了诊断效率、准确率,同时减少了患者的组织创伤和反复检查的痛苦,实现了呼吸内镜诊断从‘宏观’到‘微观’的跨越。”
据介绍,共聚焦激光显微内镜可视化活检术原理,是医生用一个探头直径仅1.4毫米的“超级放大镜”,通过呼吸内镜的微小通道进入肺部/支气管,直接观察活体细胞的形态和结构。它融合光学、机械、电子、软件算法等多学科前沿技术,实现实时在体细胞级观察。

在呼吸道及肺部疾病中,共聚焦激光显微内镜可视化活检术具备高分辨率、实时成像、相对无创的特点,使其在慢性气道疾病的研究、肺部肿瘤的实时诊断、引导活检、肺部疾病动态评估和随访等方面具有重要的应用价值。

应用优势:
1.引导精准取样:辅助医生更准确地选择活检位置,提升取样质量。
2.评估病情进展:可用于术后病变残留评估或治疗效果随访。
3.辅助诊断分析:有助于气道及肺部结节、肿瘤、间质性肺病等疾病的鉴别。
4.鉴别胸膜病变:帮助区分胸膜良恶性病变及胸腔积液性质。