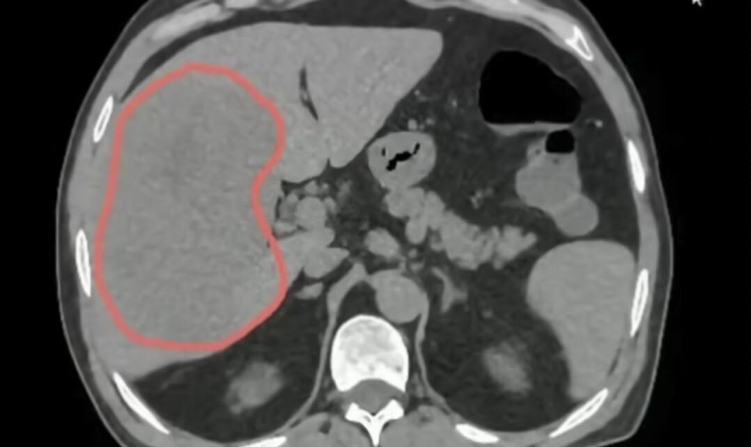
“医生,我转氨酶也不高啊,怎么会肝癌呢?”临床上的这位患者十分的不解,他体检看转氨酶也不高,以为是熬夜导致的,结果右上腹疼的受不了,综合检查后竟然确诊肝癌。
其实这样的案例不在少数,很多患者都有这样的一个误区:觉得转氨酶不高就没什么大事,殊不知,其实像肝硬化、肝癌这种病情,转氨酶可能会显示正常。
所以说,只盯着转氨酶这一项指标去看肝脏安不安全,会漏掉危险。
这也就是为什么,我们不能只靠这一项来判断肝脏健康。尤其是那些有危险因素的朋友们,即使转氨酶看着没事,也需要做一下影像学检查、病毒量、乙肝五项等,综合

