周二的上午如往常一样,陆陆续续有很多既往支架术后的病人到办公室随诊,常规看完几个病人后,我抬头看见一对年轻夫妻在等候,谢听风(化名),太熟悉的一个名字了。
“已经有一个月了吗?”
“现在恢复的怎么样?”
“没有什么不舒服的吧?”
“药坚持吃了吗?”
一连串的如迫击炮样的问话让在场的其他人有些莫名其妙。
“谢谢您,刁医生,我现在恢复的还可以。现在回想起来还有一种劫后余生的感觉,当时只是胸骨后有频死的疼痛感,出汗,并没有特别害怕。但是现在想起来,感觉九死一生,只是我是幸运的生存者。”
那到底是什么回事呢?时间回溯到一个月之前的那个晚上,他觉得胸口有点憋闷,起初并没有太当回事,直到后来胸口的憋闷持续加重,难受的他开始大汗淋漓。至此,他才开始觉得不对劲,赶忙让家人打了120。

120将谢听风(化名)送到了我院胸痛中心,胸痛中心的医生护士立刻启动绿色通道:按照流程给做了心电图,心肌酶谱。
很快心电图提示急性广泛前壁心肌梗死,立刻给患者口服双联抗血小板药物以抗血栓,并请心内科值班主任会诊,明确诊断。接着就是谈话签字、启动导管室,尽快冠脉造影明确血管病变。大约30分钟后完成冠状动脉造影检查。
天,左主干闭塞!!!!
那可是九死一生的病变呀!

左主干闭塞(图左)右冠正常(图右)
根据《中国心血管病报告2018(概要)》最新公布的数据,我国心血管病患者约2.9亿。
其中每年死亡达350万,其中心肌梗死死亡250万,此外每年有近70万例新发急性心肌梗死(简称心梗)发生,急性心肌梗死是一种极其危险的疾病,死亡率很高,大约1/2以上的急性心肌梗死患者在被送到医院之前就已经死亡,仅有3.5万例获得了及时规范的救治(发病两小时内完成有效的血运重建)。

而急性心肌梗死中左主干闭塞病例对介入医生来说更加是可遇不可求,因为绝大多数这样的患者在到达医院以前就不存活了,是心梗中最危险的情形!超过90%的死亡率,即使能够活着撑到医院,手术后死亡率也在60%以上。
所以医学界又把它称为寡妇缔造者。
术者脑海里迅速的把平时看的、学的、包括既往做的关于左主干闭塞的武林秘籍过了一遍。在与家人沟通后,我们开始攻坚战。
导管到位,球囊跟着导丝,导丝过病变后,球囊立刻跟进,多次做缺血后适应,血栓抽吸,冠脉内溶栓,新活素,尼可地尔使用,等等,一切都是那么的有条不紊的进行着。
所有人的眼睛都盯着屏幕,关注着呼吸、血压、心率、血氧饱和度等基本生命体征,大家的心都随着患者的血压波动着,患者的血压、血氧饱和度下来了,我们的心率就上去了。

左主干闭塞处理和其他部位的血管闭塞处理不太完全一样,我们不能快刀斩乱麻把血管开通,植入支架就可以了,对于主干闭塞,快速开通堵塞的血管至关重要,但如何开通则显得更加关键。
要知道血管严重堵塞以后,血液停止流动,无论是血管还是心肌,都处于一种不同于正常情况下的脆弱状态,这个时候如果重新把血管完全开通,快速恢复的血流会带来一系列变化。
会给血管和心肌带来严重的冲击,甚至造成严重的损伤以至于致命(也就是严重的再灌注损伤导致血管床崩溃),这种情形就是心内科医生都特别紧张的一种情况:“再灌注损伤”。

就如同一个数年没有吃过肥肉的人,你一下子让他吃一碗红烧肉,他的胃肠道可能并不能耐受这么样的高营养,会腹泻的。
而左主干闭塞由于梗死缺血的面积巨大,再灌注损伤就更加严重,如果过快的完全开通血管,可能反而导致血管床崩溃,导致虽然手术影像学漂亮,但是人却没有了。
所以我们采取逐渐调整血液流量的方法(缺血后适应,也就是说让子弹飞一会儿),极大程度的减少了再灌注损伤。在严密监控心脏各项指数的情况下,经过一个多小时的精心手术,终于让谢先生转危为安。
考虑到残余狭窄不严重,血流已经达到3级的正常程度,当时我们就没有植入支架。

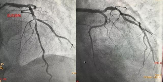
半月后我们重新复查造影如下:

血管通畅,无明显狭窄,未植入支架。
一月后复查心脏彩超:

心功能轻度降低,患者活动耐量尚可。

看到病人康复,作为医者内心也十分开心。
但是一周前同样的病例再次发生在胸痛中心,患者因急起胸痛10小时被家人送到胸痛中心,送来时患者胸痛剧烈,皮肤湿冷。心电图如下:

冠状动脉提示心脏的左右两支冠状动脉都完全闭塞,只有一根桥血管通畅,同样的流程,同样的操作,但是我们并没有能够再次创造奇迹。他让我们再次体验到了医生的无可奈何。

两个病人
相同的病变
同样医生
但是结局却天上地下,为什么有这样的结果呢?
因为他们除了有同样的疾病,同样的严重病变病变外,还有一个最大的不同就是
救治的时间
第一个患者胸痛3小时被120送到胸痛中心
第二个患者是在胸痛10小时才被家人发现并送到医院。
那么发生急性心肌梗死,我们到底该怎么做呢?
发生急性心肌梗死,记住两个120(再次强调):及时拨打120(急救电话),把握120分钟的黄金救治时间。
▶ 急性心肌梗死的典型症状是胸骨正中或偏左部位出现疼痛,有濒死、压迫感,可持续5~15分钟或以上,伴有出汗、恶心等症状。
一般来说,胸痛持续超过5分钟就应提高警惕,20分钟还不缓解要高度怀疑心梗。遇到急性胸痛请注意以下几点:
01不建议自己送医
请您立刻拨打120,因为120是最快捷的救护工具,请让专业的人干专业的事。请不要随意搬动患者或患者自行走动,亦会增加院外死亡率;相反,如果拨打急救电话,医生会在来的路上指导患者先行自救;
其次,很多患者可能不了解即将就诊医院的情况,送去的医院可能没有救治急性心梗的能力,即使有能力,院方也可能因没做好人员、设备和床位的准备,从而延误救治,所以如果遇到胸痛,请到就近的胸痛中心就诊,这非常重要。(每个胸痛中心都会有绿色通道,会大大减少就诊时间,提高救治成功率)
02平静地等待救援
建议在专业人士指导下服用药物,不建议自行服用急救药物比如硝酸甘油(因为有的急性心肌梗死会严重影响血压,过多的含服硝酸甘油会进一步降低血压,增加风险,如果家里有血压计可在测量后根据血压情况而定,血压和平时差不多或者高于平时可含服)。
剧烈胸痛还有可能是另一种严重的疾病----主动脉夹层,这种疾病死亡率非常高,舌下含服硝酸甘油无用。而且一旦服用阿司匹林,不仅起不到治疗作用,还可能加重病情。所以遇到急性胸痛还是让医生决定你口服什么药物更好。
此外情绪激动和活动会造成心脏耗氧量增加,增加风险。所以,需要以自己最舒服的姿势保持平静,平卧位、坐位、半卧位都可以,其中半卧位最佳,尤其是要克服恐惧的情绪。
如果家里没有其他人,应该把门打开,方便急救人员施救,建议立即写一张纸条,把关键家属的联系方式写下来交给急救人员。
03配合医生的工作
请您一定要相信您的主治医生,配合医生的工作,因为我们的共同敌人是您的疾患。
由于心肌细胞和神经细胞一样,属于不可再生细胞,心肌梗死发作时,被堵塞动脉远端的心肌细胞会失去血液和氧气的供应。超过20分钟,心肌便会出现缺血缺氧性坏死。而且被延误的时间越长,坏死面积越大,死亡率也就越高,预后也就越差。

因此,一旦明确了急性心肌梗死的诊断后,千万不要左打听右咨询,千方百计找关系,而是应该接受胸痛中心主治医师的建议,尽可能早的开通血管,争取尽可能多的挽救濒死的心肌以缩小梗死范围,如果在发病120分钟内开通血管,可以将心肌的损害减到最小。

因此,为了病人的安危,为了提高救治的成功率,改善临床预后,家属一定要信任医生,并配合医生工作,尽快进行血运重建(溶栓或者介入治疗),以开通闭塞血管。因为我们有着共同的敌人——您的疾患。千万不要因为您的犹豫和不信任耽误了最佳救治的时间。
人世间的至痛,生与死,有时只是一步之遥!一旦出现,时间就成为最宝贵的东西,也是最经不起浪费的财富!在9月29日世界心脏病日即将到来之际,我由衷的希望大家关注心脏,关注胸痛。



文 刁军
文中图片均来源于网络,侵删
觉得不错,记得分享给更多的人!
更多健康知识,欢迎关注微信公众号“刁大夫心世界”