脑动静脉畸形是一种临床少见但致病风险极高的脑血管疾病,尤其发生破裂出血时,对青中年群体的健康威胁显著,约1/3的患者会因出血导致严重残疾。目前针对未破裂脑动静脉畸形的治疗与管理仍存在诸多争议,尚无明确的治疗指南,临床需神经外科、介入科、放疗科等多学科团队结合当地医疗水平制定综合方案,部分高分级、高手术风险的未破裂患者常采取保守治疗。ARUBA试验显示保守治疗效果或优于干预治疗,但长期随访发现,对破裂患者实施干预治疗的获益会随随访时间延长逐渐凸显,因此精准预测破裂风险成为治疗决策的关键。首都医科大学附属北京朝阳医院石景山医院马向科教授结合临床研究与实际病例,对急性破裂出血脑动静脉畸形的外科治疗策略进行分享。
脑动静脉畸形破裂出血的危险因素2024年Neurology的一项研究明确了脑动静脉畸形破裂出血的核心危险因素,同时也发现了一些与临床认知不同的特征性规律,结合国内研究结果,相关危险因素可总结为以下4方面。
1.核心独立危险因素
初始出血表现与深静脉引流是预测脑动静脉畸形后续破裂出血的绝对主要危险因素,二者叠加时,破裂风险会显著升高。有过出血表现的患者,发生继发性出血的概率是无出血表现患者的1.548倍,年出血风险高达2%~3%。一项五年随访研究显示,存在深静脉引流的患者五年破裂率达17.3%,存在深部或幕下动静脉畸形伴静脉引流者破裂率为8%。同时,血流动力学研究表明,患者的淤滞指数、血流流入等指标也与出血发生明显相关。
2.次要危险因素
年龄增长、性别差异、初始癫痫表现以及深部部位的脑动静脉畸形,均为出血风险的预测指标,临床评估时需纳入考量。
3.特殊临床特征
研究发现,动静脉畸形的体积大小及Spetzler-Martin分级(简称SM分级,主要依据畸形团大小、是否位于功能区、有无深静脉引流三项指标评估手术风险)与出血风险呈反向关联,即SM分级越高,出血风险反而越低。需注意的是,SM分级的主要临床价值为预测手术风险与死亡率,而非出血风险,这一特征需与临床评估需求明确区分。

图1 Spetzler-Martin分级
4.其他
此外,干预方式也会对出血风险产生影响:以治愈为目的的积极干预(如放疗、伽马刀、介入治疗)若追求高血管造影闭塞率,可能会增加出血风险;而针对高危因素的针对性处理,如动脉瘤栓塞、术前或放疗前的辅助血管栓塞,可有效降低患者的出血率。
临床治疗病例分析结合临床实际病例,不同病情的脑动静脉畸形破裂出血患者,其治疗策略的制定需个体化,多学科联合治疗是目前的主流思路,以下为3例典型病例的治疗过程与经验总结。
病例1:17岁男性,顶枕叶动静脉畸形破裂伴脑室出血
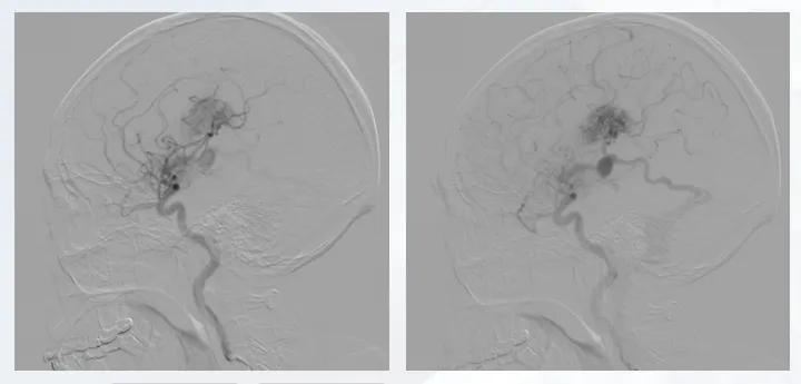
患者因突发意识不清、肢体抽搐2 h入院,中度昏迷状态,气管插管,双侧病理征阳性,头颅CT提示顶枕叶大量出血并破入脑室。入院后开通绿色通道,行急诊脑室外引流降低颅内压。血管造影提示病变由大脑后动脉多支供血,存在皮层静脉向矢状窦引流及深静脉引流,可见明显静脉湖。

图2 患者血管造影图

图3 脑动静脉栓塞-液态栓塞

图4 血管内治疗过程
治疗策略:采取“介入栓塞+神经内镜血肿清除+伽马刀放疗”的多阶段联合治疗。首先对大脑后动脉4支供血分支行介入栓塞,术中确保畸形团内安全栓塞,避免反流,栓塞后畸形团基本闭塞,仅深部少量可疑残留且流速流量极低;随后行神经内镜下单纯血肿清除,术后颅内情况稳定;术后两周造影复查见深部残留畸形显影,因残留病灶小于3 cm,予伽马刀放疗。
预后:患者术后1个月康复训练后恢复至正常状态,术后两年随访,经降压治疗后畸形团完全消失,达到临床治愈。

图5 患者术后2年复查血管造影
该病例为青年患者,介入栓塞有效降低了手术出血风险,针对小体积残留病灶的放疗则实现了根治,体现了多阶段治疗的合理性。
病例2:65岁女性,表浅部位小体积动静脉畸形破裂出血
患者为少量出血,出血部位表浅,血管造影提示出血部位为小型动静脉畸形,供血动脉分支明确,引流静脉经海绵窦、翼状窦、乙状窦至上矢状窦。


图6 患者血管造影图
治疗策略:因病变表浅、体积小,未行术前栓塞,直接采取开颅手术切除畸形团,术中重点鉴别动脉与静脉,精准切除病变组织。
预后:术后患者恢复良好,皮层静脉恢复正常生理状态,未出现明显并发症,体现了表浅小体积病变直接手术切除的可行性。
病例3:颅内多发脑动静脉畸形伴动静脉瘘,破裂后大量出血
患者因行走偏斜2个月就诊,MRI检查提示颅内畸形,血管造影明确颅内存在5处动静脉畸形,累及双侧脑组织,同时合并硬脑膜动静脉瘘,右侧畸形可见静脉湖、深静脉引流及脉络膜前动脉动脉瘤。初始未发生破裂,因病变复杂未予手术处理,建议定期影像学复查。出院1个多月后患者突发意识障碍,头颅检查提示右侧颞顶叶大量出血。回顾术前影像,右侧畸形结构更为复杂,存在动脉瘤、深静脉引流等多个高危因素,与破裂危险因素的预测相吻合。

图7 右侧颈内血管造影

图8 左侧颈内血管造影

图9 左:左侧颈外血管造影;右:椎动脉血管造影
治疗策略:采取“动脉瘤栓塞+畸形团介入栓塞+开颅畸形团切除”的联合治疗。因右侧动脉瘤与畸形团位置较远,术中定位困难,先对右侧动脉瘤行介入栓塞,以降低再出血风险;随后对畸形团行部分栓塞,控制血流;再行开颅手术切除右侧主要畸形团。左侧其余未处理的畸形因体积较小、位置深在,建议后续行放疗,进一步控制病变,避免远期再出血风险。术后因颅内压较高行去骨瓣减压。
预后:术后患者神志清楚,颅内情况稳定,术前肢体瘫痪症状明显改善,下肢肌力恢复至2~3级,上肢肌力1~2级。术后1个月复查脑血管造影,显示右侧畸形团已切除,未见残留显影。患者后续仍需定期随访与康复训练。

图10 患者术后复查血管造影
该病例提示,对于存在多种破裂危险因素的复杂多发畸形,即使初始未破裂,也需重视风险评估与干预,避免严重出血事件发生。多阶段联合治疗在控制急性出血、处理高危因素及实现根治方面具有重要价值。
临床治疗策略总结与思考脑动静脉畸形破裂出血的治疗需遵循个体化、多学科联合的原则,核心是结合患者的年龄、病变部位、体积、血管结构、破裂危险因素等制定针对性方案,同时兼顾治疗的安全性与根治性,总结临床核心策略如下:
1.急诊处理优先控制颅内压:对于破裂出血伴颅内高压的患者,需首先采取脑室外引流等措施降低颅内压,为后续血管造影与病因治疗创造条件,避免脑疝等严重并发症。
2.介入栓塞的合理应用:介入栓塞可作为术前辅助治疗,有效降低病变的血供与手术出血风险,尤其适用于深部、多支供血、体积较大的畸形团;对于术后残留的小体积病灶(<3 cm),栓塞后联合放疗可实现根治,提升治疗效果。
3.开颅手术的适应证:表浅部位、小体积、单支供血的畸形团,可直接行开颅手术切除,术中需精准鉴别动静脉,避免血管损伤;对于破裂后大量出血、畸形团已明确的患者,开颅手术可同时实现血肿清除与畸形团切除。
4.多学科联合的核心价值:针对复杂病变(如多发畸形、合并动脉瘤/动静脉瘘、深静脉引流等),需神经外科、介入科、放疗科等协同评估,采取“栓塞+手术+放疗”的多阶段治疗,同时针对性处理动脉瘤等高危因素,降低再出血风险。
5.破裂风险的动态评估:对于未破裂的复杂畸形,即使初始采取保守治疗,也需长期随访并动态评估破裂危险因素,对存在初始出血、深静脉引流、动脉瘤等高危因素的患者,及时采取干预措施,避免严重出血事件。
此外,临床治疗中需重视血管造影的核心作用,若未完善造影检查贸然手术,可能因对病变血管结构认识不足导致严重手术并发症,尤其对于年轻医师,需严格遵循诊疗流程,重视术前影像学评估。
脑动静脉畸形破裂出血的外科治疗仍需更多的长期临床研究与循证医学证据,未来需进一步优化风险评估体系,制定更具针对性的诊疗指南,同时提升多学科联合治疗的规范化水平,在降低治疗风险的同时,进一步提高患者的治愈率与生活质量。

马向科 教授
首都医科大学附属北京朝阳医院石景山医院
医学博士,主任医师。首都医科大学附属北京天坛医院神经外科专业博士学位。公派世界显微神经外科培训基地苏黎世大学医院访问学者。荣获第九届北京优秀医师奖。
担任美国神经外科医师协会(AANS)委员,北京医学会神经外科分会周围神经组副组长,北京医师协会神经介入分会青年委员,北京神经科学学会神经介入专业委员会委员,北京神经科学学会全科医学专业委员会委员,中国民族卫生协会神经外科特邀专家。
Neurosurgical Review,Frontier in Neurology等国际期刊审稿专家。第一作者发表SCI论文6篇,累计影响因子大于20分。
熟练掌握显微神经外科、血管内介入和神经内镜、功能神外等技术。主要从事脑血管疾病的外科治疗。在颅脑肿瘤、脑积水和面瘫等神经系统疾病的外科治疗有丰富经验。对脑深部电刺激植入和脊髓电刺激管理慢性疼痛经验丰富。