今年56岁的黄阿姨(化名)终于摆脱了困扰她十年的顽疾,而带来这一转机的,竟然是来自健康捐赠者的粪便。
黄阿姨是一名结肠癌术后患者,十年间每日腹泻多达5~8次,反复的皮疹、瘙痒与营养不良让她痛苦不堪。辗转多家医院,尝试各种药物无果后,她在市中心医院就诊,经过专家检查发现,她的肠道有害菌远超正常水平,结合其病史分析得出,这与她长期抗生素使用及化疗药物导致的肠道菌群失衡有关。经过多学科评估,专家建议她接受了一种特殊疗法——肠菌移植。
仅一个疗程,她的腹泻次数就从每日5~8次减少到1次,大便恢复正常,体重和营养指标明显改善,整个人精神焕发起来。

图源摄图网(已授权)
便便的“逆袭”,从排泄物到治疗剂在传统观念中,粪便是人体的排泄物,唯恐避之而不及。然而,在现代医学中,它却成为了一种珍贵的医疗资源。
肠道内寄生着数以万亿计的微生物,这些微生物共同构成了肠道菌群,它们影响着人体的消化、免疫甚至心理健康。
当肠道菌群失衡,可能引发多种疾病,而通过移植健康供体的肠道菌群来治疗疾病的方法,被称为菌群移植(Fecal Microbiota Transplantation,FMT)或肠菌移植。
近年来,肠菌移植不仅在艰难梭菌感染等领域表现出色,更在肿瘤治疗中展现出惊人的潜力。一位8岁的白血病患儿琳琳在化疗后出现了严重的并发症——肠炎。
她腹泻、腹痛、发热和血便,身体状况急剧下降。在贵阳市妇幼保健院,医生们为她实施了洗涤菌群移植治疗。移植后3天,琳琳的症状就开始改善,一个月后,她的肠道菌群和免疫力都得到了恢复。
肠道菌群,肿瘤治疗的“幕后指挥家”你可能想知道,肠道菌群究竟如何影响肿瘤治疗?科学家们发现,这些微小的生物在我们的体内扮演着 “幕后指挥家” 的角色。
肠道菌群能够调节人体免疫系统,影响肿瘤微环境。一项发表在《科学》杂志上的研究发现,某些肠道细菌可以增强免疫检查点抑制剂(一种免疫疗法)的疗效。
具体来说,肠道菌群通过多种机制对抗肿瘤:
调节肿瘤微环境:黏液真杆菌(Eubacterium limosum)是一种潜在的益生菌,研究发现它能够改变肿瘤微环境,增加TNF-α和INF-γ、CD8等抗肿瘤细胞因子的水平,同时降低IL-6、IL-10和TGF-β、CD4等促进肿瘤生长的因子。
产生抗肿瘤代谢物:这种细菌还能产生包括吲哚-3-乳酸(ILA)、吲哚-3-乙酸(IAA)、L-精氨酸和丁酸在内的代谢物,这些物质在实验中都显示出抑制肿瘤生长的作用。
影响免疫细胞活性:研究发现,经过肠菌移植治疗后,患者肿瘤微环境中的CD8+ T细胞(一种能够杀伤肿瘤细胞的免疫细胞)水平显著提高。
竞争性抑制有害菌:罗斯氏菌属(Roseburia)和真杆菌属(Eubacterium)等健康菌群的丰度显著增加,可以占据有害菌的生存空间,减少如葡萄球菌属(Staphylococcus)和肠球菌属(Enterococcus)等可能促进癌症的有害菌数量。
肠菌移植能够突破免疫治疗耐药性免疫检查点抑制剂是近年来肿瘤治疗的重要突破,但相当一部分患者会对这种治疗产生耐药性。科学家们开始探索是否可以通过改变肠道菌群来逆转这种耐药性。
一项名为MITRIC的临床研究正在评估肠菌移植对多种癌症患者的效果。招募至多 20 名接受免疫检查点抑制剂 (ICI) 治疗后病情进展的患者,这些患者将接受来自 ICI 有效患者(疗效持续 > 12 个月)的肠菌移植 (FMT)。符合条件的患者群体包括转移性黑色素瘤、皮肤鳞状细胞癌、头颈部鳞状细胞癌 (HNSCC;PD-L1 表达 > 20%)、肾透明细胞癌、非小细胞肺癌 (PD-L1 表达 > 20%) 以及微卫星不稳定性高 (MSI-H) 的实体瘤。
初步结果显示,对于既往接受过大量治疗的患者,肠菌移植与免疫治疗的组合是安全可行的。
更令人鼓舞的结果来自另一项概念验证临床研究:在13例曾经对免疫治疗耐药的胃肠道癌症患者中,有6人(接近一半)在接受肠菌移植后,开始从免疫治疗中获益。
这表明,改变肠道菌群确实可能逆转对免疫治疗的耐药性。
典型病例:肠菌移植的成功实践随着研究的深入,肠菌移植在肿瘤治疗中的应用案例越来越多。除了前文提到的黄阿姨和琳琳,还有许多患者从这种新颖的治疗中受益。无癌家园小编在此整理了肠道群移植(FMT)在辅助抗癌方面的三个具有代表性的病例与研究,它们以真实的数据展示了这一新锐疗法的潜力。
01
晚期肠癌患者的“绝地反击”
一位57岁的中国男性被诊断为IVb期错配修复充分(pMMR)、微卫星稳定(MSS)的晚期结直肠癌,并已出现肝转移。这类癌症通常对免疫疗法反应不佳,治疗前景一度非常黯淡。
在经历常规化疗因严重副作用被迫中止后,他接受了一种全新的联合治疗方案:口服肠菌移植(FMT)胶囊,并联合使用替雷利珠单抗(抗PD-1药物)和贝伐单抗(抗VEGF药物)。
治疗结果令人振奋:
肿瘤标志物显著下降:癌胚抗原(CEA)从治疗前的30.1 μg/L降至4.3 μg/L;癌抗原19-9(CA19-9)从62.64 kU/L降至23.97 kU/L。
肿瘤大幅缩小:影像学检查显示,结肠原发肿瘤和肝脏转移灶均明显缩小,病情达到部分缓解(PR)。最终,肿瘤缩小至可以进行根治性手术的范围,并实现了病理完全缓解(pCR),即在手术切除的标本中已找不到存活的癌细胞。



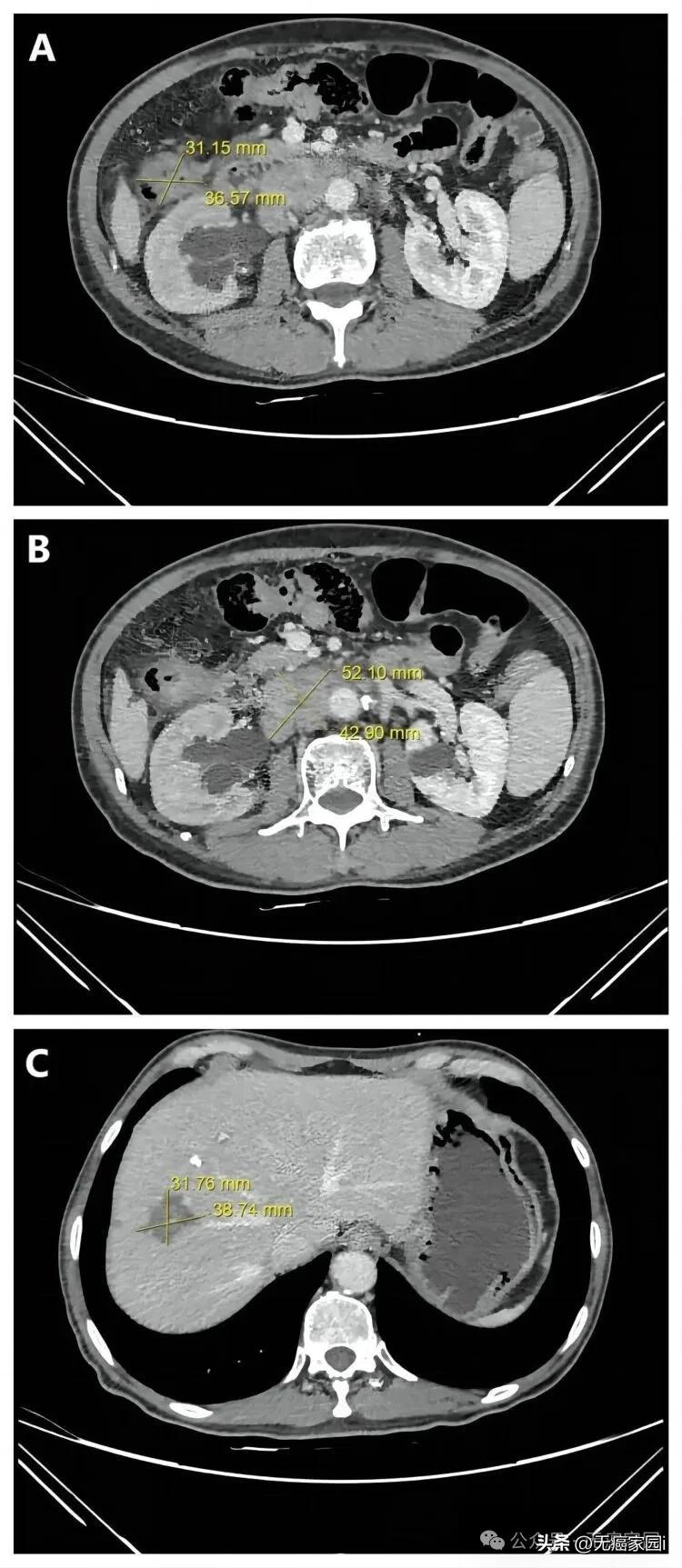
患者第一、二、三次治疗后腹部轴位 CT 图像,显示病灶大小。
A. 结肠肿瘤;B. 淋巴结转移病变;C. 肝转移;CT:计算机断层扫描。

表 1. 不同治疗阶段后的肿瘤标志物水平。
CEA:癌胚抗原。CA19-9:癌抗原19-9。健康不吸烟成年人的CEA参考值低于3 μg/L。健康成年人的CA19-9参考值低于37 kU/L。
案例启示:该案例是全球首例经报道的、利用FMT联合免疫疗法成功治疗pMMR/MSS型晚期肠癌的典范,为这类“难治型”癌症患者开辟了全新的治疗思路。
02
肺癌与黑色素瘤的“群体突破”
这并非单个患者的故事,而是一项令人鼓舞的临床研究(NCT04951583)结果。该研究探索了肠菌移植(FMT)联合免疫检查点抑制剂(ICI) 对晚期非小细胞肺癌和黑色素瘤患者的疗效。

截图源自ESMO官网
研究中,40例患者(包括20例肺癌和20例黑色素瘤)在接受免疫治疗前,先通过口服胶囊进行了高剂量肠菌移植(HDFMT)。
研究据显示了卓越的疗效:
非小细胞肺癌组:客观缓解率(ORR)高达 77%。
黑色素瘤组:客观缓解率同样达到了 75%,并且其中有4名患者达到了完全缓解(CR),意味着影像学检查显示他们的肿瘤全部消失了。
案例启示:这项在2024年ESMO大会上公布的研究证实,FMT能够显著增强免疫疗法在两种不同癌症(肺癌和黑色素瘤)中的抗肿瘤活性,标志着微生物组疗法在肿瘤免疫治疗领域取得了重大突破。
03
肠菌移植让半数胃肠道肿瘤患者克服对免疫治疗的耐药
2024年8月14日,刊登在国际知名杂志《细胞宿主与微生物》上的一项韩国NCT04264975临床试验显示,在13例对PD-1抑制剂耐药的晚期胃肠道肿瘤患者中(包括4例转移性胃癌、4例肝细胞癌和5例食管鳞状细胞癌,患者中位年龄为60岁),通过肠菌移植结合纳武单抗治疗,有6例患者获得持续的微生物群变化和临床获益。其中1例患者部分缓解,5例患者保持疾病稳定,客观缓解率达到7.7%,疾病控制率达到46.2%。

值得一提的是,一例转移性肝细胞癌患者在接受肠菌移植后,肿瘤缩小了47.7%。由此能看出,肠菌移植能重构肠道菌群,增强机体免疫反应,达到显著的抗肿瘤效果。
04
粪菌移植逆转PD-1抗体疗效
2020年一项刊登在《Sience》杂志上的重磅研究结果证实:10例对PD-1治疗无响应的患者,接受了肠菌移植后,再接受PD-1的治疗,竟出现了神奇的逆转,两例晚期患者达到完全缓解!这项研究是全球首个肠便移植逆转PD-1抗体疗效的临床试验。
在这项I期临床试验中,受试者先口服抗生素清除自身肠道菌群,然后通过口服胶囊或肠镜注射,接受来自对PD-1治疗有效的"超级响应者"捐赠的粪菌样本,之后再次接受PD-1治疗。
1. 逆转免疫治疗耐药:10例患者中,有3例患者部分缓解,其中1例患者达到完全缓解,肿瘤全部消失。
2. 激活免疫反应:对治疗有响应的患者,其肿瘤内的免疫细胞浸润数量显著增加。
肠菌移植该如何实现?那么,肠菌移植究竟是如何实现的?这个过程其实远比想象中复杂和精密。
供体筛选是第一步,也是确保治疗安全的关键。供体必须经过严格的健康筛查,包括传染病筛查、遗传病评估和肠道菌群检测,确保捐赠的菌群健康且丰富。
合格的粪便样本需要经过精细处理,在专门的实验室内,技术人员会通通过离心、过滤等步骤,提取出“洗涤”后的纯净肠道菌群,去除食物残渣、杂质和潜在病原体。
最后的移植途径有多种选择:
结肠镜途径:通过结肠镜将菌液直接注入结肠,这是最常用的方法。
鼻饲管途径:通过鼻腔插入导管到达十二指肠或空肠,适合无法耐受结肠镜的患者。
灌肠途径:简单易行,但可能影响菌群存活率。
目前,肠菌移植已在85种疾病中得到应用,包括艰难梭状芽孢杆菌感染、溃疡性结肠炎、肿瘤免疫治疗及放化疗所致肠炎等。
除了上述提到的疾病外,肠菌移植还可应用于克罗恩病、功能性便秘、菌群紊乱相关腹泻、肝硬化、帕金森病、阿尔茨海默病、癫痫、多动症、糖尿病、肥胖症、脂肪肝、高脂血症等。
肠菌移植适合哪些类型的肿瘤患者?一是对免疫检查点抑制剂原发性或继发性耐药的患者,希望通过粪菌移植逆转耐药状态;
二是标准治疗失败后的晚期患者,寻找新治疗选择;
三是遭受严重治疗相关肠道并发症的患者,需要改善生活质量;
四是一般状况尚可,PS评分为0~1分,预期寿命至少为3个月。
值得注意的是,患者是否适合接受粪菌移植,需要由专业医疗团队进行全面评估,包括病情、身体状况、既往治疗经历等多方面因素。
肠菌移植的安全性如何?有哪些风险需要考虑?肠菌移植的安全性是我们最为关注的问题之一。根据现有临床研究,肠菌移植总体安全性良好。在非小细胞肺癌的一项研究中,治疗相关的不良事件主要与免疫治疗相关,肠菌移植本身仅引起1级不良反应(如轻度恶心、腹泻、腹胀和便秘)。
当然,风险也存在。主要包括需要确保供体粪便不含有病原体,防止感染传播;患者个体差异可能导致的不同反应;以及移植方式可能引起的不适。
目前,洗涤菌群移植新技术基于自动微滤机和反复离心加悬浮技术,可比传统徒手制备方法进一步降低发热、腹泻、腹痛等不良事件发生率,且不影响疗效。
结语肠菌移植作为癌症治疗的辅助手段,虽然仍处于研究阶段,但已经展现出巨大的潜力。它让我们重新认识到,那些被视为“废物”的便便中,竟隐藏着帮助我们抗击癌症的“秘密武器”。
随着更多大规模随机对照试验的开展,肠菌移植在癌症治疗中的地位将更加明确。或许在不久的将来,“便便移植”将成为肿瘤综合治疗的重要组成部分,为更多癌症患者带来生的希望。