
△ 消化系统的器官

△ 小肠壁与其他消化道部分一样,由四层组成:内层黏膜、黏膜下层、肌层和外层浆膜。

△ 消化道内的运动。(a) 混合运动发生在胃部肌肉壁的小段节律性收缩时。 (b) 分节运动用于混合小肠内的内容物。 (c) 蠕动波将内容物沿消化道向前推动。

△ 口腔适合摄取食物并开始机械消化和化学消化。

△ 口腔、鼻腔和咽部的矢状切面

△ 上颌和下颌的恒牙

△ 牙齿的切面

△ 主要唾液腺

小肠分为三部分:十二指肠、空肠和回肠。

由腹膜褶皱形成的肠系膜将小肠的部分悬挂于腹后壁。

单个肠绒毛的结构。肠绒毛的延长形态显著增加了小肠的吸收表面积。

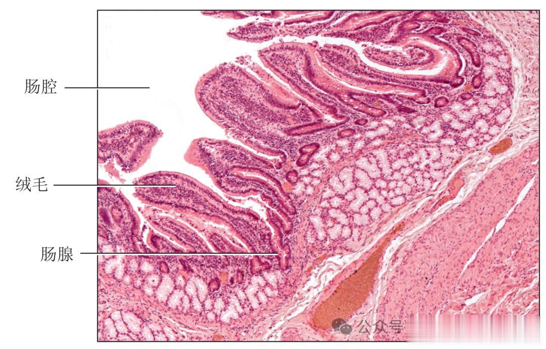
十二指肠壁肠绒毛的光学显微照片(50倍)

甘油三酯的吸收过程涉及多个步骤。(单层柱状上皮细胞上的微绒毛进一步增加了细胞膜的表面积,从而增强了吸收能力)

大肠各部分(前视图)

直肠和肛管位于消化道的远端。

患者摄入的显影剂的大肠X线片

大肠黏膜的光学显微照片(560倍)

△ 中肠旋转与固定

△ 胃肠道壁

△ 回盲交界

△ 结肠和直肠胚胎学

△ (a) 回肠开口和乙状结肠之间的结肠各部分的分型。(b) 乙状结肠的分型。正常乙状结肠类型是胎儿期最常见的类型。

△ (a) 妊娠4周至7周期间肛直肠区的胚胎发育。(b) 肛直肠管的组成部分。

△ 横结肠壁横截面中的壁内动脉丛

△ 结肠静脉

△ 直肠动脉

▲ 胃的主要区域及其相关结构。

▲ 胃黏膜。胃腺包括黏液细胞、壁细胞和主细胞。胃黏膜布满胃小凹,它们是胃腺的开口。

▲ 胃黏膜。胃腺中的主细胞和壁细胞。

▲ 胃液的分泌部分受副交感神经冲动的调节,这些冲动能够刺激胃液和胃泌素的释放。

▲ 胰腺与十二指肠关系密切。

▲ 来自胃的酸性食糜进入十二指肠后,会刺激促胰液素的释放,而促胰液素又进一步刺激胰液的分泌。

▲ 肝脏的各个叶,(a)从前方观察,(b)从下方观察。

▲ 肝小叶。 (a) 肝小叶的横断面。 (b) 肝小叶的纵向放大切面。 (c) 肝小叶横断面的光学显微照片(17 倍)。

▲ 肝小叶内血液和胆汁的流动路径。

▲ 脂肪性食糜进入十二指肠会刺激胆囊释放胆汁。