“我明明就是在深圳被人打伤的,骨折肯定是这次造成的!”男子李某情绪激动地辩解着,语气里满是笃定,可眼神深处的闪躲,还是没能逃过鉴定专家的眼睛。谁也没想到,这场看似证据确凿的伤情鉴定,背后竟藏着一段刻意隐瞒的过往,而鉴定专家凭着敏锐的直觉和心理战术,撕开了这场精心编织的谎言。


不久前,李某在深圳与人发生争执,争执过程中双方发生肢体冲突,李某倒地后称自己身体不适,随后被送往医院检查,诊断结果为脚踝骨折。为了维护自身权益,李某向警方报案,并申请了伤情鉴定,主张自己的骨折是此次冲突所致,要求对方承担相应的法律责任。

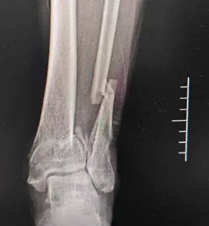
接到鉴定委托后,鉴定专家立即对李某的伤情进行了全面检查,并调取了相关的影像学资料。从检查结果来看,李某的骨折部位确实存在软组织肿胀,影像学显示的骨折形态也符合新鲜骨折的特征,再加上李某一口咬定自己近期只受过这一次伤,乍一看,所有证据都指向此次冲突是导致骨折的直接原因。

但多年的鉴定经验告诉专家,事情并没有这么简单。细心的专家发现,李某的骨折部位虽然有新鲜损伤的迹象,但结合影像学检查的细节来看,骨折的愈合状态与“近期刚受伤”的表述存在细微偏差——即便间隔仅1个月,两次同一部位受伤的影像学改变,也并非完全无法区分,只是这种细微差异,若非专业人士刻意留意,很容易被忽略。

“越是看似完美的证据,越要警惕背后的漏洞。”专家并没有被表面证据迷惑,而是结合自身经验,做出了一个大胆的判断:李某大概率隐瞒了过往受伤史。为了验证这个判断,专家决定采取心理战术,当面告知李某,警方将立即调取他本次受伤前在深圳的监控视频,重点观察他走路的姿态、肢体活动情况,以此判断他受伤前该部位是否已经存在异常。

看着专家坚定的眼神,李某知道自己再也瞒不住了,心理防线彻底崩塌,主动承认自己的骨折并非此次冲突所致,而是1个月前在老家意外受伤造成的。为了证明自己的说法,他还主动拿出了在老家医院就诊的病历资料,上面清晰地记录着当时的骨折诊断情况。“我以为间隔时间短,你们查不出来,没想到你们鉴定专家这么厉害,一点破绽都逃不过你们的眼睛!”李某满脸愧疚地说道,至此,这场刻意隐瞒的“伤情骗局”被彻底戳破。

法医鉴定从来不是简单的“看片子、下结论”,每一起鉴定背后,都关乎着公平正义,关乎着当事人的合法权益。在这里也要提醒大家,遇事要冷静理智,切勿抱有侥幸心理,试图通过耍花招、玩心眼隐瞒事实、规避责任。要知道,在专业的法医专家面前,任何谎言都不堪一击,任何破绽都能被精准捕捉,唯有坦诚面对,才能维护自身的合法权益,才能让公平正义不被亵渎。