最近北京降温,小编刷朋友圈时看到一位朋友又在抱怨鼻塞。配图是一瓶鼻喷剂,她的文案大意是喷进去没多久就能明显通气,晚上终于睡踏实了。出于职业习惯,我点开大图看到药品名为盐酸羟甲唑啉喷雾剂,我把截图转给一位耳鼻喉科医生朋友,顺便问他这类喷雾最近很火,效果到底靠不靠谱,能不能当作日常鼻塞药来用。医生回答得很直接:起效确实快,本质是局部血管收缩带来的通气改善,但绝不能连续用太久,尤其不要超过一周,否则可能出现反跳性鼻塞,甚至发展为药物性鼻炎。

图源:截图
为此,本文旨在系统阐述此类减充血剂的药理学机制与病理风险,并结合临床共识,明确其使用的安全边界与甄别方法。
药理机制:α-肾上腺素能收缩血管
局部鼻用减充血剂多为咪唑啉类(如羟甲唑啉、赛洛唑啉、萘甲唑啉)或苯丙醇胺类(如伪麻黄碱、苯丙肾上腺素)肾上腺素能受体激动剂,其主要作用于鼻腔黏膜血管平滑肌上的α受体,引起血管收缩,减少血流和组织液外渗。
因此,喷用后可快速减轻鼻腔黏膜充血和肿胀,缓解鼻塞。
常见副作用:局部刺激与黏膜损伤
鼻用减充血剂短期应用时副作用少见,但常见局部刺激反应:鼻黏膜干燥、灼热感、刺痛、烧灼感或轻度刺激性出血等;部分患者还可出现头痛、头晕、血压升高、心率加快等全身反应。
尤其是制剂中常含的防腐剂苯扎氯铵(BKC),被认为对鼻黏膜纤毛有毒性,可损伤纤毛和细胞间质。
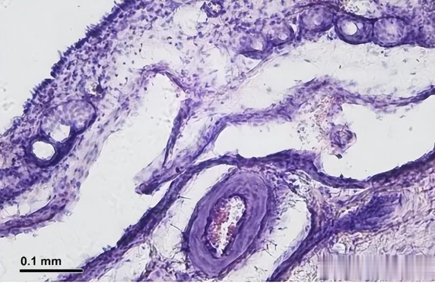
长期过度使用时,可产生药物性鼻炎,更会导致鼻黏膜结构病理改变。研究发现,长期或超量使用后鼻黏膜表皮可出现纤毛脱落、杯状细胞增生、上皮化生和黏膜水肿等改变。如图所示:

图源:pubmed
注:人鼻腔黏膜横切面(HE染色,100倍放大)。紫色为上皮层及黏膜层,下方可见血管。正常情况下黏膜完整且纤毛丰富;长期使用减充血剂后可出现纤毛脱落、黏液细胞增多和组织水肿等病理改变。
鼻用减充血剂通常限于短期使用
减充血剂说明书普遍建议连续使用不超过3~7天。美国FDA规定非处方减充血鼻喷剂最长连续用3天。欧洲等地多采用不超过7天的标准。《中国变应性鼻炎诊断和治疗指南(2022年修订版)》则提出连续用药不可超过2周,以避免反跳性鼻塞和药物性鼻炎。因此实践中应尽量控制在数日内,据病情轻重遵循儿童不超过3天、成人不超过1周的保守原则。
风险甄别:如何精准识别“高风险”减充血剂?
1.看通用名成分
这是最直接的判别方式。无论商品名如何花哨(如“xx通”、“xx灵”),请务必翻转瓶身查看【成分表】。若含有以下几类血管收缩剂,即属于高风险名单,连续使用超过7天即可能引发药物性鼻炎:
咪唑啉类衍生物:①盐酸羟甲唑啉②盐酸萘甲唑啉③盐酸赛洛唑啉。其他拟交感胺类:伪麻黄碱或麻黄碱,常见于部分复方滴鼻液或感冒药中。2.评估药效特征
如果您手边的喷剂成分不明(如外文包装),可根据使用后的药效动力学特征进行反推:
起效极快:喷入后5~10分钟内鼻塞瞬间缓解,通道打开。时效递减:药效仅维持数小时;随着使用天数增加,维持通气的时间越来越短(快速耐受)。停药反弹:一旦停药,鼻塞感比用药前更加严重(反跳性充血)。减充血剂的正确使用指南
1.严格限制疗程与频率
如果您因感冒或坐飞机耳痛,必须使用此类药物(如羟甲唑啉、赛洛唑啉),请务必遵守以下红线:
严格限时:(1)成人:连续使用不超过7天。国内指南建议变应性鼻炎不超过2周,但为了安全,临床通常建议控制在3~5天内。
(2)儿童:连续使用不超过3天。且必须选择儿童低浓度剂型(如0.025%或0.05%),2岁以下婴幼儿禁用。
给药频率:长效制剂(如羟甲唑啉)每日最多2次(早晚各1次);短效制剂易导致反跳,尽量避免使用。
2.掌握手法:避免“误伤”鼻中隔
很多患者用药后鼻出血、刺痛,往往是因为喷鼻姿势错误。正确的喷鼻不仅仅是“喷进去”那么简单:
错误姿势:仰着头喷、喷头对着鼻孔正中间(鼻中隔)。这会导致高浓度的血管收缩剂直接冲击脆弱的黎氏区(易出血区),引发鼻出血或穿孔。
正确姿势(“交叉喷鼻法”):(1)头稍前倾,眼睛看脚尖。
(2)右手拿喷雾,喷左侧鼻孔;左手拿喷雾,喷右侧鼻孔。
(3)方向对外:喷头稍向鼻腔外侧壁(眼角方向)倾斜,避开鼻中隔。
谨记:鼻塞只是症状,而非疾病本身。盲目依赖“速效喷雾”无异于饮鸩止渴,不仅治不好病,反而可能让鼻子更堵。唯有拒绝滥用、科学护理,才能真正重获自由呼吸!
参考文献(上下滑动)
[1] 中华医学会耳鼻咽喉头颈外科学分会鼻科学组, 中华医学会耳鼻咽喉头颈外科学分会变态反应学组. 中国变应性鼻炎诊断和治疗指南(2022年修订版)[J]. 中华耳鼻咽喉头颈外科杂志, 2022, 57(2): 106-129.
[2] 王洪田, 杨钦泰, 孟粹达, 等. 鼻用减充血剂的临床应用暨药物性鼻炎的诊治专家共识(2022年, 北京)[J]. 中国耳鼻咽喉颅底外科杂志, 2022, 28(4): 1-7.
[3] Vaidyanathan S, Williamson P, Clearie K, et al. Fluticasone reverses oxymetazoline-induced tachyphylaxis of response and rebound congestion[J]. American Journal of Respiratory and Critical Care Medicine, 2010, 182(1): 19-24.