这是网上一条300万+热度的提问,短短十几个字透着无奈,但又带着一丝希冀。请先别被生存期上寥寥无几的统计数字吓倒,我们一起看看今天这位华女士的经历,她能从“胃癌之王”晚期印戒细胞癌手中逃出,相信你也可以。

PART01 病情概述
2021年9月,华女士体检时发现肿瘤标志物CEA和CA153异常升高,又检查了乳腺、妇科彩超和胃镜也没发现是哪里的问题。
两周后,华女士到医院去进一步检查,此时肿瘤标志物飙升,CEA从15.1ng/ml升至1010.07ng/ml,CA153从169.2U/ml升至232.6U/ml。
进一步淋巴结穿刺病理活检“淋巴细胞涂片”查见异型细胞,倾向腺癌;“淋巴结穿刺活检”转移性腺癌,结合HE形态及免疫组化标记结果,首先考虑消化系统来源,建议重点检查消化道。

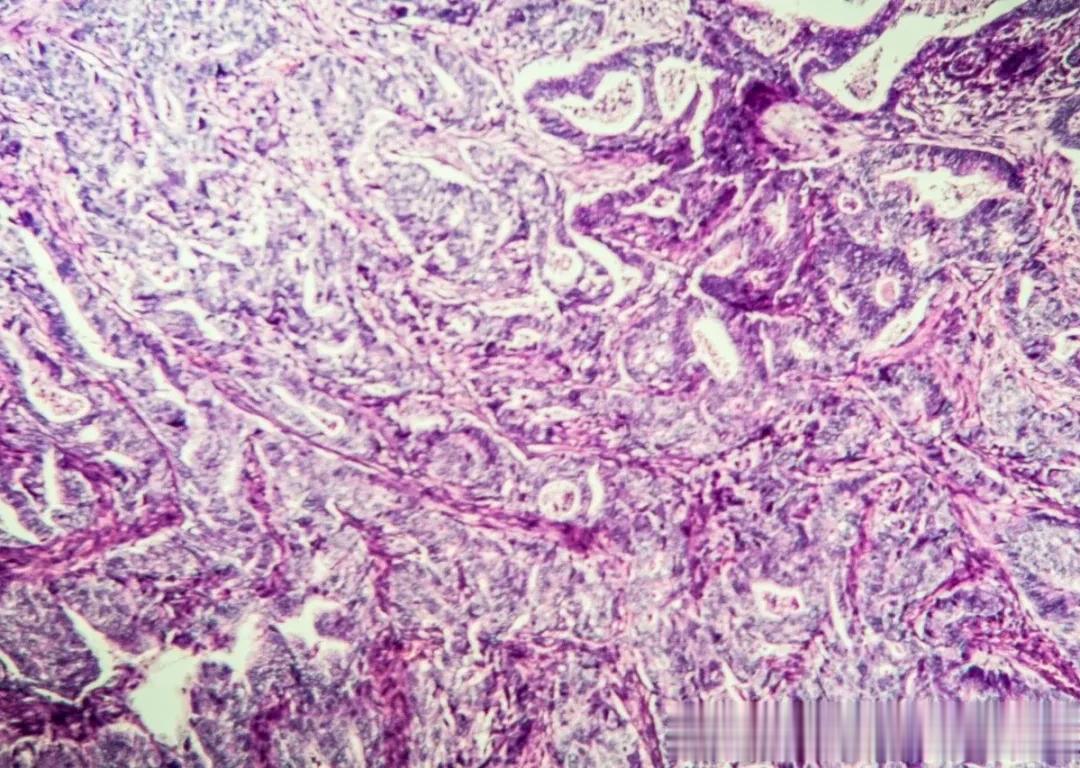
最终胃镜病理确诊:低分化腺癌,部分为印戒细胞癌,HP(-)。
确诊后,华女士等待医生安排手术切除,但医生却告诉她不手术,直接化疗!
⚠️ 为什么不手术,先化疗?
首先,华女士的胃癌为低分化腺癌,部分为印戒细胞癌,这类癌侵袭性强、早期就能发生弥漫性浸润,因此一次性切干净没有残留肿瘤(R0切除)的概率低。
其次,淋巴结穿刺已发现转移性腺癌,且免疫组化明确肿瘤来自消化系统。
第三,手术无法R0切除,盲目开刀可能加速播散。
因此,医生通过先化疗快速抑制全身癌细胞扩散,先缩瘤为后期争取手术机会。
2021年11月至2022年4月,华女士做了6个周期SOX方案治疗,结束后又用S-1单药维持治疗。
但是单纯靠化疗来抵挡低分化腺癌+印戒细胞癌显得那么力不从心,2023年12月,华女士复查发现双侧卵巢都出现了肿块,初步诊断为库肯勃瘤,并于当月做了卵巢切除术。

库肯勃瘤,通俗的讲就是一种卵巢转移性肿瘤,它几乎全部由胃肠道的印戒细胞腺癌转移而来,其中胃可以说是重点来源。这种肿瘤并不是卵巢原发癌,而是晚期肿瘤(Ⅳ期)的表现,通常预后差,中位生存期约14~16个月[1]。
卵巢转移的出现预示着胃部印戒细胞癌化疗后依然活跃,原发灶成为了当下需要解决的问题。
2024年12月,华女士接受了胃大部切除伴胃-空肠吻合术[Bi11roth Ⅱ式手术],腹腔淋巴结清扫术+空肠一空肠侧侧吻合术。
术后病理诊断:低分化腺癌,大部分为印戒细胞癌;淋巴结转移情况:取了35枚淋巴结,其中27枚有转移。
面对癌细胞的强扩散能力和广泛的淋巴结转移,医生不得不对华女士采取强化方案:替吉奥治疗,紫杉醇(腹腔灌注)治疗12次。
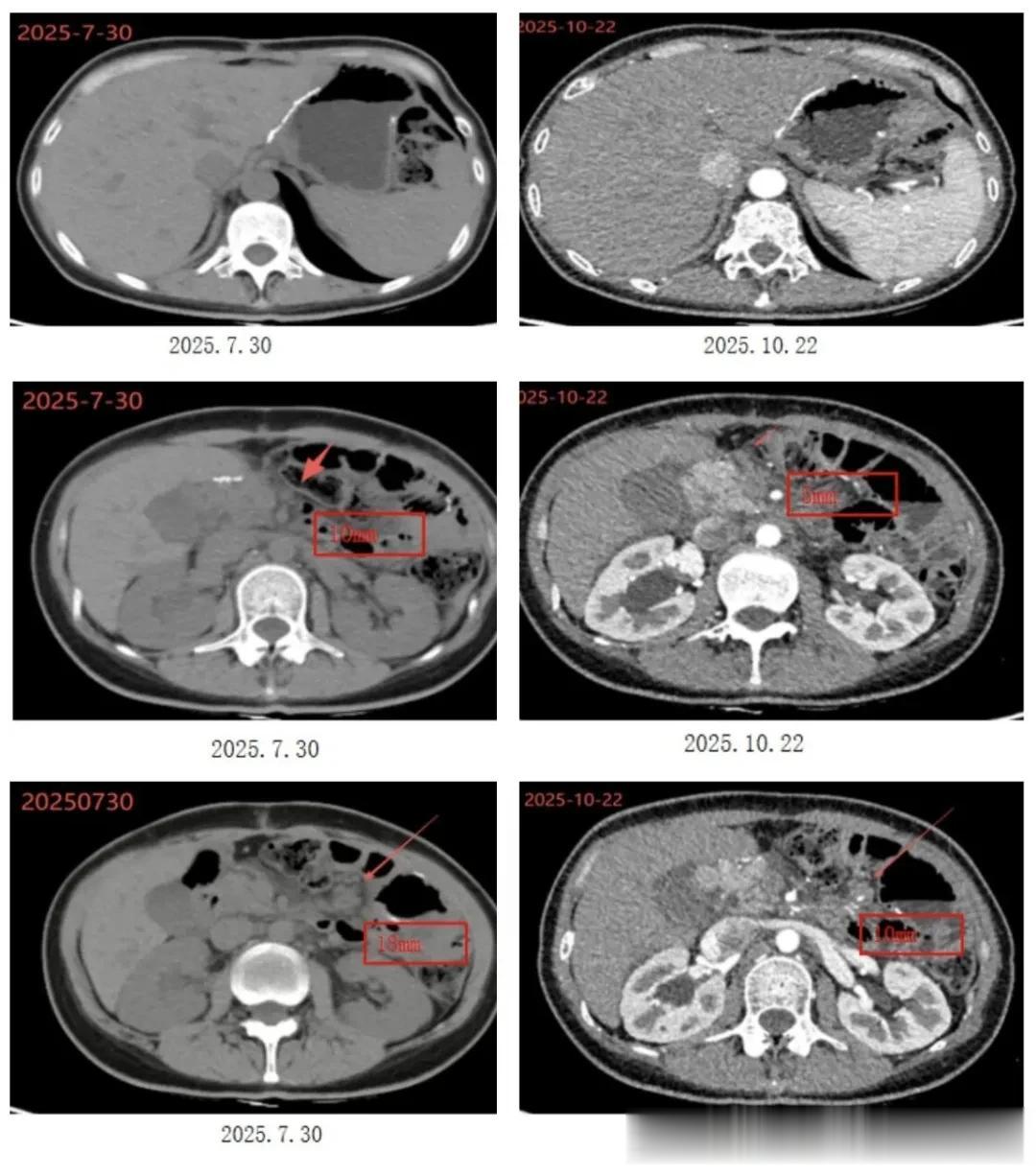
但即便已经使用了强化治疗手段,但治疗效力依然有限,2025年7月复查显示:部分胃壁局限性增厚,肠系膜根部、腹膜后脂肪间隙模糊伴多发淋巴结肿大,较大者直径约10mm,网膜周边多发淋巴结,较大者直径约18mm。
PART02 第二诊疗建议
传统治疗效力有限,淋巴结广泛转移,还有救吗?
当然有救,但前提是需要跳出“传统治疗”框架!华女士和家人显然也意识到了这一点,于是他们找到了以癌症免疫疗法和第二诊疗建议见长的张明徽教授团队。
经张明徽教授团队分析:

1、低分化、印戒细胞癌本身侵袭性强、增殖快,化疗敏感性差导致传统治疗作用有限;
2、27/35淋巴结阳性,且已有卵巢转移(Krukenberg),提示微转移仍然存在;
3、强化治疗后,影像学复查CT显示胃壁局部增厚、肠系膜根部/腹膜后多发淋巴结稍增多,提示癌细胞仍活跃。
4、免疫细胞治疗能够为华女士提供精准、持久、可渗透微转移灶/微残留的治疗路径,能够打破已有的化疗耐药僵局。
5、细胞的选择上,vNKT细胞是一种细胞表面既有T细胞受体TCR,又有NK细胞受体的特殊T细胞亚群,它兼具NK细胞和T细胞的重要特征,具有非特异性和特异性识别肿瘤细胞的双重能力,对肿瘤细胞的杀伤性更强。同时,vNKT细胞还会调节肿瘤组织内部的免疫微环境,打破肿瘤的免疫逃逸,重建正常免疫系统。
6、在副作用管理上,vNKT细胞是人体里本就存在的免疫细胞,通过人工扩增后再回输到患者体内,增强其抗肿瘤战斗力,同时不会对正常细胞造成伤害,安全性相较其他传统治疗方式更高,可以对患者生活质量有较好保障。
2025年8月,华女士进入第一阶段vNKT细胞治疗,1疗程/21天,目前已完成4疗程进行治疗评估:
• 胃部情况:2025年10月22日,复查CT示:胃大部切除术后改变;
• 腹部情况:2025年7月30日至2025年10月22日,胸腹盆部CT示:肠系膜根部、腹膜后脂肪间隙模糊,多发淋巴结缩小从10mm→5mm;胸腹盆部CT示:网膜周边多发淋巴结缩小从18mm→10mm;
肿瘤标志物检测示:vNKT细胞治疗期间 CA19-9、CEA、CA72-4均在正常范围内。

不仅复查影像看到改变,华女士的精神、饮食、睡眠、体力和日常活动都在变好,她的目标也从活得更久转向长期高质量带瘤生活。
实验条件:有vNKT细胞存在的情况下,经过16个小时,近乎所有B16肿瘤细胞被杀死!
PART03 结论与点评
经历了突如其来的晚期癌症,医学上的治愈或许遥远,但每一束的阳光的温暖、每一口食物的滋味、每一次与家人的拥抱,都是生命另一种形式的“得救”。
华女士说:我不是奇迹,我只是比更多人早一步看清了抗癌的真相。
当传统治疗走到尽头,是选择放弃?还是勇敢尝试新疗法?生命从来不是一道单选题......
参考来源:
[1]Aziz M, Killeen RB, Carlson K, et al. Krukenberg Tumor. [Updated 2024 Apr 20]. In: StatPearls [Internet]. Treasure Island (FL): StatPearls Publishing; 2025 Jan-.Available from: https://www.ncbi.nlm.nih.gov/books/NBK482284/