
随着现代社会不孕不育率的增加,试管婴儿成为越来越多求子家庭的选择,全球每年超过200万试管婴儿的诞生,为无数家庭实现了生育梦想。
但医学不断进步,试管婴儿技术不能止步于生出来,还要生得健康。
学界近些年来一直在思考的研究一个更深的问题:通过技术诞生的生命,其长期健康是否与自然受孕个体完全一致?
就是在这种不断追求更好的过程中,美国宾夕法尼亚大学团队的最新研究发现了一个我们以前没太注意,但对于试管女宝来说非常关键的问题。
它指出,在常规健康评估指标之外,试管技术可能会在生命早期,对其生殖系统产生一种深远的编程效应,从而影响女性胎儿的未来生育情况。
接下来,让我们一起来看看这份研究,它具体提示了什么?对我们试管家庭有怎样的影响,以及我们应该如何看待这样一份研究。
01一个观察到的现象虽然试管不断提高受精率和妊娠率,但在改善子代健康结局方面还没有取得突破性进展。
随着试管婴儿人数不断增加,进一步研究其对后代潜在不良影响非常必要。
在一项针对青春期女性小样本队列研究发现,试管婴儿女性子代卵巢储备降低,青春期启动时间改变,还伴有激素水平失衡。
另外一项研究发现,虽然试管子代健康状况与自然怀孕基本没差异,但发现这些子代心血管和代谢参数存在不良改变。
我们知道,试管相关不良影响可能和胚胎早期体外暴露有关,生命早期特别容易受到外界应激影响,而且胚胎培养时长和条件对表观遗传影响巨大。
小鼠模型显示,与自然受孕子代相比,试管子代出现代谢综合征风险升高,表现为葡萄糖、胰岛素、甘油三酯和胆固醇水平异常,以及肝脏转录组和蛋白质组改变。
关于试管对男性生殖系统的影响已经有不少研究,这也引发了学界对试管女性子代的担忧,这项研究就是基于以上前提。
研究者想通过小鼠模型,聚焦试管婴儿对子代卵巢的影响,探讨技术本身是否加速了雌性的生殖衰老。
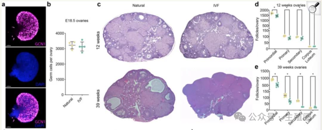
02试管女宝卵巢vs自然女宝卵巢我们先来看试验的第一项比较,研究者采用了最直接的方法,就是检查它们的卵巢。
研究人员设置了两组小鼠,一组是自然受孕生出的雌性小鼠,一组为试管受孕生出的雌性小鼠,在它们的青少年时期(12周)和中年时期(39周)分别测量和比较它们的卵巢。

结果发现,试管雌鼠整体体重比自然雌鼠更重,但卵巢本身的重量却更轻。
研究者又比较了两组子代的激素,结果显示,试管雌鼠雌二醇水平在12周和39周都更低;孕酮水平在12周也更低。
我们知道,雌二醇是卵泡的营养剂和指挥官,它不足直接导致卵子质量下降;孕酮异常与月经紊乱、子宫状态不佳乃至后续怀孕都有关系。
所以,这两个激素水平下降指向生殖功能减弱,而且是减弱的强烈信号。
我们再来看线粒体功能,在胎儿时期,试管雌鼠和自然雌鼠线粒体数量没有区别。
但是,在出生后的青少年期(12周)和中年期(39周),试管雌鼠卵巢中线粒体数量显著降低了。

这意味着,试管雌鼠在年轻的时候,卵巢的线粒体数量就已经比同龄的自然雌鼠要少,呈现出一种提前老化或乏力的状态。
03试管卵巢内部vs自然卵巢内部我们再来深入看看卵巢内部的图景,研究人员首先看了最早期的情况,在胚胎期,研究者使用一种能标记所有原始生殖细胞的染色方法进行检查。
结果发现,在这个最早的时间点,试管小鼠和自然小鼠卵巢里的原始生殖细胞数量是一样的。这说明在出生之前,它们的种子总数起点是相同的。
当它们长大到青少年期(12周)和中年期(39周)时,情况发生了剧变。
与自然受孕小鼠相比,试管小鼠卵巢原始卵泡和初级卵泡、次级卵泡数量都显著更少。

试管小鼠的卵泡为什么在出生后更快速度被消耗?研究者认为这是因为包裹这些种子的卵巢体细胞功能失调,无法正常唤醒和滋养卵泡发育。
卵巢内部需要胶原蛋白网络来支撑卵泡生长,随着年龄增长,这种胶原蛋白会过度沉积,导致卵巢纤维化。
研究者通过特殊染色发现,试管小鼠卵巢在12周和39周时,胶原蛋白的密度都显著高于正常小鼠。

这意味着试管小鼠卵巢土壤更早开始变硬、失去弹性,对卵泡生长产生不利影响。
研究者使用特殊蛋白质作为细胞凋亡标记,他们发现,试管小鼠卵巢中这个标志物的信号更强,这意味着有更多卵泡正在走向凋亡,也就是发生了更严重的卵泡闭锁。
卵泡生长需要充足的血液来输送氧气和营养,研究人员用CD31这个蛋白质标记微小血管,结果显示试管小鼠卵巢内CD31信号更弱。
这表明为卵巢输送养分和氧气的微血管网络变得稀疏,卵巢处于相对缺氧和营养不良的状态。
04试管甲基化vs自然甲基化DNA甲基化,你可以把它想象成基因开关,高甲基化通常会调低或关闭基因表达,而低甲基化则会调高或允许基因表达。
研究人员首先测量了小鼠卵巢在三个关键时间节点的整体甲基化水平。
结果发现,在所有时间点,试管雌鼠卵巢的DNA整体甲基化水平,都显著低于自然受孕后代。
这意味着,试管子代基因组可能处于一种更不稳定、更活跃的状态,这通常与细胞功能紊乱和衰老有关。
研究者进一步检查了6个与卵巢健康和早衰密切相关的特定基因甲基化状态。
结果发现,雌激素受体基因在胚胎期甲基化降低了,这可能导致了当时生殖细胞的异常死亡,但到了青春期和成年期,它的甲基化水平却异常升高了。
雌激素受体基因是细胞响应雌激素的关键,它在成年期的高甲基化很可能减弱了这个基因的功能,这完美解释了为什么研究中试管子代雌激素水平会下降。
脆性X智力低下基因1这个基因在12周和39周时,甲基化水平也升高了,这个基因在以往的研究中被认为是女性衰老和进入更年期的标志之一。

这两个基因的甲基化变化,直接将试管过程与观察道德卵巢早衰表现(激素下降、卵泡减少)在分子机制上联系了起来。
05试管雌鼠生育能力vs自然雌鼠生育能力上面的研究从内部层面分析了试管可能对女性卵巢功能产生影响,导致卵巢提前衰老,但这些问题会不会真的在现实中影响它们的生育力呢?
于是,研究者设计了一个最直接的测试,让这些试管雌鼠怀孕生子,看看实际情况如何?
研究者挑选了正值最佳生育年龄的试管雌鼠(12周)和自然受孕的雌鼠,它们与同一品种的健康雄性小鼠交配,确保父亲这个变量是一致的。
之后,两组小鼠妈妈被同等对待,研究人员测量了两个基本指标成功怀孕所需时间和整个孕期长度。
结果发现,两组在这点上没有差别,说明试管雌鼠基本受孕能力和妊娠过程是正常的。
但是,研究者发现试管雌鼠胚胎吸收的数量明显更多,这表现在人类身上就是早期流产、死胎。
这直接证明,试管雌鼠的卵子发育来的胚胎,其存活能力和发育潜能更差。
在允许自然分娩组,试管雌鼠生下的宝宝出生12小时候存活数量显著少于自然受孕小鼠。
这表明,即使胚胎能坚持到出生,其生命活力也可能比较弱,导致新生儿存活率降低。
研究人员没有只看一窝,而是连续让它们生了四窝,结果发现,在每一窝中,试管雌鼠平均产仔数都更低。

这说明不是偶然现象,而是持续、稳定存在的生育力下降。
这说明试管雌鼠的卵巢储备和卵子质量问题是系统性的,影响了其整个生殖寿命期的生育产出。
06或可被视为特殊子宫内环境根据试验发现,研究者提出了一个核心观点,试管技术本身,可以被视为一种特殊的子宫内环境。
这就像母亲在怀孕期间营养不良、生病或压力大可能会影响胎儿一样。
胚胎在实验室经历的早期环境(培养液、温度变化、操作过程等),也可能对正在发育的雌性胎儿卵巢进行不良编程。
在现实中,试管出生的女性已被观察到有骨骼过早老化、激素水平异常的风险。
本研究在小鼠身上看到的卵泡减少、激素紊乱、早衰相关基因异常,正是人类卵巢早衰的典型特征。
有趣的是,这种卵巢损伤的模式,与母亲肥胖、炎症等不良孕期环境对后代的影响非常相似。
这说明,试管技术可能无意中模拟了这些有害环境,共同导致了卵巢储备的过早耗竭。
07试管妈妈应该为此担忧吗?我想很多试管妈妈看了这个研究会担心,但其实没有必要。你不要把这项研究看作一份判决书,而是应该当做一份健康提示。
作为试管妈妈,我们不仅是给予孩子生命的人,现在更是最了解她潜在健康背景的健康守护者,这份知晓是我们最大的优势。
这份研究暗示了先天可能存在的脆弱性,但孩子出生后长达数十年的营养、环境、生活方式,才是决定基因如何表达、健康如何发展的主导力量。
我们为孩子做的每一份健康餐食、培养的每一个运动习惯、营造的每一个安稳睡眠,都是在为她们的生殖系统赋能和修复。
这项研究的最终目的,绝不是为了恐吓试管家庭,而是为了推动医学界和全社会,从只关注能否出生,进一步同样关注如何一生健康。
试管婴儿是不孕不育群体能够抱娃的技术手段,但它毕竟不是自然生育,肯定有其局限性,所以我们永远提倡能自然坚决不要做试管。
但是对于无法实现自然生育的群体,试管是唯一手段,学界的研究已经从能否出生,到能否健康一生,这是科研的进步,试管家庭应该为此感到欣慰。
这时候肯定有人说自然怀孕的孩子也可能早衰,为什么一定要说试管不好呢?
我后台有过无数条这样的质问。
自然怀孕出现的相关问题,就像有些人因为遗传基因、自身免疫病、偶然的环境暴露等复杂因素,天生体质较弱或中年后生病,这是生命固有的风险和多样性。
但试管导致的相关问题想提示的是,一个原本目的是帮助生育的医学过程本身,可能会像一种意外的环境暴露,或医源性的编程事件,给后代减增加一层新的、本可以避免的磨损或风险。
两者存在根本性的不同,现在试管技术的研究是为了优化这些可以干预的风险,从而让试管技术无限接近自然怀孕,但它永远无法替代自然怀孕。
所以本文的结论完整表述应该是,试管技术作为对配子和早期胚胎的一次重大干预,被发现可能在其发育的关键窗口期,对雌性后代的卵巢造成类似早衰的设定。
这种设定可能会增加其未来发生生殖衰老加速的风险,但这绝不意味着所有的试管后代都会早衰,而是提示一种此前未知的,与技术相关的潜在风险。

说到底,这项研究的目的是给所有试管家庭提个醒,研究发现有这样的风险,这意味着她们的身体需要我们更长期、更科学的眼光去留意和照顾。
这不是制造焦虑,而是传递主动权。
我们要做的,不是慌张,而是把关心变成日常更踏实的行动,并把她试管宝宝这个出生背景,默默记在家庭健康档案里。
科学的进步,就是从能生到生得好,再到生得一生健康。我们现在就正处在这条进步的路上,加油!
全文完!现在流量为王的年代,围观也是一份力量,转发就是一份担当,希望动动您发财的小手,给我点个赞,如果您能转发到微信群或朋友圈,就会让更多孕育困难的小家庭受益,谢谢您!
郑重声明
本账号发表的内容仅作为科普分享,不对所引用文献的准确性和完整性作出任何承诺和保证,亦不承担因该内容已过时、所引用资料可能的不准确或不完整等情况引起的任何责任,请相关各方在采用或者以此作为决策依据时另行核查。本账号不做任何形式的营销推广,在采取任何预防或治疗措施前,请与你的医疗保健提供者沟通。
不传小道消息和谣言
不做只为转发量而存在的公众号
永远在意真实数据和文献论证
抱娃路上,我愿意陪你一起走过最无助的岁月
——THE END——
参考文献
In Vitro Fertilization Accelerates Female Reproductive Aging Through Early Ovarian Failure. bioRxiv [Preprint]. 2025 Oct 14:2025.10.13.682153. doi: 10.1101/2025.10.13.682153.