一批曾无药可救的晚期癌症患者,如今体内肿瘤大幅缩小甚至完全清除,背后是一项名为肿瘤浸润淋巴细胞(TIL)疗法的抗癌黑科技的突破。
但是面对高昂的天价治疗费癌友们望而却步,随着细胞疗法研发的迅猛发展,中国科学家用技术革新将天价细胞疗法拉下神坛,让晚期癌症患者看到了生的希望。
TIL被喻为肿瘤细胞的“天然克星”。基于患者自体肿瘤浸润淋巴细胞开发的TIL疗法,具有肿瘤特异性靶点丰富、肿瘤趋向性好、浸润能力强和安全窗口高等优点。
近日,实体瘤细胞治疗领域传来振奋人心的好消息!我国自主研发的TILs疗法在前不久召开的第40届癌症免疫治疗学会(SITC)年会上大显身手,展示了最新临床突破成果!一例IV级脑胶质瘤患者经过单次输注TIL产品GC101,仅仅四周的时间就实现肿瘤清零,且目前无癌生存已超20个月!

图源JTTC.BMJ滚网
仅4周肿瘤全部消失,国研TIL疗法GC101使恶性脑瘤患者重获新生
2023年初,冬日的寒意尚未散去,W先生的人生却先一步被冻结。一纸诊断书让他的人生寒风刺骨——“胶质母细胞瘤,IDH野生型,WHO IV级,EGFR扩僧”。作为脑胶质瘤中恶性程度最高的类型之一,这个诊断无异于一道冷酷的“死亡宣判”。
诊即是决战。W先生没有犹豫的余地,很快接受了风险极高的脑部肿瘤切除术,试图从根源上切除这颗“定时炸弹”。术后,他严格按照标准治疗方案,经历了替莫唑胺化疗与放射治疗的漫长煎熬。然而,病魔异常顽固,影像学检查显示,病情并未得到有效控制。
希望并未就此熄灭。当听说前沿的CAR-T细胞疗法可能在实体瘤上创造奇迹时,W先生和家人仿佛抓住了救命稻草。他们毅然决定尝试,先后使用了2款针对不同靶点的CAR-T疗法,累计完成了10余次瘤内注射给药。每一次治疗,都伴随着巨大的期盼与忐忑。可惜,奇迹并未如期降临,肿瘤仍在持续恶化。
胶质母细胞瘤(GB)是最具侵袭性的原发性脑癌亚型,其特点是复发迅速。尽管目前已有多种治疗方法,但复发性GB患者的中位总生存期仅为6至10个月,这凸显了开发新型治疗策略的迫切需求。
肿瘤浸润淋巴细胞(TIL)是一种新型免疫疗法,已在实体瘤治疗中展现出良好的前景,目前正在研究其在GB中的疗效。就在山穷水尽之际,W先生的人生迎来转折,他成功入组了GC101的TIL疗法临床试验。
与之前“改造”的CAR-T不同,TIL疗法使用的是他自身肿瘤组织中的淋巴细胞,是更为“天然”的抗癌战士。
更为巧合和幸运的是,在一年前那次切除手术时,医疗团队极具远见地保留了W先生的肿瘤组织样本,并成功培养出了TIL细胞。
这些为他“量身定制”的免疫细胞,在实验室里沉睡了一年,此刻即将被唤醒,成为为他而战的“生命军团”。
当他接受TIL细胞回输治疗后,全家人都在默默祈祷。回输后仅4周,一个令所有医护人员都振奋的结果出现了:影像学检查清晰显示,他脑内肆虐的肿瘤被完全清除!疗效评估达到了医生口中最好的结果——完全缓解(CR)!
如今,距离那次决定性的治疗已经过去超过20个月。W先生早已摆脱了病床的束缚,重获新生。W先生的案例,不仅仅是一个医学上的成功个案。它刷新了复发性胶质母细胞瘤的生存纪录。更重要的是,它为“早期取材,复发后回输TIL”这一极具前瞻性的治疗策略提供了关键的临床证据!
无癌生存4年!国研TIL疗法让晚期癌症患者强势逆转人生!
子宫内膜癌是发生于子宫内膜的一组上皮性恶性肿瘤,是女性生殖系统最常见的肿瘤之一。近年来,子宫内膜癌的发病率呈现持续上升和年轻化趋势。
2021年,梁女士被确诊为IV期子宫内膜癌,肿瘤已经扩散到淋巴结、大网膜和盆腔。多次化疗无效,肿瘤标志物持续升高(肿瘤标志物CA125与CA199均超200U/mL),她成为了对常规化疗完全不敏感的“铂难治型”癌症患者。
这类患者预后极差,生存期短,常规治疗手段已无意义。
在接受当时最新的“可乐疗法”(K药联合仑伐替尼)治疗后,仍然无法有效控制病情。就在希望渺茫之际,一项创新的临床试验让她看到了曙光——GC101 TIL治疗。
令她难以置信的是,仅仅在接受TIL细胞单次回输两个多月后,检查指标就显示肿瘤病灶完全消失,达到完全缓解(CR)。如今,四年过去了,她依然健康地生活着,回归了正常工作和生活。

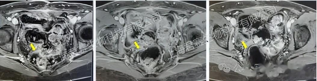
受试者接受TIL回输前、回输后6周及回输后12周影像资料(图源官网,侵删)
转移灶缩小32%,国研TILs疗法GC101在治疗黑色素瘤中显奇效!
上述提到的梁女士正是TIL疗法卓越疗效的真实例证。除了她以外,还有其他患者也受益于这款新型细胞疗法。
患者林先生(化名)确诊为肢端恶性黑色素瘤伴全身多发淋巴结转移,历经多次治疗肿瘤仍持续进展。恰逢GC101临床试验启动,他因符合PD-1抗体治疗失败、存在可取材病灶、身体状况耐受微创手术等关键入组标准,在得知这是“用自己的免疫细胞抗癌”的创新疗法后,与家人立刻决定加入GC101 TIL临床试验。
治疗团队通过微创手术获取其肿瘤组织,成功在实验室扩增出数百亿级TIL细胞。区别于传统疗法,GC101采用低强度预处理方案(环磷酰胺+羟氯喹片+信迪利单抗),无需高强度清淋化疗及回输后IL-2注射。治疗过程中林先生仅出现轻微发热且迅速恢复,无明显剧烈反应。
一周期治疗后复查显示,其体内肿瘤显著缩小31.8%,总体疗效评价达到PR(部分缓解),不仅为其带来生机,也为晚期黑色素瘤治疗开辟了新路径。
此次临床研究的再次印证了,GC101在患者体内展现了良好的安全性和令人鼓舞的疗效,不仅为黑色素瘤患者带来了新的治疗希望,也标志着中国在TIL疗法领域的领先地位!