据羊城晚报报道,河南4岁女童多多(化名)持续高烧腹痛,家长以为是普通感冒,未料24小时内病情急剧恶化,出现呼吸急促症状。检查显示,多多同时感染甲型H3N2流感病毒、金黄色葡萄球菌及流感嗜血杆菌,形成“病毒牵头、细菌跟攻”的三重感染,引发严重肺部感染及急性呼吸窘迫综合征,生命垂危。

图源:视频截图
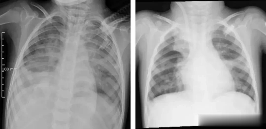
危急时刻,河南省儿童医院ECMO团队携“人工肺”跨市驰援,成功为其建立生命通道。上机一周后,经评估各项指标达标,多多顺利撤离ECMO,转入康复治疗。

图源:河南省儿童医院
(左图为ECMO上机前,肺部结构模糊,呈现“白肺”影像表现。右图为ECMO支持治疗5天后,肺部影像清晰度明显改善)
流感合并细菌感染增加重症风险
流感与其他呼吸道病原共感染的比例较高,涉及病毒、细菌、真菌等,其中流感合并细菌感染的比例在11%~35%之间。美国一项研究显示,金黄色葡萄球菌、肺炎链球菌为甲流合并细菌感染的主要致病菌。继发细菌感染是重症甲流的独立危险因素(OR=2.78;95%CI=1.11~7),病情可在短时间内快速进展。[1]
一项系统综述和META分析,通过广义线性混合效应模型估计流感患者中合并细菌感染的患病率,以及与仅流感感染相比,流感合并细菌感染导致死亡、入住ICU和需要机械通气的优势比(OR)明显升高,这是患者流感后容易出现重症的重要原因。[2]
哪些情况提示出现混合感染?
出现以下症状,应考虑是否存在呼吸道混合感染:
发热超过38.5℃,持续时间超过2天。流涕量多,呈黄绿色。咽痛剧烈,伴有吞咽困难。咳嗽剧烈,伴有咳痰、呼吸困难。耳痛或者新发耳鸣。全身症状明显,如恶心、呕吐、腹泻、肌肉酸痛等。流感合并细菌感染的早期诊断
对于流感合并细菌感染,应如何早期诊断?
1.临床表现:确诊或疑似流感患者,病初即出现严重临床表现(如重症肺炎、呼吸衰竭、低血压和持续高热)、经抗病毒治疗病情好转但又出现恶化以及经抗病毒治疗3~5天后病情仍未好转的,需考虑合并细菌感染可能;
2.病原学检测:对于可能合并细菌感染的流感患者,应在使用抗菌药物前多次送检呼吸道分泌物等样本,积极通过细菌培养、涂片镜检、肺炎链球菌尿抗原检测等方法开展病原学检测;
3.辅助检查:白细胞、中性粒细胞、C反应蛋白和降钙素原升高对鉴别细菌感染有一定帮助,但暂无统一标准,缺乏特异性。肝素结合蛋白(HBP)检测在细菌检测方面可起到一定的辅助作用。
流感合并细菌感染的治疗原则
关于流感合并细菌感染的治疗,一旦确诊,应尽早治疗。
指南推荐,确诊流感患者应尽早(48h内)进行抗病毒治疗;重症或重症高危流感患者应尽早给予经验性抗病毒治疗,而无需等待流感病原学确诊结果。重症或重症高危流感患者,指的是老年人、儿童、孕妇、肥胖人群以及有基础疾病人群。[3]
对于已继发细菌感染的流感患者,建议早期经验性使用覆盖常见病原菌的抗菌药物。[4]
但流感患者无明显合并细菌感染证据时,不推荐使用抗菌药物,必须强调合理使用抗菌药物的重要性。[5]
参考文献
[1]GargS,JainS,DawoodFS,etal.Pneumoniaamongadultshospitalizedwithlaboratory-confirmedseasonalinfluenzavirusinfection-UnitedStates,20052008.BMCInfectDis.2015;15:369.Published2015Aug26.
[2]QiaoM,etal.JGlobHealth.2023Jun16;13:04063.
[3]成人门急诊急性呼吸道感染诊治与防控专家共识.中华传染病杂志.2024;42(06)321-337.
[4]周慧,等.中华实用儿科临床杂志.2021;36(13):1033-1036.
[5]SanchesSantosRizzoZuttionM,etal.JClinInvest.2024Sep10;134(21):e180986.