家属原以为最好的结局是植物人状态,却在一个月后见证患者能稳步行走,康复科医生连称“创造了奇迹”。

病例实证:微创技术如何连破三关
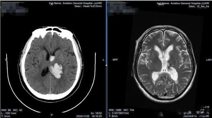
患者田某,于2024年11月25日下午4时无明显诱因突然摔倒在地,右侧肢体活动不利,小便失禁。120急救车送往北京航空总医院后,头颅CT检查提示:左侧丘脑出血,破入脑室。
面对这一危急情况,神经外四科肖庆主任团队立即启动应急方案,缩短急诊到手术室的时间。最新的《Neurocritical Care》研究显示,将脑出血患者急诊停留时间(EDLOS)从6.6小时降至4小时,死亡率可从22.9%降至9.3%。脑出血发生的一瞬间,生命的天平即刻倾斜。每延迟一分钟,190万个脑细胞就会凋亡。在神经外科领域,时间就是生命,微创就是希望。
肖庆主任迅速向家属解释病情,将脑出血治疗过程概括为“过三关”,这一临床思维框架精准指向了脑出血患者存活与康复的关键瓶颈。
第一关是出血关:发生在发病前三天。此阶段主要目标是阻止出血量继续增加,避免病情进一步恶化。田某入院后,肖庆主任团队急诊行脑室腹壁长程外引流,术后持续引流置换脑脊液,并给予尿激酶鞘内注射。这一微创干预迅速控制了颅内出血情况,避免了血肿扩大。同时,团队针对发病原因给予预防感染、止血、降压等对症治疗,严密监测血压变化,采用三种降压药物联合方案,确保血压稳定。
第二关是水肿关:大约持续10天左右。脑出血后会引起周围组织水肿,导致颅内压增高,严重时可形成脑疝,危及生命。通过持续引流置换脑脊液,有效降低了颅内压,减轻了脑水肿。肖庆主任指出:“微创引流在此阶段发挥了关键作用,避免了开颅手术可能带来的二次创伤。”
第三关是并发症关:包括脑积水、颅内感染以及长期卧床引起的坠积性肺炎等其他脏器功能损害。研究显示,幕上脑出血20ml以下患者绝对卧床时间可缩短至14天左右,不会增加再出血风险,但能显著降低并发症发生率。护理团队积极预防吸入性肺炎、坠积性肺炎和褥疮等并发症。对于行动不便的患者,勤翻身、勤检查、勤擦洗、勤按摩是预防的关键措施。

在田某的治疗中,肖庆主任团队通过微创手术减少原发性损伤,在稳定病情后鼓励早期康复干预,“多学科协作”模式确保了从急性期治疗到康复期的无缝衔接。田某入院时右上肢肌力仅2级,右下肢为0级。经过不到一个月的微创治疗和早期康复干预,左侧肢体肌力恢复至V级,右上肢肌力IV级,右下肢肌力III级。通过持续的康复训练,田某最终下地行走,活动自如,这一综合治疗方案大大改善了患者的预后。

专家观点:治病如下棋需通篇考量
“当前颅内疾病治疗的关键在于通过微创技术缩短患者卧床时间,减少多次手术创伤风险,降低颅内感染概率。”肖庆主任在科室讨论中强调。
“医疗技术不断进步,我们的理念也需要更新。”现代神经外科诊疗,是一门在不确定性中寻求最优解的科学与艺术。我们追求的,不仅仅是在手术台上展示个人技艺,而是为患者赢得整场“生命棋局”的最终胜利,让他们能够有质量、有尊严地回归生活。
这,也是我们作为医者,最高的职业追求。

仅用一根外引流管,帮助田某转危为安