DC娱乐网
书琴康康的文章
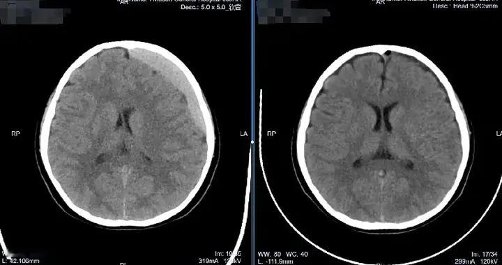
软性神经内镜精准微创,守护硬膜下血肿患儿稚嫩的“司令部”
2026-01-06 14:39
书琴康康
软性神经内镜精准微创,守护硬膜下血肿患儿稚嫩的“司令部”
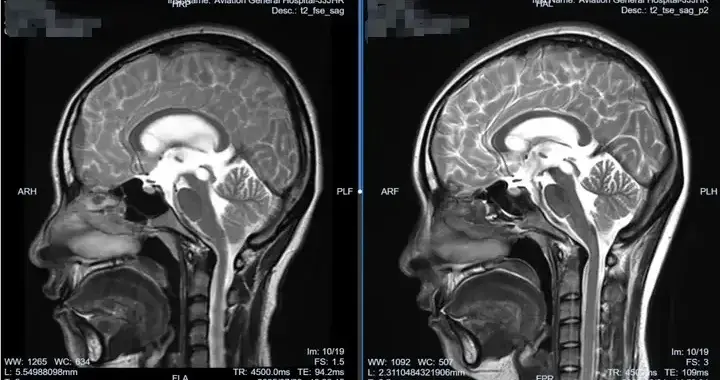
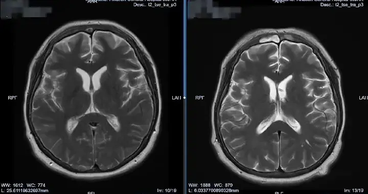
神经外四科运用软性神经内镜成功救治复杂颅内巨大囊肿脑积水婴儿
2025-12-30 15:52
书琴康康
神经外四科运用软性神经内镜成功救治复杂颅内巨大囊肿脑积水婴儿
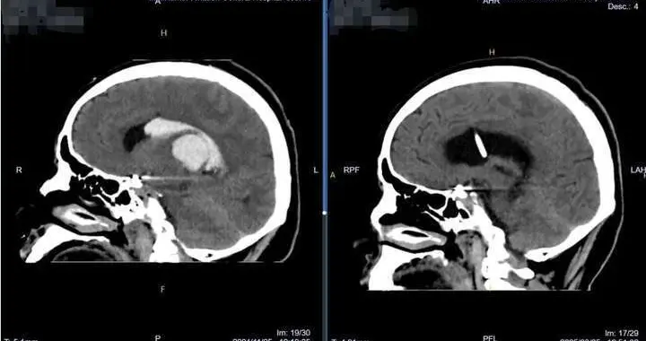
告别“开颅”之痛!一岁患儿的求医路,见证神经内镜微创奇迹
2025-12-02 15:27
书琴康康
告别“开颅”之痛!一岁患儿的求医路,见证神经内镜微创奇迹
技术与仁心并重:肖庆团队用软性神经内镜守护国际患者生命线
2025-11-25 15:43
书琴康康
技术与仁心并重:肖庆团队用软性神经内镜守护国际患者生命线
生命之战:肖庆主任精准引流技术破解真菌颅内感染困局
2025-11-18 15:43
书琴康康
生命之战:肖庆主任精准引流技术破解真菌颅内感染困局
软性神经内镜技术一次生命禁区的微创手术一条无需分流的康复之路
2025-11-13 15:39
书琴康康
软性神经内镜技术一次生命禁区的微创手术一条无需分流的康复之路
跨国生命接力!软性神经内镜成功救治蒙古国脑积水少年!
2025-11-04 15:59
书琴康康
跨国生命接力!软性神经内镜成功救治蒙古国脑积水少年!
10月大患儿脑积水微创治愈,软性神经内镜技术立大功
2025-10-28 14:29
书琴康康
10月大患儿脑积水微创治愈,软性神经内镜技术立大功
肖庆教授“脑内捉虫”:一根软镜,解决十年头痛
2025-10-21 15:40
书琴康康
肖庆教授“脑内捉虫”:一根软镜,解决十年头痛
微创“镜”技,打通脑内“交通要道”,脑积水患者重获清晰视界!
2025-10-14 15:20
书琴康康
微创“镜”技,打通脑内“交通要道”,脑积水患者重获清晰视界!
微创技术破难关,卧床时间缩最短!—肖庆主任带领团队守护脑健康
2025-09-23 14:24
书琴康康
微创技术破难关,卧床时间缩最短!—肖庆主任带领团队守护脑健康
三次手术未解的困境:肖庆用软性神经内镜为少女重建脑脊液循环
2025-09-16 15:02
书琴康康
三次手术未解的困境:肖庆用软性神经内镜为少女重建脑脊液循环
告别“分流管定时炸弹”,软性神经内镜助少年开启无管人生
2025-09-09 14:46
书琴康康
告别“分流管定时炸弹”,软性神经内镜助少年开启无管人生
微创技术破解七年顽疾,软性内镜巧除颅内囊肿
2025-09-02 14:20
书琴康康
微创技术破解七年顽疾,软性内镜巧除颅内囊肿
肖庆教授团队软性神经内镜技术成功拔除31年分流管的经典案例
2025-08-26 15:16
书琴康康
肖庆教授团队软性神经内镜技术成功拔除31年分流管的经典案例
第一页
作者信息
书琴康康
感谢大家的关注
分类: 健康
热门分类
推荐
热榜
军事
NBA
体育
社会
明星八卦
娱乐
财经
科技
汽车
历史
国际
游戏
动漫
公益
搞笑
商业
互联网
数码
国际足球
房产
家居
时尚
科学探索
职场
育儿
股票
教育
影视
情感
热点
中国军情
武器
中国南海
中国足球
亚洲杯
科比
综合体育
CBA
投资
楼市
大咖秀
外汇
创业
风口
SUV
豪车
概念车
优惠
新能源
美国
欧洲
朝日韩
俄罗斯
孕期
街拍
恋爱攻略
婚姻
正能量