DC娱乐网
颅咽管瘤的症状科普。之前我多次讲过颅咽管瘤的症状,结合这个病人再说一次...
2025-09-22 14:44:02
神外周忠清
健康
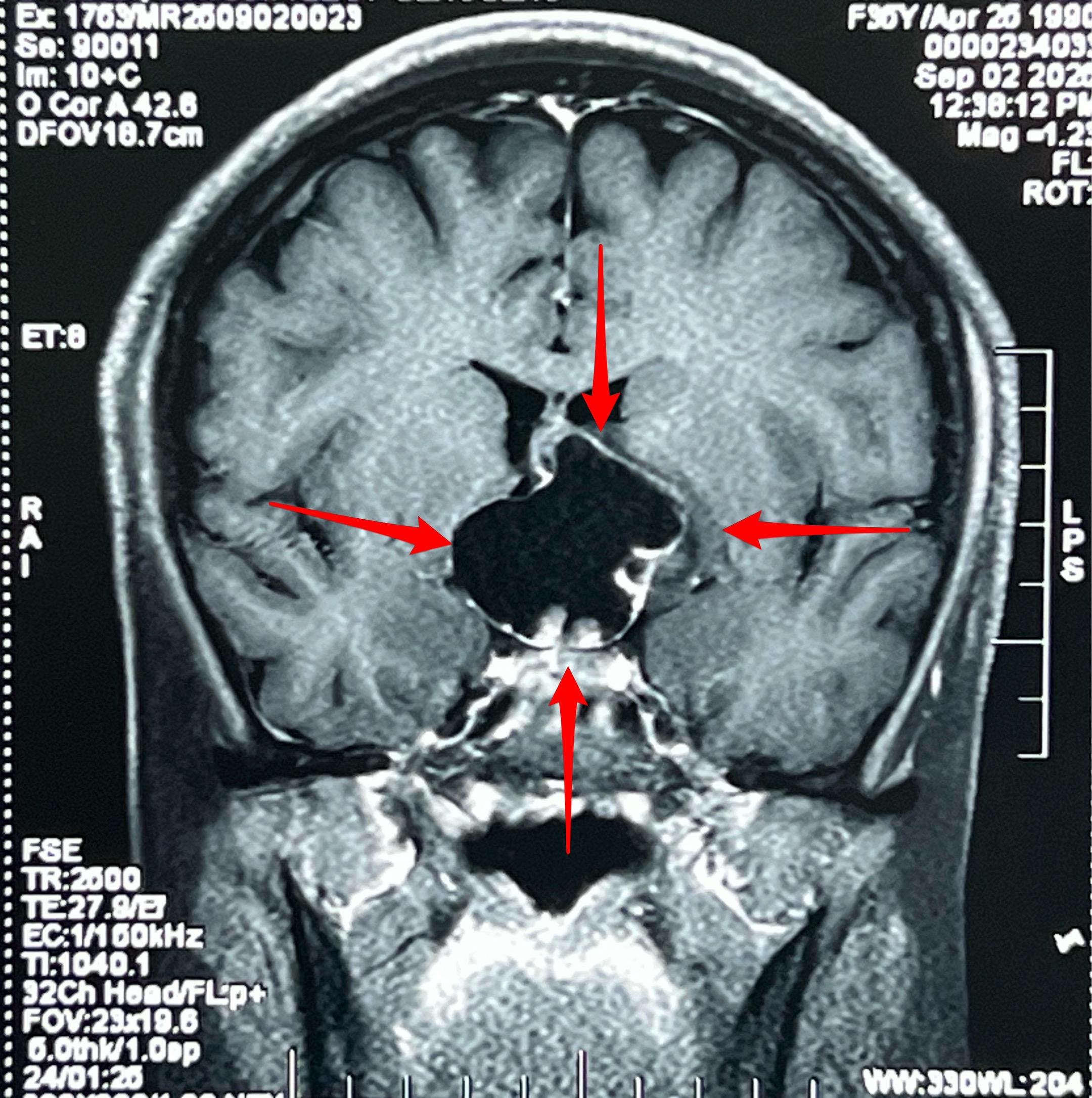
颅咽管瘤的症状科普。之前我多次讲过颅咽管瘤的症状,结合这个病人再说一次。 这个35岁女性在2025年8月发现了颅咽管瘤。 她两年前最开始出现生理周期紊乱、停经,这是下丘脑-垂体受损伤导致的内分泌系统功能障碍的表现。 一年前患者出现视力下降,越来越严重,一直到没有有效视力了才去就医,才发现这个颅咽管瘤。这是视神经-视交叉受到肿瘤压迫造成的。 在视力下降的同时病人出现长胖,体重显著增加。这也是下丘脑受损的表现。 病人在就诊
热门分类
推荐
热榜
军事
NBA
体育
社会
明星八卦
娱乐
财经
科技
汽车
历史
国际
游戏
动漫
公益
搞笑
商业
互联网
数码
国际足球
房产
家居
时尚
科学探索
职场
育儿
股票
教育
影视
情感
热点
中国军情
武器
中国南海
中国足球
亚洲杯
科比
综合体育
CBA
投资
楼市
大咖秀
外汇
创业
风口
SUV
豪车
概念车
优惠
新能源
美国
欧洲
朝日韩
俄罗斯
孕期
街拍
恋爱攻略
婚姻
正能量