DC娱乐网

神外周忠清的文章

海绵状血管瘤出血。22岁辽宁省小伙子一周前突发头痛、乏力,一周之内几乎...

海绵状血管瘤出血。22岁辽宁省小伙子一周前突发头痛、乏力,一周之内几乎...

海绵状血管瘤出血。22岁辽宁省小伙子一周前突发头痛、乏力,一周之内几乎...
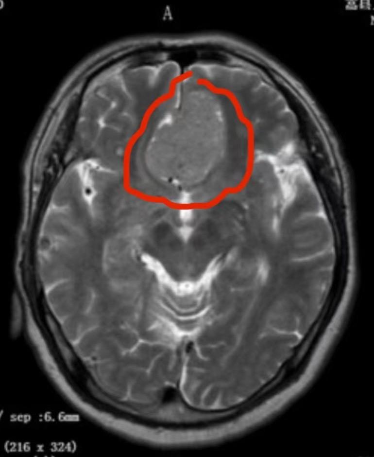
脑室内脑膜瘤也是良性肿瘤。49岁朝鲜族女性,在韩国工作,因头痛、呕吐发...

脑室内脑膜瘤也是良性肿瘤。49岁朝鲜族女性,在韩国工作,因头痛、呕吐发...

脑室内脑膜瘤也是良性肿瘤。49岁朝鲜族女性,在韩国工作,因头痛、呕吐发...
第一次经鼻手术后诊断为颅咽管瘤,可靠吗?27岁广西壮族自治区人,自幼视...

第一次经鼻手术后诊断为颅咽管瘤,可靠吗?27岁广西壮族自治区人,自幼视...

第一次经鼻手术后诊断为颅咽管瘤,可靠吗?27岁广西壮族自治区人,自幼视...
颅底脑膜瘤,彻底切除是首选治疗。59岁男性,体检发现这个肿瘤,无头痛症...

颅底脑膜瘤,彻底切除是首选治疗。59岁男性,体检发现这个肿瘤,无头痛症...

颅底脑膜瘤,彻底切除是首选治疗。59岁男性,体检发现这个肿瘤,无头痛症...
周日加班完成两台颅咽管瘤手术(第167)2025年10月26日(周日)...

周日加班完成两台颅咽管瘤手术(第167)2025年10月26日(周日)...

周日加班完成两台颅咽管瘤手术(第167)2025年10月26日(周日)...
这个是脑膜瘤吗?58岁男性,洛阳市人。今年10月份单位作体检,发现这个...

这个是脑膜瘤吗?58岁男性,洛阳市人。今年10月份单位作体检,发现这个...

这个是脑膜瘤吗?58岁男性,洛阳市人。今年10月份单位作体检,发现这个...
20岁女大学生生病三年身体虚弱如林黛玉。洛阳市女学生,三年前开始出现食...

20岁女大学生生病三年身体虚弱如林黛玉。洛阳市女学生,三年前开始出现食...

20岁女大学生生病三年身体虚弱如林黛玉。洛阳市女学生,三年前开始出现食...
脑血管畸形破裂是青少年最常见的脑出血病因。2025年7月30日,山东省...

脑血管畸形破裂是青少年最常见的脑出血病因。2025年7月30日,山东省...

脑血管畸形破裂是青少年最常见的脑出血病因。2025年7月30日,山东省...
颅咽管瘤的症状科普。之前我多次讲过颅咽管瘤的症状,结合这个病人再说一次...

颅咽管瘤的症状科普。之前我多次讲过颅咽管瘤的症状,结合这个病人再说一次...

颅咽管瘤的症状科普。之前我多次讲过颅咽管瘤的症状,结合这个病人再说一次...
脑膜瘤也会造成视力下降。66岁吉林省女性,退休后喜欢开车到处旅游,并在...

脑膜瘤也会造成视力下降。66岁吉林省女性,退休后喜欢开车到处旅游,并在...

脑膜瘤也会造成视力下降。66岁吉林省女性,退休后喜欢开车到处旅游,并在...
21岁男性身高190厘米,体重130公斤。哈儿滨的小伙子长得又高又大...

21岁男性身高190厘米,体重130公斤。哈儿滨的小伙子长得又高又大...

21岁男性身高190厘米,体重130公斤。哈儿滨的小伙子长得又高又大...
三博脑科医院新院区(北京市朝阳区东坝南站 年底即将搬入新院区。    ...

三博脑科医院新院区(北京市朝阳区东坝南站 年底即将搬入新院区。 ...

三博脑科医院新院区(北京市朝阳区东坝南站 年底即将搬入新院区。 ...
常规一天两个颅咽管瘤手术。今日两个颅咽管瘤手术。         上午...

常规一天两个颅咽管瘤手术。今日两个颅咽管瘤手术。 上午...

常规一天两个颅咽管瘤手术。今日两个颅咽管瘤手术。 上午...
北京-第三届全国神经外科继续教育大会。2025.8.29-8.31  ...

北京-第三届全国神经外科继续教育大会。2025.8.29-8.31 ...

北京-第三届全国神经外科继续教育大会。2025.8.29-8.31 ...
12岁男孩子,视力差、身高增长缓慢。12岁男孩子,视力下降、身高增长缓...

12岁男孩子,视力差、身高增长缓慢。12岁男孩子,视力下降、身高增长缓...

12岁男孩子,视力差、身高增长缓慢。12岁男孩子,视力下降、身高增长缓...
因头痛检查发现脑部有三个瘤。56岁女性,黄梅县人。平时身体很好,因路滑...

因头痛检查发现脑部有三个瘤。56岁女性,黄梅县人。平时身体很好,因路滑...

因头痛检查发现脑部有三个瘤。56岁女性,黄梅县人。平时身体很好,因路滑...
藏族牧民脑肿瘤被发现时像鸡蛋一样大。青海省黄南州藏族牧民,43岁,女性...

藏族牧民脑肿瘤被发现时像鸡蛋一样大。青海省黄南州藏族牧民,43岁,女性...

藏族牧民脑肿瘤被发现时像鸡蛋一样大。青海省黄南州藏族牧民,43岁,女性...
脑部原发的淋巴瘤和血液科的淋巴瘤不一样。63岁的因头痛、右腿活动无力经...

脑部原发的淋巴瘤和血液科的淋巴瘤不一样。63岁的因头痛、右腿活动无力经...

脑部原发的淋巴瘤和血液科的淋巴瘤不一样。63岁的因头痛、右腿活动无力经...
两个月内两个垂体瘤卒中 病例 垂体瘤卒中的最明显的症状是突发视力下降...

两个月内两个垂体瘤卒中 病例 垂体瘤卒中的最明显的症状是突发视力下降...

两个月内两个垂体瘤卒中 病例 垂体瘤卒中的最明显的症状是突发视力下降...
小孩子脑肿瘤中最常见的是小脑肿瘤。与大人相比,小孩子一般是不容易患上肿...

小孩子脑肿瘤中最常见的是小脑肿瘤。与大人相比,小孩子一般是不容易患上肿...

小孩子脑肿瘤中最常见的是小脑肿瘤。与大人相比,小孩子一般是不容易患上肿...