DC娱乐网
第一次经鼻手术后诊断为颅咽管瘤,可靠吗?27岁广西壮族自治区人,自幼视...
2025-11-11 13:55:55
神外周忠清
健康
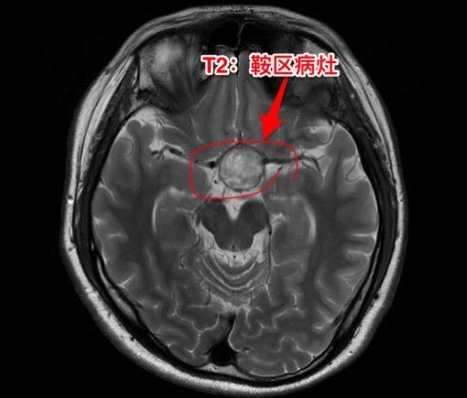
第一次经鼻手术后诊断为颅咽管瘤,可靠吗?27岁广西壮族自治区人,自幼视力不好。15个月前因多饮多尿、内分泌失调、视力下降在外院检查后诊断为颅咽管瘤,并作了经鼻内镜手术。取出一部分肿瘤内容物,病理报告为“角化物”。出院时诊断为“颅咽管瘤”。 一个月前患者又感视力下降,复查磁共振显示鞍区颅咽管瘤复发了,来找我作手术。头CT和磁共振见图。DWi显示肿瘤内容物呈白色,弥散受限,说明这不是颅咽管瘤。 手术中(我们采用开颅手术)看见肿瘤内容物为脱落角化上皮,其中未见毛发。将病灶囊皮及内
热门分类
推荐
热榜
军事
NBA
体育
社会
明星八卦
娱乐
财经
科技
汽车
历史
国际
游戏
动漫
公益
搞笑
商业
互联网
数码
国际足球
房产
家居
时尚
科学探索
职场
育儿
股票
教育
影视
情感
热点
中国军情
武器
中国南海
中国足球
亚洲杯
科比
综合体育
CBA
投资
楼市
大咖秀
外汇
创业
风口
SUV
豪车
概念车
优惠
新能源
美国
欧洲
朝日韩
俄罗斯
孕期
街拍
恋爱攻略
婚姻
正能量