DC娱乐网
海绵状血管瘤出血。22岁辽宁省小伙子一周前突发头痛、乏力,一周之内几乎...
2025-11-18 13:58:25
神外周忠清
健康
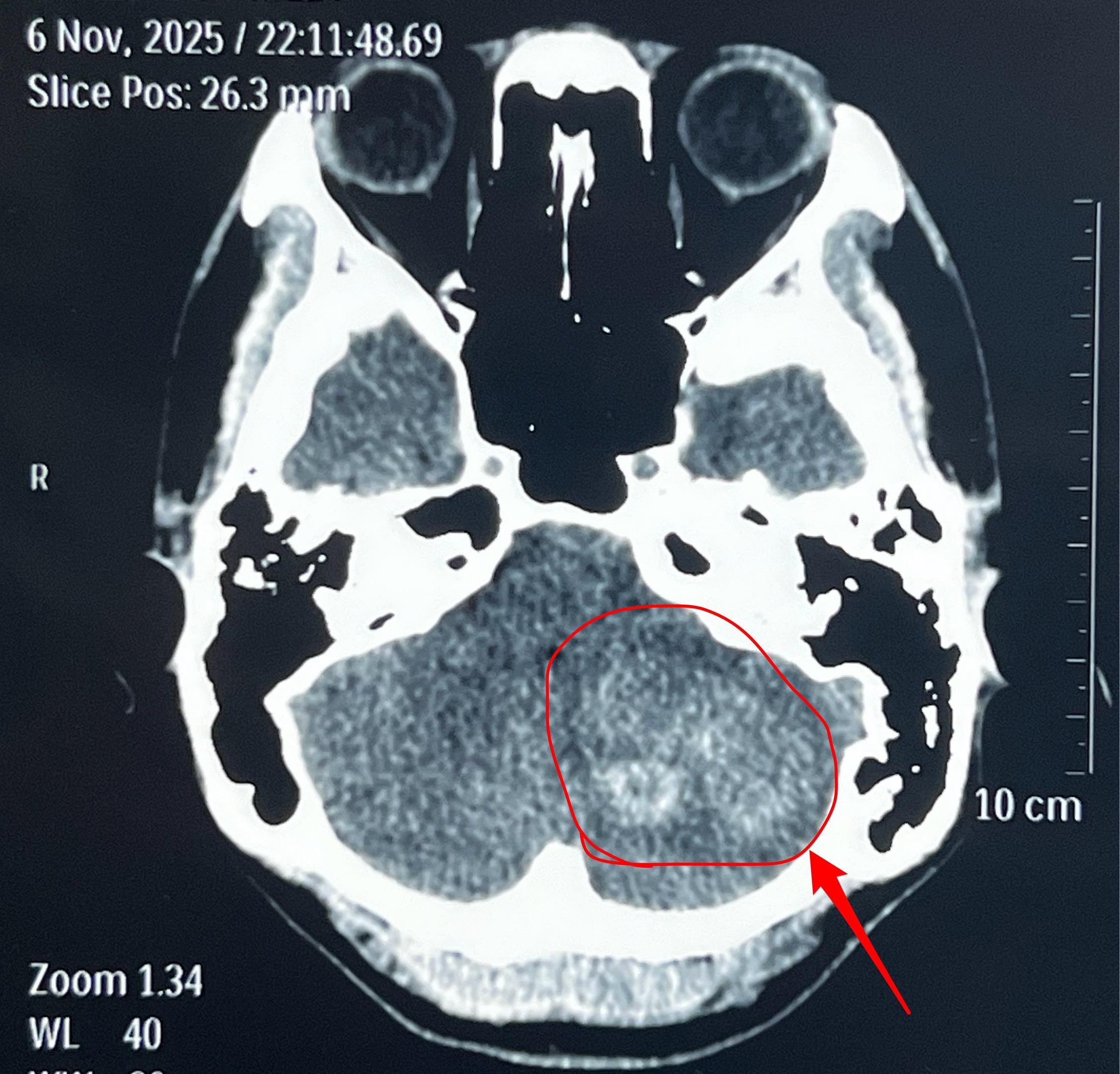
海绵状血管瘤出血。22岁辽宁省小伙子一周前突发头痛、乏力,一周之内几乎是昏昏沉沉、卧床不起。 CT和磁共振显示左侧小脑有陈旧出血。 11月16日作了手术,将病灶完全切除。术中显示病灶是海绵状血管瘤出血。 脑部海绵状血管瘤是先天性血管畸形的一种。如果出血了可能会造成头痛、癫痫发作、偏瘫等症状,需要作手术切除。如果不出血则对病人不造成危害,就不用作手术切除。海绵状血管瘤
热门分类
推荐
热榜
军事
NBA
体育
社会
明星八卦
娱乐
财经
科技
汽车
历史
国际
游戏
动漫
公益
搞笑
商业
互联网
数码
国际足球
房产
家居
时尚
科学探索
职场
育儿
股票
教育
影视
情感
热点
中国军情
武器
中国南海
中国足球
亚洲杯
科比
综合体育
CBA
投资
楼市
大咖秀
外汇
创业
风口
SUV
豪车
概念车
优惠
新能源
美国
欧洲
朝日韩
俄罗斯
孕期
街拍
恋爱攻略
婚姻
正能量