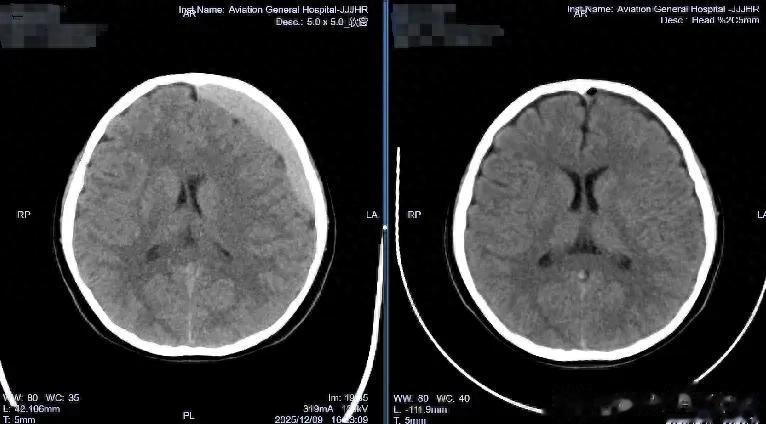
神经外四科门诊室内,父母带着9岁的山东患儿航航(化名)前来就诊。航航正深受额部剧烈胀痛的困扰,这种症状在近三个月内反复发作,常因剧烈运动诱发,虽经常规药物治疗,却始终未能根除。最新的核磁共振(MRI)检查结果显示:左侧额颞顶硬膜下血肿较前有所加重,这一明确的诊断令人揪心。
硬膜下血肿,这个在神经外科并不陌生的诊断,发生在儿童身上时,总是牵动着医生和家属最敏感的神经。这是一种血液积聚在硬脑膜与蛛网膜之间潜在腔隙的疾病,可分为急性、亚急性和慢性。航航所患的正是“亚急性非创伤性硬膜下血肿”,血肿持续存在并缓慢增大,对大脑造成压迫。如同给大脑这个精密的“司令部”裹上了一层不断增厚的“湿棉被”,若不及时解除,可能导致神经功能缺损、癫痫甚至更严重的后果。
面对这种情况,治疗的核心目标是明确的:安全、彻底地清除血肿,解除对脑组织的压迫,并恢复正常的脑灌注。传统上,针对此类有症状且持续进展的血肿,经典的“开颅血肿清除术”是主流方案之一。然而,对于家属而言,“开颅”二字意味着较大的手术创伤、较长的恢复期以及不可避免的心理恐惧。

微创时代的技术革新:从“大刀阔斧”到“钥匙孔”手术
经过我院肖庆主任团队对航航病情的全面评估,患儿的持续头痛是脑组织受压的明确信号,必须干预。血肿的体积、密度和占位效应,决定了治疗的紧迫性。肖庆主任决定摒弃传统的开颅路径,为其实施更为先进的 “软性神经内镜下脑内血肿引流术”。

2025年12月11日,手术如期进行。与人们想象中大开大合的场景不同,肖庆主任仅在航航头部左侧中线旁开一个仅3厘米的微小切口。通过一个精细的颅骨骨孔,我们将软性神经内镜—一根纤细、柔软、带有高清摄像头的“电子眼”——轻柔地导入血肿腔内。
内镜视野下,情况一目了然:血肿腔内充满浓稠的“酱油色”液体,硬膜内表面毛糙,并可见大量增生的微小血管和絮状渗出物,这正是血肿难以自行吸收、反复刺激的结果。借助内镜的直视引导,使用温盐水进行持续、轻柔的冲洗,总量达2000毫升,直至冲洗液变得清亮,所有可见的陈旧凝血块均被彻底清除。手术全程对正常脑组织的牵拉和干扰降至最低。
术后第一天复查,压迫大脑的血肿已基本消失。术后仅留置引流管两天,航航头痛症状完全缓解,便顺利拔管,住院第九天,这个活泼的男孩精神状态良好,饮食、活动如常,头部切口愈合完美,顺利出院。

为什么软性神经内镜是更优选择?
航航的成功治疗,并非孤例。它集中体现了微创神经内镜技术在处理颅内出血性疾病,尤其是儿童病例中的巨大优势。相较于传统开颅手术,其优势体现在多个维度:
1. 极致微创,最大化保护脑功能:手术仅需一个骨孔,避免了传统开颅手术中切开、翻转大骨瓣对头皮、肌肉和颅骨的巨大损伤。内镜在血肿腔内的操作是“直视下”进行的,能够精确区分血肿与正常脑组织,最大程度地保护了儿童仍在发育中的珍贵脑组织及重要的神经、血管结构。
2. 视野清晰,清除彻底:软性内镜可自由弯曲,能无死角地探查血肿腔的各个角落(如大脑镰旁等传统手术盲区),确保血肿及其衍生的纤维分隔、包膜得到充分处理,这显著降低了术后血肿复发的风险。
3. 恢复迅速,缩短病程:微创手术极大地减轻了患儿的生理创伤和应激反应。对于小儿颅内血肿,微创穿刺引流术在达到相同清除效果的同时,能显著减少术中出血、缩短住院时间。航航从手术到出院仅用9天,便是明证。

选择背后的深思:我们如何为每位患儿决策?
在为航航制定治疗方案时,我们严格遵守个体化原则。并非所有硬膜下血肿都需要立即手术,也并非所有手术都适合内镜。我们的决策基于对以下因素的综合权衡:
*患儿的神经功能状态:这是最重要的指征。航航的持续头痛是脑组织受压的明确信号,必须干预。
*血肿的影像学特征:血肿的体积、密度、是否存在多房分隔或占位效应,决定了治疗的紧迫性和方式。
*病因与进展风险:明确血肿原因(如创伤、血管异常等),评估其继续增大或再出血的风险。
*技术可行性评估:通过高分辨率影像,预判内镜操作的路径和可能遇到的困难。

出院不是终点,而是健康管理的新起点
儿童颅内手术后的康复管理同样至关重要。我们嘱咐家属:
*密切观察有无新发头痛、呕吐、嗜睡或发热等情况。
*术后一月内避免头部剧烈摇晃、奔跑跳跃及快速起蹲,防止颅内压力波动。
*保持伤口清洁,定期门诊复查,通常在术后一个月需复查头颅CT,以确认恢复情况。
我们始终认为,理想的治疗方案,是在力求安全的前提下,最大程度减少患儿生理和心理创伤的治疗选择。每一次手术的成功,都让我们对生命怀有更深的敬畏。我院神经外四科将继续秉持“精准、微创、个体化”的诊疗理念,致力于将先进的神经内镜技术应用于包括儿童在内的各类复杂脑血管及脑肿瘤疾病的诊治中,以微创技术助力患儿健康成长,守护他们的美好未来。