看着病床上熟睡的女儿,瑶瑶父母紧握的拳终于缓缓松开,眼中泛起欣慰的泪光——这段长达半年的艰难求医路,终于在北京航空总医院神经外四科画上了圆满句号。

病情反复
瑶瑶的父母第一次察觉到不对劲是在今年四月。这个刚满一岁的陕西咸阳女婴,右眼开始不自主地向鼻侧偏斜。当地医院检查结果显示“双侧硬膜下积液、蛛网膜囊肿”,但常规的甘露醇治疗毫无效果。
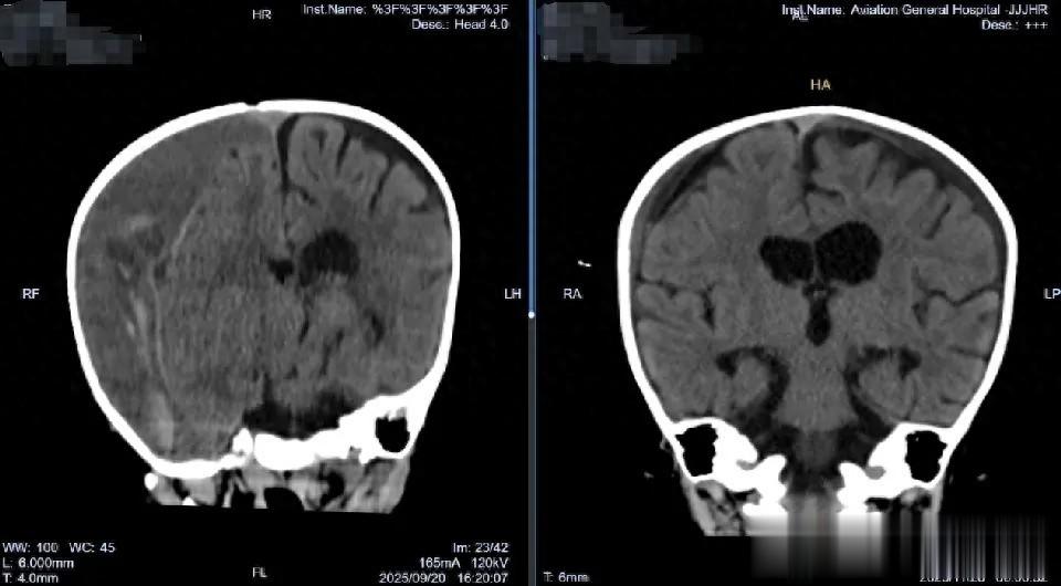
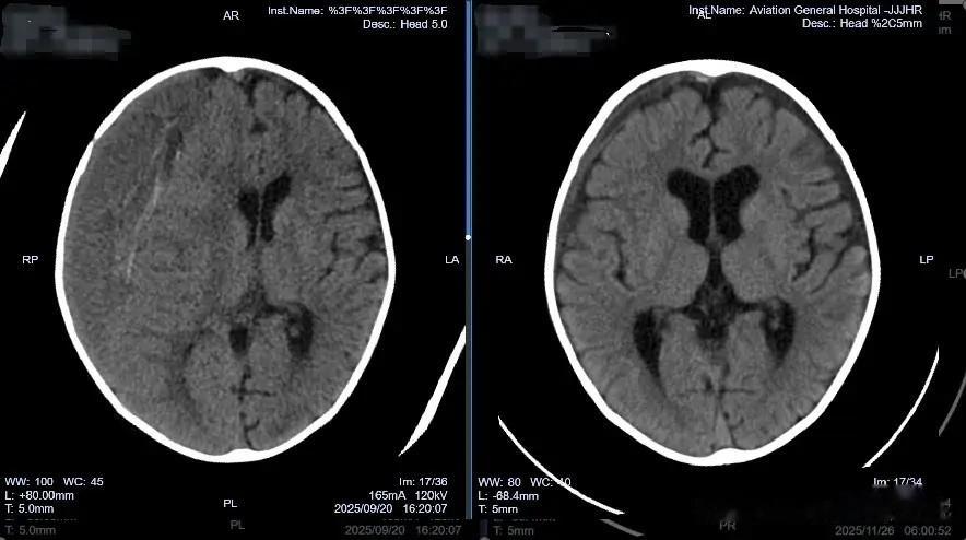
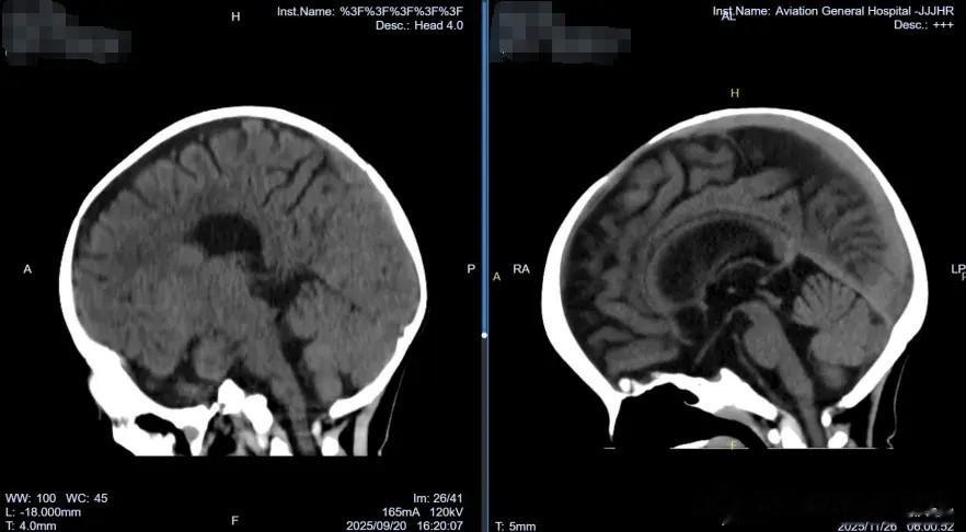
随后的日子里,这个年幼的孩子经历了双侧硬膜下引流、Ommaya囊植入定期穿刺、因金黄色葡萄球菌感染而进行的脑室外引流......一次次治疗,一次次复发,又一次次加重,左侧硬膜下积液还未完全好转,右侧硬膜下积液内部又出现分隔样改变,这种分隔意味着积液被分割在多个互不相通的“小房间”里,常规穿刺引流难以全面清除,病魔如同建立起顽固的壁垒,让传统治疗方法束手无策。

治疗难点
婴幼儿复杂性硬膜下积液的治疗一直是小儿神经外科领域的难题。当积液转为慢性、形成分隔结构时,治疗难度更是显著增加。
传统治疗方法如反复穿刺、常规引流术或Ommaya囊植入,往往只能排空其中一个腔室,难以彻底清除全部分隔内的积液。而对于已经发生感染的病例,任何颅内植入装置(包括分流管)都可能成为新的感染源,形成“治疗-感染-再治疗”的恶性循环。
瑶瑶的病例汇集了所有这些难点:慢性硬膜下血肿、分隔形成、中枢神经系统感染史以及幼儿患者的生理特殊性。她需要一个既能彻底解决问题,又能最大限度降低创伤和感染风险的治疗方案。

技术破局
面对瑶瑶复杂的病情,北京航空总医院内镜微创神经外科肖庆主任团队决定采用软性神经内镜技术进行治疗。这一技术目前已成为神经外科治疗脑室脑池疾病的新航标。
2025年9月底,瑶瑶接受了全麻下的神经内镜检查术+硬膜下-腹壁长程外引流术。通过一个半径仅5mm的微小骨孔,医生将神经内镜置入硬膜下腔。在内镜直视下,手术团队清晰地看到了黄褐色粘稠积液及多房性纤维分隔。他们使用微型器械精细打通所有分隔,并以温生理盐水反复冲洗每个腔隙,直至引流液变得清亮。
与传统的开颅手术相比,神经内镜技术创伤极小,避免了大脑皮层的过度牵拉。更重要的是,它提供了直视下操作的条件,确保所有分隔腔隙都得到了充分处理。

术后恢复
手术成功后,瑶瑶的治疗进入了新阶段。术后,她接受了抗感染、营养神经、改善脑循环等综合治疗。
通过放置在腹壁外的引流管,医疗团队每天监测引流情况,并逐步调整引流瓶高度,促进大脑自然复位。这一外引流设计避免了在感染风险期植入永久性分流装置。经过近两个月的恢复,2025年11月底,瑶瑶再次接受手术,移除了硬膜下-腹腔分流管。次日复查头颅CT显示:双侧硬膜下仅残留少量低密度影,脑组织复位良好,中线结构居中。
出院时,瑶瑶活泼开朗,四肢肌力正常。双侧瞳孔等大等圆,对光反射灵敏,困扰她半年之久的斜视问题得到了明显改善。

专家团队
北京航空总医院神经外四科作为国内最早开展软性神经内镜技术的中心之一,在神经系统脑脊液疾病微创治疗方面积累了丰富经验。科室团队在肖庆主任带领下,已成功开展上千例婴幼儿神经内镜手术,涵盖脑积水、蛛网膜囊肿、脑出血、脑室肿瘤等多种疾病,取得了良好的治疗效果。

科室带头人肖庆主任是中国医师协会神经内镜专业委员会的资深专家,尤其擅长软性神经内镜技术治疗婴幼儿脑积水、颅内囊肿等疾病。他提出的“个体化、微创化、生理化”治疗理念,在业内广受认可。
肖庆主任表示:“对于瑶瑶这类复杂性分隔性硬膜下血肿,神经内镜提供了一个理想的解决方案。它既解决了分隔问题,又最大程度保护了发育中的大脑。”
瑶瑶出院那天,北京刚迎来冬天的第一波降温。外婆为她换上一身漂亮的新衣服,母亲则反复查看出院医嘱上肖庆主任的门诊时间。“一个月、三个月、半年、一年”——这些时间将被标记在家庭日历最显眼的位置,成为这个家庭未来一年复查路上的坐标。
延伸阅读:
婴幼儿复杂性硬膜下积液是一种较为严重的神经系统疾病,通常指在婴幼儿时期出现的硬膜下积液伴有多种并发症或难以通过常规方法治疗的情况。
临床表现
颅内压增高症状:前囟膨隆、头皮静脉怒张、呕吐、烦躁不安、嗜睡甚至昏迷。神经功能障碍:可能出现肢体偏瘫、抽搐、视力障碍、听力下降等,严重时影响智力发育。发育迟缓:长期积液可能导致脑组织受压,影响婴幼儿的运动、语言、认知等发育。
软性神经内镜,从结构上像电脑的电源线,直径在4毫米左右,但是它柔软、纤细、光滑,所以在神经外科,特别是在脑室脑池外科领域更有它特殊的优势。因为我们脑室的形态不规则,脑室里要转几道弯,所以软镜可以灵活的通过手柄控制它的方向,到达脑室的各个角落。软性神经内镜技术以其微创、高效的特点,成为了新的治疗选择。这项技术能够减少手术创伤,缩短恢复时间,提高生活质量,为患儿及其家庭带来了更多的希望和信心。