在神经外科领域,鞍上池囊肿引发的梗阻性脑积水一直是一个易被“忽视”的疾病。传统治疗方法常依赖脑室 - 腹腔分流术,但该方法存在诸多并发症,如分流管堵塞、感染、过度引流等。如今,随着软性神经内镜技术的不断发展,这一难题早就有了新的解决方案。本文将通过一个真实病例,展示软性神经内镜治疗鞍上池囊肿引发的梗阻性脑积水的显著疗效。

一场夜间抽搐揭开病因迷团
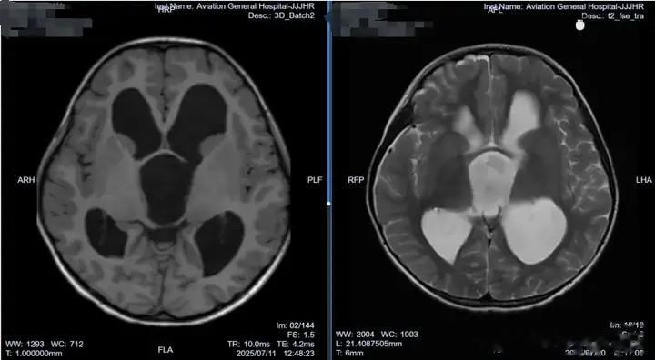
2024年6月,3岁的小妍(化名)在睡眠中突发全身抽搐,表现为颜面部肌肉及肢体节律性痉挛式抖动,呼之不应,持续时间约 8-9 分钟。紧急送往当地医院后,测体温 38.3℃,被考虑为 “高热惊厥”,给予镇静、退热治疗。随后的头颅 CT 及 MRI 检查发现脑室系统明显扩张,当地医院建议行脑室腹腔分流术,但小妍父母因担忧终生带管风险选择保守观察。2025年4月,小妍再次出现类似抽搐症状,复查显示脑积水持续存在。小妍父母了解到北京航空总医院的肖庆教授是治疗脑积水等相关疾病的专家,慕名前往北京求医。

精准诊断:被忽视的“真凶”-鞍上池囊肿
肖庆主任详细查看小妍的影像资料后指出,这并非普通的脑积水,而是由于鞍上池囊肿堵塞了脑脊液循环通路所致。鞍上池位于颅内脑脊液循环的关键通路附近,当囊肿增大时,可能直接压迫或阻塞脑脊液的正常循环通道,导致脑脊液无法顺利从脑室系统流向蛛网膜下腔被吸收,从而形成梗阻性脑积水。如果直接进行脑室 - 腹腔分流手术,而忽略了鞍上池囊肿占位的情况,会使原本的制约关系失去平衡,脑室压力降低的同时,可能导致蛛网膜囊肿加剧扩张,往后处理会越来越棘手,还增加了分流术后的并发症风险。
肖庆主任建议采用软性神经内镜手术来解决囊肿问题。软性神经内镜手术具有创伤小、视野清晰、可灵活到达病变部位等优势,骨孔直径不到 1cm。在完善脑电图等检查后,于既定手术日,肖庆主任团队为小妍在全麻下行神经内镜检查术 + 脑室 - 囊肿 - 基底池造瘘术,术后病情平稳,复查MRI显示:脑室回缩、囊肿塌陷,于术后一周好转出院。

技术亮点:1cm骨孔下的生命通道重建
软性神经内镜技术在治疗鞍上池囊肿引发的梗阻性脑积水方面具有显著优势。首先,它能够通过一个微小的骨孔,灵活地到达颅内各个部位,对囊肿进行精准的探查和处理。在手术过程中,医生可以清晰地观察到囊肿的位置、大小以及与周围脑组织和脑脊液循环通路的关系,从而制定个性化的治疗方案。

其次,软性神经内镜手术不仅可以切除囊肿壁,还可以通过造瘘术将囊肿与脑室或脑池相通,重建脑脊液的正常循环通路。这种手术方式不仅能够有效解除囊肿对脑脊液循环的阻塞,还能避免传统分流术可能出现的并发症,如分流管堵塞、感染等。此外,软性神经内镜手术还可以结合其他技术,如脉络丛烧灼术,进一步减少脑脊液的分泌,提高治疗效果。

家长感言与专家建议
"肖教授用一根细镜解决了大问题,孩子现在跑跳如常!"小妍父母感慨道。肖庆教授指出: "约30%的'不明原因脑积水实为鞍区囊肿压迫所致,精准诊断+微创干预可改变患儿一生。"

根据文献报道,软性神经内镜手术治疗鞍上池囊肿引发的梗阻性脑积水,术后复发率低于传统开颅手术。而且,由于手术创伤小,患者恢复快,术后生活质量显著提高。小妍的案例也充分证明了这一点,她术后无需终生携带分流管,避免了分流术后的各种并发症风险,实现了生理性治愈。软性神经内镜手术以其微创、精准、安全等优势,正在成为治疗此类疾病的新趋势。未来,随着技术的不断进步和应用的推广,相信会有更多患者受益于这一先进的治疗技术,摆脱脑积水的困扰,重获健康生活。
参考文献
1. Smith ER, et al. *J Neurosurg Pediatr*. 2023;31(2):123-131.
2. Chen HC, et al. *Neurosurgery*. 2021;88(3):E250-E258.
3. Wang L, et al. *Epilepsia*. 2020;61(5):e49-e54.
4. Kulkarni AV, et al. *J Neurosurg*. 2019;130(4):1301-1308.
5. Schroeder HWS. *Childs Nerv Syst*. 2022;38(5):879-887.
评论列表