DC娱乐网

刘喜庆好消化的文章

腰骶部臀部疼痛也有可能是结肠癌!65岁的患者反复腰骶部臀部疼痛,三四个...

腰骶部臀部疼痛也有可能是结肠癌!65岁的患者反复腰骶部臀部疼痛,三四个...

腰骶部臀部疼痛也有可能是结肠癌!65岁的患者反复腰骶部臀部疼痛,三四个...
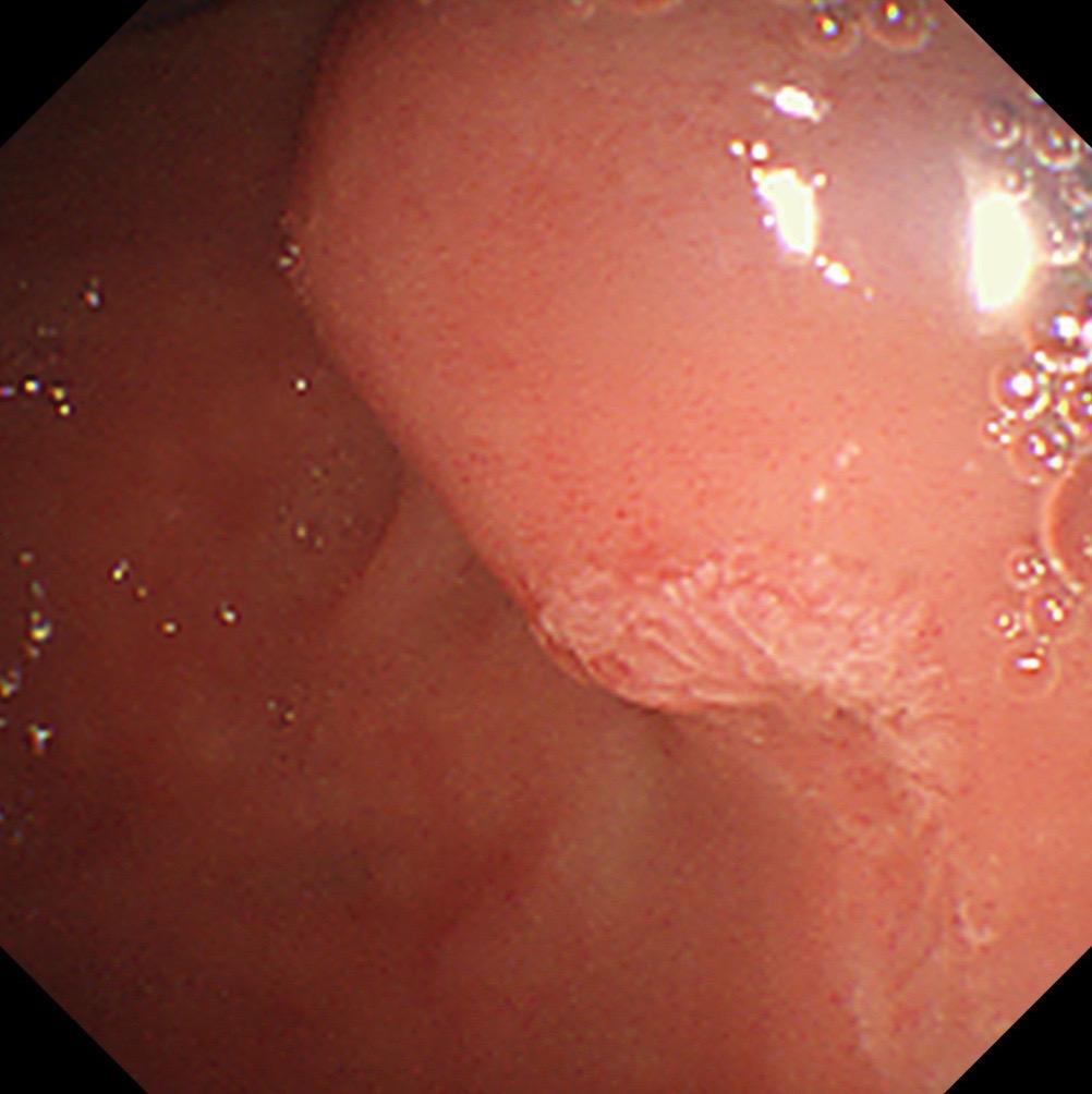
【精于术,简于形】 一例胃角间质瘤内镜下全层切除。 肿瘤虽小(2cm)...

【精于术,简于形】 一例胃角间质瘤内镜下全层切除。 肿瘤虽小(2cm)...

【精于术,简于形】 一例胃角间质瘤内镜下全层切除。 肿瘤虽小(2cm)...
胃上切个5厘米的大洞,一周后竟然长这样!近期2个5厘米的大间质瘤,胃镜...

胃上切个5厘米的大洞,一周后竟然长这样!近期2个5厘米的大间质瘤,胃镜...

胃上切个5厘米的大洞,一周后竟然长这样!近期2个5厘米的大间质瘤,胃镜...
取枣核发现个早癌!这个枣核虽然代价有点大,但能够发现早癌并完整切除也值了!

取枣核发现个早癌!这个枣核虽然代价有点大,但能够发现早癌并完整切除也值了!

取枣核发现个早癌!这个枣核虽然代价有点大,但能够发现早癌并完整切除也值了!
ERCP后钛夹缝合保护括约肌功能!周六一个患者来咨询能不能做不切胆道括...

ERCP后钛夹缝合保护括约肌功能!周六一个患者来咨询能不能做不切胆道括...

ERCP后钛夹缝合保护括约肌功能!周六一个患者来咨询能不能做不切胆道括...
给一个带营养管3年老爷子换管的感触。这是一个脑卒中多年的老爷子,老爷子...

给一个带营养管3年老爷子换管的感触。这是一个脑卒中多年的老爷子,老爷子...

给一个带营养管3年老爷子换管的感触。这是一个脑卒中多年的老爷子,老爷子...
你性命相托,我必全力以赴。感谢信任!86岁,反复消化道出血1年多,血色...

你性命相托,我必全力以赴。感谢信任!86岁,反复消化道出血1年多,血色...

你性命相托,我必全力以赴。感谢信任!86岁,反复消化道出血1年多,血色...
“手术领航专家”倍感荣幸,更觉责任在肩!感谢我们的平台、感谢我们团队...

“手术领航专家”倍感荣幸,更觉责任在肩!感谢我们的平台、感谢我们团队...

“手术领航专家”倍感荣幸,更觉责任在肩!感谢我们的平台、感谢我们团队...
周日急诊为患者解决胆结石引起的胆绞痛!胆管结石嵌顿的疼痛有多痛?!疼痛...

周日急诊为患者解决胆结石引起的胆绞痛!胆管结石嵌顿的疼痛有多痛?!疼痛...

周日急诊为患者解决胆结石引起的胆绞痛!胆管结石嵌顿的疼痛有多痛?!疼痛...
凌晨的急诊止血!乙肝没有系统正规治疗,消化道大出血急诊来院,大量输血...

凌晨的急诊止血!乙肝没有系统正规治疗,消化道大出血急诊来院,大量输血...

凌晨的急诊止血!乙肝没有系统正规治疗,消化道大出血急诊来院,大量输血...
食管支架能够解决一些问题,不一定是优选!食管占位狭窄患者无法进食,拒绝...

食管支架能够解决一些问题,不一定是优选!食管占位狭窄患者无法进食,拒绝...

食管支架能够解决一些问题,不一定是优选!食管占位狭窄患者无法进食,拒绝...
【“精”益求精,让早癌无处藏身】【“精”益求精,让早癌无处藏身】 这一...

【“精”益求精,让早癌无处藏身】【“精”益求精,让早癌无处藏身】 这一...

【“精”益求精,让早癌无处藏身】【“精”益求精,让早癌无处藏身】 这一...
世界肠道日义诊。“最易预防”的结直肠癌,需要最及时的重视!我们力量有限...

世界肠道日义诊。“最易预防”的结直肠癌,需要最及时的重视!我们力量有限...

世界肠道日义诊。“最易预防”的结直肠癌,需要最及时的重视!我们力量有限...
并不是所有的息肉都适合门诊切的,请不要和医生犟!

并不是所有的息肉都适合门诊切的,请不要和医生犟!

并不是所有的息肉都适合门诊切的,请不要和医生犟!
老年人吞咽不畅必有妖!老年人被鲍鱼卡住,做胃镜之前就怀疑是不好的病,胃...

老年人吞咽不畅必有妖!老年人被鲍鱼卡住,做胃镜之前就怀疑是不好的病,胃...

老年人吞咽不畅必有妖!老年人被鲍鱼卡住,做胃镜之前就怀疑是不好的病,胃...
内镜医生最有成就感的事?发现早癌!这个月做了三十台四级手术,一些疑难杂...

内镜医生最有成就感的事?发现早癌!这个月做了三十台四级手术,一些疑难杂...

内镜医生最有成就感的事?发现早癌!这个月做了三十台四级手术,一些疑难杂...
地狱级间质瘤切除!胃角大部分胃壁外生长 近4CM的间质瘤,难切也难缝...

地狱级间质瘤切除!胃角大部分胃壁外生长 近4CM的间质瘤,难切也难缝...

地狱级间质瘤切除!胃角大部分胃壁外生长 近4CM的间质瘤,难切也难缝...
2024年以一个早癌荣誉圆满结束!内镜医生最有成就感最有意义的事就是发现早癌!

2024年以一个早癌荣誉圆满结束!内镜医生最有成就感最有意义的事就是发现早癌!

2024年以一个早癌荣誉圆满结束!内镜医生最有成就感最有意义的事就是发现早癌!
急诊床旁ERCP.83岁,胃大部分切除,胆管结石感染性休克,床旁无射线...

急诊床旁ERCP.83岁,胃大部分切除,胆管结石感染性休克,床旁无射线...

急诊床旁ERCP.83岁,胃大部分切除,胆管结石感染性休克,床旁无射线...
两三岁的小朋友取消化道异物到底麻醉不?个人建议能不麻醉尽量不麻醉!取异...

两三岁的小朋友取消化道异物到底麻醉不?个人建议能不麻醉尽量不麻醉!取异...

两三岁的小朋友取消化道异物到底麻醉不?个人建议能不麻醉尽量不麻醉!取异...