“肝癌手术还不到半年,为什么这么快就转移复发了?”
这是今天的案例主人公张先生想不明白的事,也是无数肝癌患者同样恐惧的噩梦,明明熬过了手术,却又反复被复发转移绊倒。
其实这一切并不是偶然,大量研究早已对肝癌复发转移高发人群进行了点名,请各位肝癌患者看看名单之内是不是有你,并能从张先生的经验中找到阻断复发转移的破解之法。
PART01 病情概述
2024年8月,张先生因肺部感染,意外发现肝占位性病变,随后确诊为:肝细胞癌、下腔静脉恶性肿瘤、肺部感染、肺动脉栓塞、慢性乙型病毒性肝炎、肝功能不全。

此时,张先生的乙肝表面抗原>250.00 IU/ml,甲胎蛋白131.70 ng/ml ,异常凝血酶原3710.49 mAU/mL。
PET-CT显示:肝脏右叶多个低密度团块状,较大的已有93mmx64mm,SUVmax 13.1,考虑肿瘤浸润转移可能性大。
张先生的病情已经不适合手术,于是医生制定了降期方案,为他争取手术机会。
2024年8月至11月,交替进行了3次D-TACE+HAIC术和3次阿替利珠单抗+贝伐珠单抗治疗,所幸效果还不错。
2024年12月,张先生进行手术,“剖腹探查胆囊切除、肝VII+VIII段切除(含肿瘤)、肝右静脉瘤栓+下腔静脉瘤栓取出、下腔静脉部分切除术”。
张先生本以为肿瘤能够切除了,肝癌这道坎儿他就算迈过去了,但癌细胞并没有就此消停下来......
肝癌手术后,还有几道坎儿?
2025年2月,张先生复查影像学发现肝内新结节大小约为12×9mm、右肺下叶结节大小约为10×7mm。于是又做了2次HAIC术+贝伐珠单抗+阿替利珠单抗治疗。

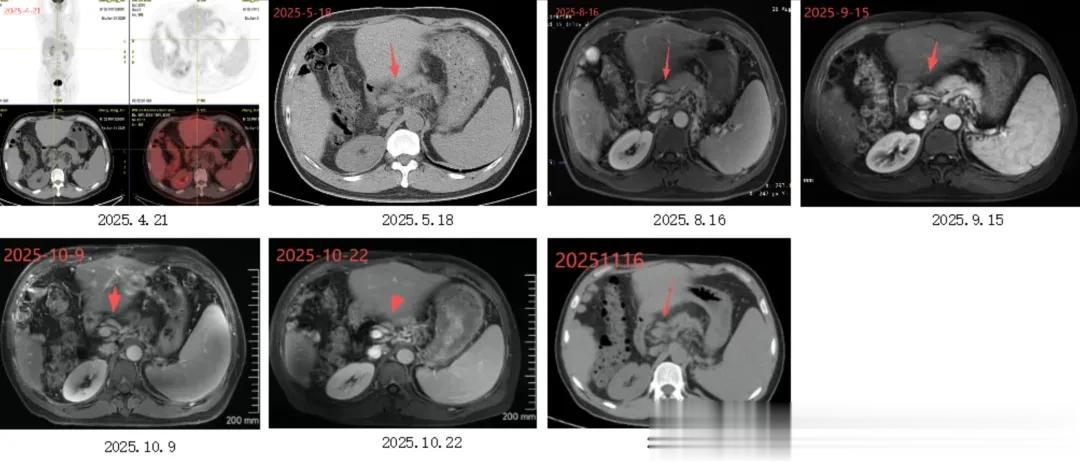
直到2025年4月,PET-CT确认:
① 术区周围多发点状代谢增高灶,大小约13mm×9.3mm;术区边缘见多个实性结节影,大小约12mm× 9mm;
② 左肺上叶结节,大小约12mm×10mm,考虑肿瘤转移可能;
③ 右侧膈上、肝门区、腹膜后区多发淋巴结,较大者位于右侧膈上,大小约30mm×6mm,其中右侧膈上淋巴结考虑肿瘤转移可能,余淋巴结肿瘤转移不能除外。
术后仅5个月,面对如此多转移复发病灶,医生只能为张先生强化了系统治疗方案,在贝伐珠单抗+阿替利珠单抗的基础上,叠加口服化疗药替吉奥。并在2025年6月做了胸腔镜肺结节切除,术后继续贝伐珠单抗+阿替利珠单抗治疗。
肝癌术后很快转移复发的,有这9个特征
① 肿瘤直径>5cm的大肝癌
医学界普遍认为,肿瘤突破5cm是一道分水岭,肿瘤越大意味着它的生物学行为越差,长径>5cm的肝癌微血管侵犯发生率为46.2%~93.4%[1],即使手术切除了也容易残留微转移灶,成为转移复发隐患。
② 术后有残余病灶
如果手术R1或R2切除,显微镜下残留或肉眼残留,那么残余病灶癌细胞可能持续增殖,导致转移复发。
③ 多发肝癌或有微卫星病灶
多个病灶意味着肝脏内存在多个独立的克隆灶,它们可能同时或先后发生侵袭,微卫星灶更是肝内转移的直接证据,手术无法彻底清除。
④ 非解剖学切除或小于1cm的窄切缘
切缘不足<1cm时,微血管侵犯或卫星灶可能未被完全切除,易残留癌细胞。
⑤ 术后病理显示微血管侵犯(MVI)
微血管侵犯是是血行转移的直接通路。
⑥ 术前存在门静脉或肝静脉癌栓
癌栓是癌细胞全身转移的跳板,门静脉癌栓可导致肝内播散,肝静脉癌栓易引发肺转移[3]。
⑦ 术前存在肝门淋巴结转移
肝门淋巴结是肝癌细胞向外扩散的第一道关卡,提示了肿瘤已经突破了肝脏包膜,进入了全身循环系统。
⑧ 肝癌自发破裂行手术切除
破裂会有癌细胞播散至腹腔的风险,急诊手术限制了根治性。
⑨ 术前甲胎蛋白升高,术后2个月内未降至正常
甲胎蛋白持续升高,术后2个月未正常说明存在活跃的肿瘤细胞,可能存在残留病灶。临床上将其视为高度怀疑肝癌复发或转移的独立危险因素。
对照这九大特征,张先生中了好几条,这也是他术后仅5个月就复发转移的重要原因。
PART02 第二诊疗建议
肝癌复发转移的高危人群,该怎么办?
张先生也意识到肝癌患者的肝脏就像贫瘠的土壤,就算拔了草(肿瘤),土里还有种子(癌细胞微转移灶),它们可能早就顺着血管跑到肝脏或其他地方,只是太小,CT看不到,发芽(复发转移)是早晚的事。

他通过各种学习,最终将解决方案锁定在了癌症第四疗法“免疫治疗”上,并联系到清华大学免疫学张明徽教授团队,于2025年7月开始vNKT细胞治疗。在完成第一阶段的4个疗程之后,随访及影像学检查显示:
▶ 肝脏及肝周病变:尾状叶及下腔静脉区域2025年11月PET-CT显示该区域病灶消失,邻近下腔静脉淋巴结未明确显示,提示治疗有效或病灶活性抑制;
▶ 肺部病变:右肺上叶术后改变,索条影稳定,无新增活性病灶;


影像表现:2025.4.21PET-CT示:肝门区淋巴结肿大;2025.5、2025.8复查同前;2025.9至2025.11复查示:肝门区淋巴结略缩小。

影像表现:2025.4.21PET-CT示:右肺上叶结节,大小约4mm,代谢不高,随访;2025.5复查示:右肺上叶结节,大小约3mm;2025.9至2025.11.16复查示:右肺上叶术后改变,可见索条影。
vNKT细胞治疗发挥非特异性和特异性识别肿瘤细胞的双重能力,非常快速地杀伤肿瘤细胞,针对残留和休眠的癌细胞进行清剿。
实验条件:有vNKT细胞存在的情况下,经过16个小时,近乎所有B16肿瘤细胞被杀死!
同时,双重抗肿瘤效应不仅能够直接杀伤癌细胞,还会调节肿瘤组织内部的免疫微环境,让癌细胞难逃免疫系统的监管,重建正常免疫秩序,将有利于肿瘤生长的内环境转变为正常免疫监视环境,长期预防复发转移。
vNKT细胞治疗作为一项全身性治疗,安全性也更高,它不同于传统化疗的“杀敌一千,自损八百”,而是将人体内本来就有的vNKT免疫细胞在体外培养扩增激活,再回输到患者体内,副作用极其微小。
PART03 结论与点评
肝癌的复发转移从来不是一场“概率游戏”,而是高危因素积累与医疗干预的博弈。张先生的经历告诉我们:正视风险,才能掌控命运,早一步识别,就多一分胜算。
当传统手段触及瓶颈时,vNKT细胞治疗这样的创新疗法,正为高危患者打开一扇窗,它不仅是“杀灭残余癌细胞”的利器,更是重建免疫防线的希望。抗癌之路没有“侥幸”,但科学的选择,能让高危变成“可控”,让绝望转为“生机”。

参考来源:
[1]中国医师协会肝癌专业委员会.肝细胞癌伴微血管侵犯诊断和治疗中国专家共识(2024版)[J]. 中华消化外科杂志,2024,23(2):153-164. DOI:10.3760/cma.j.cn115610-20240125-00041.
[2]原发性肝癌诊疗指南(2024年版)
[3]伍慧丽,等.从解剖学角度探讨原发性肝癌的转移途径,临床肝胆病杂志第33卷第10期2017年10月J Clin Hepatol,Vol.33No.10,Oct.2017 doi:10.3969/j.issn.1001-5256.2017.10.035