百年积淀、薪火赓续 | 北京协和医院神经内科作为中国神经病学领域的标杆与引领者,以攻克疑难重症、领航学术前沿、培育医学人才为使命,是国内公认的神经内科学术与临床实践高地。
为系统传承协和神经科的临床精髓,分享疑难罕见病例的诊疗思辨,传播规范精准的临床思维,《中国医学论坛报》特邀朱以诚教授、戴毅教授倾力打造「协和神经科临床病例精粹」专栏。本专栏将聚焦神经内科经典病例、疑难重症及罕见病例,还原诊疗全流程逻辑,拆解鉴别诊断要点,凝练协和专家的临床经验与学术洞见,为全国神经科医师、基层医者及医学生提供实战化、高质量的学习范本,助力中国神经病学事业高质量发展。
PART 01病例摘要
患者男性,59岁,主因“行走不稳、不自主运动8年,肢体麻木无力2年”收入神经科病房。

入院情况
患者8年前起逐渐出现行走摇晃,不自主运动,表现为甩手、晃头、叹气、拽袖子、挠痒等,不伴口周、眼周及下肢不自主运动,此后不自主运动频率增加。2年前起出现左手食指伸指无力,同期出现记忆下降、找词困难。2024年出现左手肌肉萎缩,当地完善头颅磁共振成像(MRI)见双侧尾状核头萎缩。2025年出现右侧上下肢麻木,右手著,右手无力、肌肉萎缩。2025年8月就诊我院,查血肌酸激酶3655 U/L↑;外周血涂片未见异常;遂收住入院。

既往史
2017年诊断2型糖尿病,目前恩格列净10 mg qd、诺和灵30R 24U qn,不规律监测血糖;2017年因左肾占位行左肾切除,病理示良性肿瘤;2023年车祸外伤,右肩骨折内固定术后。否认输血史。

个人家族史
父母非近亲结婚,育4男2女。其弟弟患有肌萎缩,发病10余年,50岁左右去世。

查体
神清语利,记忆力、计算力下降,简易精神状态量表(MMSE)17/30分,蒙特利尔认知评估(MoCA)21/30分,颅神经正常。
未见颚肌震颤及舌肌不自主运动,左上肢及右手肌萎缩,肌力见下表,四肢肌张力下降,四肢腱反射未引出,病理征阴性。
四肢针刺觉正常,音叉振动觉减退,双下肢远端为著。
双侧轮替慢,跟膝胫欠稳,行走时躯干不自主运动、偏斜。
肌力(级)
肩外展
伸肘
屈肘
伸腕
屈腕
伸指
分并指
握力
左上肢
5
3
5
2
3
2
0
3
右上肢
5
4
5
3
4+
3
1
3
屈髋
屈膝
伸膝
足背屈
足跖屈
左下肢
4
5
5
4+
5
右下肢
4
5
5
4+
5

辅助检查
血常规、肝肾功、凝血、尿便常规、感染4项阴性。
心肌酶:肌酸激酶同工酶(CK-MB)-mass 24.5 μg/l,肌红蛋白(Myo)838 μg/l,余阴性。
抗核抗体(ANA)、抗中性粒细胞胞浆抗体(ANCA)、免疫球蛋白(Ig)G、T/B淋巴细胞亚群、肌炎抗体谱阴性。
抗磷脂抗体谱6项:ACL-IgM(+)31.7 MPLU/ml,β2GP1-IgM(+)103.4 AU/ml,狼疮抗凝物(LA)阴性。
血肿瘤标志物、M蛋白、甲状腺超声、胸腹盆计算机体层摄影(CT)阴性。
糖化血红蛋白(HbA1c)8.1%,血脂、同型半胱氨酸(HCY)、叶酸、维生素B12、铜蓝蛋白、维生素A、维生素E浓度阴性。
盐水诱发试验:患者血中可见棘红细胞,占比60%(图1)。
脑脊液压力、常规、生化、细胞学、寡克隆区带(OB)/特异IgG寡克隆区带(SOB)、病原学阴性;血及脑脊液自免脑副肿瘤、神经节苷脂抗体均阴性。
血型:Kell抗原表型为K−k−;红细胞抗体筛查阴性。
全外显子组测序:XK基因c.484C>T(p.Q162*) 无义突变;AR基因动态突变阴性;神经传导速度(NCV)+肌电图(EMG):上下肢周围神经源性损害(图2)。
超声心动图:轻度二尖瓣关闭不全,左室肥厚,轻度主动脉瓣关闭不全,左室舒张功能减低(Ⅱ级);动态心电图:窦性心律,平均心率69 bpm,房早总数21次,室早总数32次。
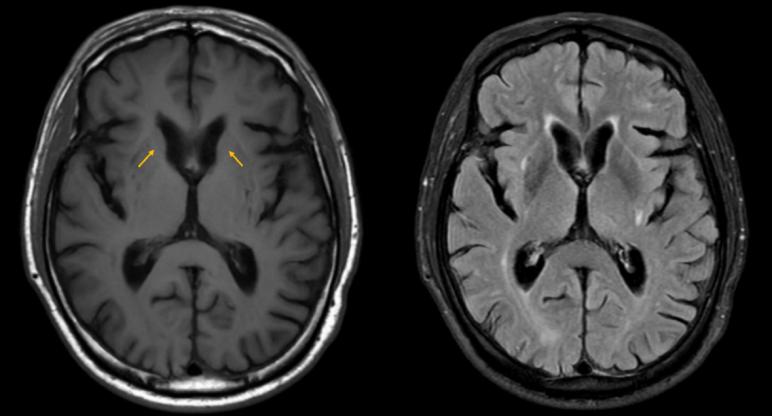
头颅MRI+磁敏感加权成像(SWI):双侧尾状核头萎缩(图3)。

图1 盐水诱发试验:EDTA抗凝血2 ml(左图:患者;右图:健康对照),37℃孵育>1小时;血液样本等渗生理盐水1:1 稀释混匀,取适量稀释后的样本滴于载玻片上,加盖玻片镜检。结论:盐水诱发试验后患者血中可见棘红细胞,占比60%。

图2 NCV+EMG:上下肢周围神经源性损害

图3 头颅MRI+SWI:双侧尾状核头萎缩(左T1相,右FLAIR相)

诊治经过
原发病方面:患者全外显子测序提示XK基因无义突变,该突变尚未被报道致病。XK蛋白是由444个氨基酸构成的10次跨膜蛋白。蛋白质结构预测提示本患者突变后XK蛋白肽段大片段缺失,无法与Kell糖蛋白通过二硫键相连。因此红细胞膜表面无法表达Kell抗原。盐水试管法Kell血型检测提示患者K、k抗原均缺失,验证了本患者突变位点的致病性。结合不自主运动、认知障碍、棘红细胞、周围神经病变、CK升高,考虑神经棘红细胞增多症,McLeod综合征诊断明确,加用氯硝西泮改善不自主运动及睡眠障碍,用药后患者诉起夜时肢体乏力,遂停药。

出院诊断
1. 神经棘红细胞增多症
1.1 McLeod综合征
2. 2型糖尿病
3. 左肾良性肿瘤切除术后

出院随访
患者仍有不自主运动,建议后续可考虑硫必利或氘代丁苯那嗪治疗。家系验证提示患者女儿携带XK基因相同位点突变,检测患者女儿Kell抗原表型同样为K−k−,红细胞抗体筛查阴性。嘱其注意输血安全,警惕异体输血后发生溶血反应;如后续有妊娠计划建议产前遗传咨询;规律监测是否有新发心律失常、心肌病变。
PART 02文献复习
神经棘红细胞增多症(NA)是一类血棘红细胞异常增多伴神经系统损害的遗传性疾病。盐水诱发试验有助于寻找棘红细胞,以缩小诊断范围。NA核心综合征包括舞蹈-棘红细胞增多症(ChAc)和McLeod综合征。舞蹈棘红由VPS13A突变导致舞蹈素的缺失或显著减少;McLeod综合征则由XK基因突变造成XK蛋白缺失,为X连锁隐性遗传,发病年龄25~60岁。
近期研究发现XK相关蛋白是磷脂翻转酶,参与细胞膜磷脂酰丝氨酸的外翻;而VPS13A蛋白属于大量脂质转运蛋白,像桥梁一样在细胞线粒体、内质网、脂滴之间转运脂质,调控细胞膜和细胞器的功能。XK可能是VPS13A的伴侣蛋白,在内质网与质膜接触位点发生相互作用。ChAc和Mcleod综合征相似的临床表现上均源于VPS13A-XK复合物形成的障碍。这类疾病现提出新的名称——大量脂质转运疾病。McLeod综合征患者存在神经细胞膜、肌肉细胞膜和红细胞膜功能障碍,从而出现血液系统(Kell抗原缺失、棘红细胞)、神经系统(舞蹈症、认知障碍)、周围神经、肌肉以及心脏受累。
专家简介

北京协和医院
严婧文
医学博士,中国医学科学院北京协和医院神经科临床博士后
熟悉神经科常见病诊疗流程,主要课题方向为神经肌肉疾病,发表SCI及中文核心期刊论文数篇。

北京协和医院
谭颖 副主任医师
副主任医师,医学博士
北京神经内科学会青年医师专业委员会常委,北京医学会神经免疫学组委员,中国老年医学会神经病学分会青年委员。
主要从事重症肌无力,以及各类神经肌肉病的基础、临床研究及临床工作。
曾先后参与十四五国家重点研发计划-罕见病临床队列研究、科技部国家人口健康科学数据共享平台-临床数据中心、北京市自然科学基金重大项目、北京市科委首都临床特色应用研究等相关课题,多次在ANA/AANEM、全国学术会议、北京学术会议等代表团队发言及壁报交流,以第一作者或通讯在国内外核心期刊发表文章十余篇。参与4项重症肌无力国际多中心临床试验,连续10年坚持参与全国/北京地区重症肌无力患者教育系列活动及讲座。

END