一位15岁的蒙古国男孩,在命悬一线的危急关头,凭借中国先进的软性神经内镜技术,历经近80天的跨国救治,最终战胜了复杂脑积水与颅内感染,重获新生。

01病情危急:脑积水少年的曲折求医路
这位15岁的蒙古国男孩在出生后6个月时就被诊断为脑积水,曾在北京某医院接受脑室腹腔分流术(强生,分流末压80),术后恢复良好,发育状况与同龄儿相符。然而,在2025年8月初,男孩突然出现进行性加重的头痛,随后几天内开始频繁呕吐。
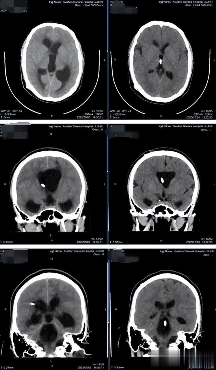
在北京某医院行头颅CT检查后,发现其“脑室系统扩张明显,且第四脑室扩张压迫脑干”。即使静脉用药降颅压,症状也未见改善。到8月5日上午,男孩开始出现“视力下降、视物重影”等危急症状,急性颅内压增高已经压迫视神经。经医生推荐,家人紧急将他送往北京航空总医院,寻求神经外四科肖庆主任的帮助。

02精准诊断:孤立性第四脑室与颅内感染交织
肖庆主任接诊后,立即组织了全面评估。男孩被诊断为:1. 脑积水伴全脑室扩张2. 脑脊液分流状态3. 颅内感染4. 脑室粘连5. 脑干受压6. 脑积水性脑水肿[间质性脑水肿]7. 弥漫性颅内压增高8. 双眼视力低下。

影像学检查显示,男孩不仅侧脑室、第三脑室扩张,第四脑室也显著扩张,形成“孤立性第四脑室”样改变。这种情况下,第四脑室内的脑脊液循环受阻,脑干受压,随时可能引发呼吸心跳骤停。且脑脊液检查证实存在“颅内感染”,这很可能是导致分流管失效和脑室粘连的主要原因。

肖庆主任解释,对于这种复杂情况,传统的分流管调整或更换手术往往难以奏效,必须采取更彻底的方法——清除感染灶、打通脑脊液循环通路。
03技术突破:软性神经内镜的微创优势
面对如此复杂的病情,肖庆主任决定使用“软性神经内镜技术”进行治疗。与传统神经内镜相比,软性神经内镜具有显著优势:镜体柔软纤细,能够进入脑室系统的狭小空间,到达脑室各个部位,能从一侧脑室进入对侧脑室或经导水管到达第四脑室。这种灵活性使其在清除脑室内病变组织(如脓苔、凝血块)或疏通脑脊液通道时表现出色。
肖庆主任强调:“对于这类复杂脑积水合并颅内感染的患者,软性神经内镜不仅能直接观察脑室内部结构,精准疏通脑脊液循环通道,还能清除感染物质,处理脑室内的粘连。”
在孤立性第四脑室的治疗中,软性神经内镜可直接探查并清除导水管内的堵塞物,恢复脑脊液循环,避免放置分流管,显著改善男孩预后。
04手术历程:精准打通脑脊液循环通路
男孩的治疗经历了三个阶段:
第一阶段:急诊手术
肖庆主任团队为男孩施行了“神经内镜检查术+脑室腹壁长程引流术+分流管去除术”,术中发现脑脊液稍浑浊,脑室壁有污秽灰黑点样增生附着,脑室后角见膜样增生形成——这些都是颅内感染的表现。肖庆主任清除了膜样增生,冲洗了脑室,发现导水管已闭塞。使用3F球囊导管造瘘扩张导水管成型后,内镜得以进入扩张的第四脑室。探查发现第四脑室双侧侧孔、正中孔均闭塞,脑室壁有假包膜膜样增生和增生微血管。最终,在内镜引导下将脑室分流管精准放置,从额部经右侧脑室-右侧室间孔-第三脑室-直达第四脑室。

第二阶段:再次清创与引流
由于感染控制仍需加强,为排除引流管路细菌定植,男孩接受了第二次神经内镜手术。此次手术发现脑室壁有致密的类瘢痕疙瘩增生附着,肖庆主任再次进行了细致冲洗和清理。

此外,还进行了“第三脑室底造瘘”(在双侧乳头体与垂体漏斗之间穿刺造瘘)和Liliequist膜穿刺扩张,进一步打通了脑脊液循环通路。

经过肖庆主任团队近80天的精心治疗和护理,这位蒙古国少年终于康复出院。出院时,他神志清楚,言语流利,精神良好,生命体征平稳,自知力、认知、计算、记忆力均恢复正常。甚至还学会了简单的中文,用流利标准的“早上好”向每一个照顾他的医护人员致意。

本例蒙古国少年复杂脑积水的成功救治,充分展现了软性神经内镜技术在处理颅内感染合并全脑室扩张,特别是第四脑室孤立综合征中的独特价值。通过精准的脑室探查、感染灶清除与脑脊液循环通路重建,肖庆主任团队不仅解决了患者的生命危机,更最大限度地保护了其神经功能,使其重返正常生活轨道。
这一跨国救治案例证明,“软性神经内镜技术”结合分阶段手术策略,为难治性脑积水伴颅内感染的治疗提供了新的范式和希望。